> Antigen, Antibodies, ELISA, Western Blot > Primary Antibody > Polyclonal Antibodies > GDPD5 AntibodyBrand |
Leading Biology | Catalog Number |
APR12016G |
Product Type |
Polyclonal Antibodies | Field of Research |
|
Product Overview |
We constantly strive to ensure we provide our customers with the best antibodies. As a result of this work we offer this antibody in purified format.
We are in the process of updating our datasheets. If you have any questions regarding this update, please feel free to contact our technical support team.
This product is a high quality GDPD5 antibody.
|
||
Molecular Weight |
Predicted: 40, 67 kDa Observed: 52 kDa
|
||
Cellular Localization |
Antigen Cellular Localization:
Endomembrane system; Multi- pass membrane protein. Cytoplasm, perinuclear region. Cell projection, growth cone. Note=In a punctate perinuclear pattern.
|
||
Host |
Rabbit
|
||
Species Reactivity |
Human, Mouse, Rat
|
||
Target |
GDPD5; GDPD5 antibody is human, mouse and rat reactive. At least three isoforms of GDPD5 are known to exist.
|
||
Isotype |
IgG
|
||
Symbol |
GDE2
|
||
GeneID |
|||
UniProt ID |
|||
Function |
Promotes neurite formation. Cooperates with PRDX1 to drive postmitotic motor neuron differentiation. The glycerophosphodiester phosphodiesterase activity may be required for its role in neuronal differentiation. May contribute to the osmotic regulation of cellular glycerophosphocholine.
|
||
Summary |
The glycerophosphodiester phosphodiesterase domain containing 5 (GDPD5) protein, also known as GDE2, is a seven transmembrane, widely expressed protein (1) that is necessary for spinal motor neuron differentiation and retinoid-induced neuronal outgrowth (2,3). Altered choline phospholipid metabolism is a hallmark of cancer, and the elevated expression of GDPD5 correlates with malignant choline phospholipid metabolite profiles in human breast cancer (4).
|
||
Form |
Liquid |
||
Storage & Stability |
Store at +4°C short term. For long-term storage, aliquot and store at -20°C or below. Stable for 12 months at -20°C. Avoid repeated freeze-thaw cycles.
|
||
Applications |
WB, IHC-P, IF, E
|
||
Images |
Western blot analysis of GDPD5 in mouse kidney tissue lysate with GDPD5 antibody at 1 μg/ml in (A) the absence and (B) the presence of blocking peptide.
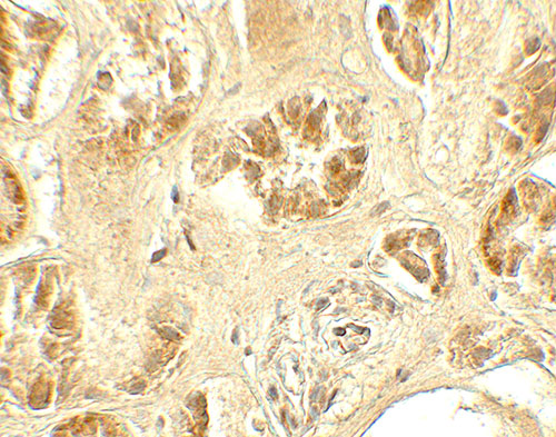
Immunohistochemistry of GDPD5 in human kidney tissue with GDPD5 antibody at 5 μg/mL.
Immunofluorescence of GDPD5 in human kidney tissue with GDPD5 antibody at 20 μg/mL. |
||
Specification |
|||
Quantity |
|
||
| Select | Brand | Catalog No. | Product Name | Pack Size | Type | Field of Research | Specification | Quantity | Price(USD) | |
| 1 | Leading Biology | APR03440G | ITGA11 Antibody (N-term) | 100 μl | Polyclonal Antibodies |
|
$495.00 | Add Ask | ||
| 2 | Leading Biology | APR04537G | CMIP Antibody (C-term) | 100 μl | Polyclonal Antibodies |
|
$495.00 | Add Ask | ||
| 3 | Leading Biology | APR12422G | Human H4 Histamine Receptor (extracellular) Antibody | 50 μl | Polyclonal Antibodies |
|
$695.00 | Add Ask | ||
| 4 | Leading Biology | APR03844G | UBE2W Antibody (C-term) | 100 μl | Polyclonal Antibodies |
|
$495.00 | Add Ask | ||
| 5 | Leading Biology | APR04349G | HECTD2 Antibody (N-term) | 100 μl | Polyclonal Antibodies |
|
$495.00 | Add Ask | ||
| 6 | Leading Biology | APR03502G | IGHG1 Antibody (Center) | 100 μl | Polyclonal Antibodies |
|
$495.00 | Add Ask |
Leading Biology Inc.
2600 Hilltop DR, Building G, B Suite C138
Richmond, CA, 94806
Tel: 1-661-524(LBI)-0262
Email: info@leadingbiology.com
Complete this form and click send to ask us a question, request a quote or simply say hello.

You have 0 item in your cart

You have 0 item in your inquiry list