> Antigen, Antibodies, ELISA, Western Blot > Primary Antibody > Polyclonal Antibodies > ELAVL3 Polyclonal AntibodyBrand |
Leading Biology | Catalog Number |
APR26268N |
Product Type |
Polyclonal Antibodies | Field of Research |
|
Product Overview |
We constantly strive to ensure we provide our customers with the best antibodies. As a result of this work we offer this antibody in purified format.
We are in the process of updating our datasheets. If you have any questions regarding this update, please feel free to contact our technical support team.
This product is a high quality ELAVL3 Polyclonal Antibody.
|
||
Molecular Weight |
Calculated MW:
38kDa/39kDa
Observed MW:
37kDa
|
||
Species Reactivity |
Rabbit
|
||
Immunogen |
A synthetic peptide of human ELAVL3 (NP_001411.2).
|
||
Cross Reactivity |
Human,Mouse,Rat
|
||
Isotype |
IgG
|
||
GeneID |
|||
UniProt ID |
|||
Purity |
Affinity purification |
||
Storage & Stability |
Store at +4°C short term. For long-term storage, aliquot and store at -20°C or below. Stable for 12 months at -20°C. Avoid repeated freeze-thaw cycles.
|
||
Storage Buffer |
Buffer: PBS with 50% glycerol, pH7.3.
|
||
Applications |
WB,IHC,IF
|
||
Dilution |
WB 1:500 - 1:1000
IHC 1:50 - 1:200
IF 1:50 - 1:200
|
||
Product Description |
A member of the ELAVL protein family, ELAV-like 3 is a neural-specific RNA-binding protein which contains three RNP-type RNA recognition motifs. The observation that ELAVL3 is one of several Hu antigens (neuronal-specific RNA-binding proteins) recognized by the anti-Hu serum antibody present in sera from patients with paraneoplastic encephalomyelitis and sensory neuronopathy (PEM/PSN) suggests it has a role in neurogenesis. Two alternatively spliced transcript variants encoding distinct isoforms have been found for this gene.
|
||
Synonyms |
ELAVL3; HUC; HUCL; PLE21; ELAV-like protein 3
|
||
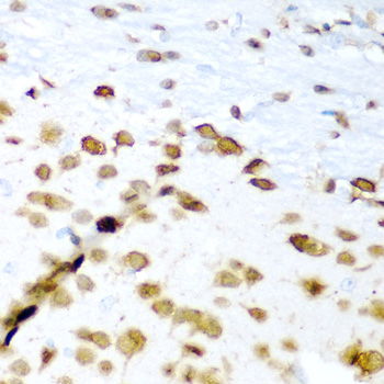
Images |
Western blot analysis of extracts of various cell lines, using ELAVL3 antibody.
Immunohistochemistry of paraffin-embedded rat brain using ELAVL3 antibody.
Immunohistochemistry of paraffin-embedded mouse brain using ELAVL3 antibody. |
||
Specification |
|||
Quantity |
|
||
| Select | Brand | Catalog No. | Product Name | Pack Size | Type | Field of Research | Specification | Quantity | Price(USD) | |
| 1 | Leading Biology | APR03440G | ITGA11 Antibody (N-term) | 100 μl | Polyclonal Antibodies |
|
$495.00 | Add Ask | ||
| 2 | Leading Biology | APR04537G | CMIP Antibody (C-term) | 100 μl | Polyclonal Antibodies |
|
$495.00 | Add Ask | ||
| 3 | Leading Biology | APR12422G | Human H4 Histamine Receptor (extracellular) Antibody | 50 μl | Polyclonal Antibodies |
|
$695.00 | Add Ask | ||
| 4 | Leading Biology | APR03844G | UBE2W Antibody (C-term) | 100 μl | Polyclonal Antibodies |
|
$495.00 | Add Ask | ||
| 5 | Leading Biology | APR04349G | HECTD2 Antibody (N-term) | 100 μl | Polyclonal Antibodies |
|
$495.00 | Add Ask | ||
| 6 | Leading Biology | APR03502G | IGHG1 Antibody (Center) | 100 μl | Polyclonal Antibodies |
|
$495.00 | Add Ask |
Leading Biology Inc.
2600 Hilltop DR, Building G, B Suite C138
Richmond, CA, 94806
Tel: 1-661-524(LBI)-0262
Email: info@leadingbiology.com
Complete this form and click send to ask us a question, request a quote or simply say hello.

You have 0 item in your cart

You have 0 item in your inquiry list