> Antigen, Antibodies, ELISA, Western Blot > Primary Antibody > Polyclonal Antibodies > SSX5 Polyclonal AntibodyBrand |
Leading Biology | Catalog Number |
APR27647N |
Product Type |
Polyclonal Antibodies | Field of Research |
Tumor-associated antigens |
Product Overview |
We constantly strive to ensure we provide our customers with the best antibodies. As a result of this work we offer this antibody in purified format.
We are in the process of updating our datasheets. If you have any questions regarding this update, please feel free to contact our technical support team.
This product is a high quality SSX5 Polyclonal Antibody.
|
||
Molecular Weight |
Calculated MW:
21kDa/26kDa
Observed MW:
Refer to figures
|
||
Species Reactivity |
Rabbit
|
||
Immunogen |
Recombinant fusion protein of human SSX5 (NP_066295.3).
|
||
Cross Reactivity |
Human,Mouse,Rat
|
||
Isotype |
IgG
|
||
GeneID |
|||
UniProt ID |
|||
Purity |
Affinity purification |
||
Storage & Stability |
Store at +4°C short term. For long-term storage, aliquot and store at -20°C or below. Stable for 12 months at -20°C. Avoid repeated freeze-thaw cycles.
|
||
Storage Buffer |
Buffer: PBS with 50% glycerol, pH7.3.
|
||
Applications |
WB,IHC,IF
|
||
Dilution |
WB 1:500 - 1:2000
IHC 1:50 - 1:200
IF 1:50 - 1:100
|
||
Product Description |
The product of this gene belongs to the family of highly homologous synovial sarcoma X (SSX) breakpoint proteins. These proteins may function as transcriptional repressors. They are also capable of eliciting spontaneous humoral and cellular immune responses in cancer patients, and are potentially useful targets in cancer vaccine-based immunotherapy. While some of the related SSX genes are involved in t(X;18)(p11.2;q11.2) translocations that are characteristically found in all synovial sarcomas, this gene does not appear to be involved in such translocations. Two transcript variants encoding distinct isoforms have been identified for this gene.
|
||
Synonyms |
SSX5; protein SSX5
|
||
Images |
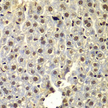
Immunohistochemistry of paraffin-embedded mouse liver using SSX5 antibody.
Immunofluorescence analysis of A549 cells using SSX5 antibody. |
||
Specification |
|||
Quantity |
|
||
| Select | Brand | Catalog No. | Product Name | Pack Size | Type | Field of Research | Specification | Quantity | Price(USD) | |
| 1 | Leading Biology | APR03440G | ITGA11 Antibody (N-term) | 100 μl | Polyclonal Antibodies |
|
$495.00 | Add Ask | ||
| 2 | Leading Biology | APR04537G | CMIP Antibody (C-term) | 100 μl | Polyclonal Antibodies |
|
$495.00 | Add Ask | ||
| 3 | Leading Biology | APR12422G | Human H4 Histamine Receptor (extracellular) Antibody | 50 μl | Polyclonal Antibodies |
|
$695.00 | Add Ask | ||
| 4 | Leading Biology | APR03844G | UBE2W Antibody (C-term) | 100 μl | Polyclonal Antibodies |
|
$495.00 | Add Ask | ||
| 5 | Leading Biology | APR04349G | HECTD2 Antibody (N-term) | 100 μl | Polyclonal Antibodies |
|
$495.00 | Add Ask | ||
| 6 | Leading Biology | APR03502G | IGHG1 Antibody (Center) | 100 μl | Polyclonal Antibodies |
|
$495.00 | Add Ask |
Leading Biology Inc.
2600 Hilltop DR, Building G, B Suite C138
Richmond, CA, 94806
Tel: 1-661-524(LBI)-0262
Email: info@leadingbiology.com
Complete this form and click send to ask us a question, request a quote or simply say hello.

You have 0 item in your cart

You have 0 item in your inquiry list