> Antigen, Antibodies, ELISA, Western Blot > Primary Antibody > Polyclonal Antibodies > Cav1.3 (extracellular) AntibodyBrand |
Leading Biology | Catalog Number |
APG02443G |
Product Type |
Polyclonal Antibodies | Field of Research |
|
Product Overview |
We constantly strive to ensure we provide our customers with the best antibodies. As a result of this work we offer this antibody in purified format.
We are in the process of updating our datasheets. If you have any questions regarding this update, please feel free to contact our technical support team.
This product is a high quality Cav1.3 (extracellular) antibody.
|
||
Molecular Weight |
250136 Da
|
||
Host |
Rabbit
|
||
Species Reactivity |
Human, Mouse, Rat
|
||
Target |
Peptide (C)EQLTKETEGGNHS, corresponding to amino acid residues 215-227 of rat CaV1.3 (Accession P27732). 2nd extracellular loop, repeat I.
|
||
GeneID |
|||
UniProt ID |
|||
Summary |
All L-type calcium channels are encoded by one of the CaV1 channel genes. These channels play a major role as a Ca2+ entry pathway in skeletal cardiac and smooth muscles as well as in neurons, endocrine cells and possibly in non-excitable cells such as hematopoetic and epithelial cells. All CaV1 channels are influenced by dihydropyridines (DHP) and are also referred to as DHP receptors. While the CaV1.1 and CaV1.4 isoforms are expressed in restricted tissues (skeletal muscle and retina, respectively), the expression of CaV1.2 is ubiquitous.1,2The CaV1.3 channels are also expressed, as are other L-type channels, in neurons and neuroendocrine cells. However, accumulated data has shown the expression of CaV1.3 in heart and suggests that it plays a major role in the generation of cardiac pacemaker activity.3,4Several peptidyl toxins have been described that are specific L-type channel blockers. These include the Mamba toxins Calcicludine (#C-650), Calciseptine (#C-500) and FS-2 (#F-700). So far no selective blocker for one of the CaV1 isoforms has been described.
|
||
Form |
Affinity purified antibody, Liquid |
||
Storage & Stability |
Store at +4°C short term. For long-term storage, aliquot and store at -20°C or below. Stable for 12 months at -20°C. Avoid repeated freeze-thaw cycles.
|
||
Applications |
WB
|
||
Dilution |
WB~~1:200-1:2000
|
||
Synonyms |
Voltage-dependent L-type calcium channel subunit alpha-1D, Calcium channel, L type, alpha-1 polypeptide, isoform 2, Rat brain class D, RBD, Voltage-gated calcium channel subunit alpha Cav13, Cacna1d, Cach3, Cacn4, Cacnl1a2, Cchl1a2
|
||
Images |
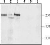
Western blot analysis of rat brain (lanes 1 and 4), mouse brain (lanes 2 and 5) and C6 (lanes 3 and 6) lysates: 1-3. Anti-Ca 1.3 (extracellular) antibody ( APG02443G), (1:200). 4-6. Anti-Ca 1.3 (extracellular) antibody, preincubated with the control peptide antigen.
Expression of Ca 1.3 in rat DRG Immunohistochemical staining of adult rat dorsal root ganglion (DRG) using Anti-Ca 1.3 (extracellular) antibody ( APG02443G). A. Cav1.3 labeling (red) appears in the cell bodies of the DRG. B. Nuclear staining using DAPI as the counterstain. C. Merged image of A and B. |
||
Specification |
|||
Quantity |
|
||
| Select | Brand | Catalog No. | Product Name | Pack Size | Type | Field of Research | Specification | Quantity | Price(USD) | |
| 1 | Leading Biology | APR03440G | ITGA11 Antibody (N-term) | 100 μl | Polyclonal Antibodies |
|
$495.00 | Add Ask | ||
| 2 | Leading Biology | APR04537G | CMIP Antibody (C-term) | 100 μl | Polyclonal Antibodies |
|
$495.00 | Add Ask | ||
| 3 | Leading Biology | APR12422G | Human H4 Histamine Receptor (extracellular) Antibody | 50 μl | Polyclonal Antibodies |
|
$695.00 | Add Ask | ||
| 4 | Leading Biology | APR03844G | UBE2W Antibody (C-term) | 100 μl | Polyclonal Antibodies |
|
$495.00 | Add Ask | ||
| 5 | Leading Biology | APR04349G | HECTD2 Antibody (N-term) | 100 μl | Polyclonal Antibodies |
|
$495.00 | Add Ask | ||
| 6 | Leading Biology | APR03502G | IGHG1 Antibody (Center) | 100 μl | Polyclonal Antibodies |
|
$495.00 | Add Ask |
Leading Biology Inc.
2600 Hilltop DR, Building G, B Suite C138
Richmond, CA, 94806
Tel: 1-661-524(LBI)-0262
Email: info@leadingbiology.com
Complete this form and click send to ask us a question, request a quote or simply say hello.

You have 0 item in your cart

You have 0 item in your inquiry list