> Antigen, Antibodies, ELISA, Western Blot > Primary Antibody > Polyclonal Antibodies > AMPA Receptor 3 (GluR3) (extracellular) AntibodyBrand |
Leading Biology | Catalog Number |
APR11398G |
Product Type |
Polyclonal Antibodies | Field of Research |
|
Product Overview |
We constantly strive to ensure we provide our customers with the best antibodies. As a result of this work we offer this antibody in purified format.
We are in the process of updating our datasheets. If you have any questions regarding this update, please feel free to contact our technical support team.
This product is a high quality AMPA Receptor 3 (GluR3) (extracellular) antibody.
|
||
Molecular Weight |
100373 Da
|
||
Host |
Rabbit
|
||
Species Reactivity |
Human, Mouse, Rat
|
||
Target |
Peptide (C)EKPFHLNYHVDHLD, corresponding to amino acid residues 60-73 of rat AMPA Receptor 3 (Accession P19492 ).????Extracellular, N-terminus.
|
||
GeneID |
|||
UniProt ID |
|||
Summary |
L-Glutamate, the major excitatory neurotransmitter in the central nervous system, operates through several receptors that are categorized as ionotropic (ligand-gated cation channels) or metabotropic (G-protein coupled receptors).The ligand-gated ion channel family consists of 15 members that have been subdivided into three families based on their pharmacological profile: the a-amino-3-hydroxy-5-methyl-4-isoazolepropionic acid (AMPA) preferring receptors, the N-methyl-D-aspartate (NMDA) preferring and the kainate preferring receptors.The AMPA receptor subfamily includes four members AMPA1 to AMPA4, also known as GluR1 to GluR4 respectively.The functional AMPA channel is believed to be a tetramer, with most neuronal AMPA receptors being heterotetramers composed of AMPA1 plus AMPA2 or AMPA2 plus AMPA3 channels, although homotetramers can also been found.AMPA receptors are permeable to cations Na+, K+ and Ca2+. The Ca2+ permeability is dependent on the presence of AMPA2: whenever this subunit is present, the channel will be impermeable to Ca2+.1Gating of AMPA receptors by glutamate is extremely fast and therefore the AMPA receptors mediate most excitatory (depolarizing) currents in the brain during basal neuronal activity. The depolarization caused by the activation of post-synaptic AMPA receptors is necessary for the activation of NMDA receptors that will open only in the presence of both glutamate and a depolarized membrane potential.Synaptic strength that is defined as the level of post-synaptic depolarization can be long term (hence the term long term potentiation, LTP) and therefore induce changes in signaling and protein synthesis in the activated neuron. These changes are associated with memory formation and learning. Changes in synaptic strength are thought to involve rapid movement of the AMPA receptors in and out of the synapses and a great deal of effort has focused in understanding the mechanisms that govern AMPA receptor trafficking.2The exact physiological role of the AMPA3 receptor is not clear but a role in the modulation of oscillatory networks affecting sleep and breathing has been suggested.3Abgent is pleased to offer a highly specific antibody directed against a well conserved epitope located in the extracellular N-terminal region of the rat AMPA Receptor 3. The antibody does not cross react with the related AMPA Receptor 2 subunit.Anti-AMPA Receptor 3 (GluA3) (extracellular) (#AG1259) antibody can be used in western blot, immunohistochemical, and immunoprecipitation applications and will recognize AMPA Receptor 3 from rat, mouse, human and dog samples.
|
||
Form |
Affinity purified antibody, Liquid |
||
Storage & Stability |
Store at +4°C short term. For long-term storage, aliquot and store at -20°C or below. Stable for 12 months at -20°C. Avoid repeated freeze-thaw cycles.
|
||
Applications |
WB, IP
|
||
Dilution |
WB~~1:200-1:2000
|
||
Synonyms |
Glutamate receptor 3, GluR-3, AMPA-selective glutamate receptor 3, GluR-C, GluR-K3, Glutamate receptor ionotropic, AMPA 3, GluA3, Gria3, Glur3
|
||
Images |
Western blot analysis of rat cerebellum lysates: 1. Anti-AMPA Receptor 3 (GluA3) (extracellular) antibody ( APR11398G), (1:400). 2. Anti-AMPA Receptor 3 (GluA3) (extracellular) antibody, preincubated with the control peptide antigen.
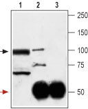
Immunoprecipitation of rat cerebellum lysates: 1. Cerebellum lysates. 2. Cerebellum lysates + Anti-AMPA Receptor 3 (GluA3) (extracellular) antibody ( APR11398G) + protein A beads. 3. Cerebellum lysates + pre-immune rabbit serum + protein A beads. Black arrow indicates the AMPA Receptor 3 (GluR3) while the red arrow shows the IgG heavy chain. Immunoblot was performed with Anti-AMPA Receptor 3 (GluA3) (extracellular) antibody ( APR11398G) .
Expression of AMPA Receptor 3 in mouse cerebellum Immunohistochemical staining of frozen perfusion-fixed free floating sections of mouse cerebellum using Anti-AMPA Receptor 3 (GluA3) (extracellular) antibody ( APR11398G). A. Distribution of AMPA Receptor 3 (red). B. Distribution of glial fibrillary acidic protein (green). C. Merge of the two images indicates that AMPA Receptor 3 is localized to Bergmann glia (vertical arrow) and to Purkinje cell soma (horizontal arrow). DAPI is used as the counterstain (blue). |
||
Specification |
|||
Quantity |
|
||
| Select | Brand | Catalog No. | Product Name | Pack Size | Type | Field of Research | Specification | Quantity | Price(USD) | |
| 1 | Leading Biology | APR03440G | ITGA11 Antibody (N-term) | 100 μl | Polyclonal Antibodies |
|
$495.00 | Add Ask | ||
| 2 | Leading Biology | APR04537G | CMIP Antibody (C-term) | 100 μl | Polyclonal Antibodies |
|
$495.00 | Add Ask | ||
| 3 | Leading Biology | APR12422G | Human H4 Histamine Receptor (extracellular) Antibody | 50 μl | Polyclonal Antibodies |
|
$695.00 | Add Ask | ||
| 4 | Leading Biology | APR03844G | UBE2W Antibody (C-term) | 100 μl | Polyclonal Antibodies |
|
$495.00 | Add Ask | ||
| 5 | Leading Biology | APR04349G | HECTD2 Antibody (N-term) | 100 μl | Polyclonal Antibodies |
|
$495.00 | Add Ask | ||
| 6 | Leading Biology | APR03502G | IGHG1 Antibody (Center) | 100 μl | Polyclonal Antibodies |
|
$495.00 | Add Ask |
Leading Biology Inc.
2600 Hilltop DR, Building G, B Suite C138
Richmond, CA, 94806
Tel: 1-661-524(LBI)-0262
Email: info@leadingbiology.com
Complete this form and click send to ask us a question, request a quote or simply say hello.

You have 0 item in your cart

You have 0 item in your inquiry list