> Antigen, Antibodies, ELISA, Western Blot > Primary Antibody > Polyclonal Antibodies > ME2 AntibodyBrand |
Leading Biology | Catalog Number |
APR08412G |
Product Type |
Polyclonal Antibodies | Field of Research |
|
Product Overview |
We constantly strive to ensure we provide our customers with the best antibodies. As a result of this work we offer this antibody in purified format.
We are in the process of updating our datasheets. If you have any questions regarding this update, please feel free to contact our technical support team.
This product is a high quality ME2 antibody.
|
||
Molecular Weight |
Predicted: 64 kDa Observed: 60 kDa
|
||
Cellular Localization |
Antigen Cellular Localization:
Mitochondrion matrix.
|
||
Host |
Rabbit
|
||
Species Reactivity |
Human
|
||
Target |
ME2; ME2 antibody is human specific. At least two isoforms of ME2 are known to exist; this antibody will detect both isoforms. ME2 antibody is predicted not to cross-react with ME1.
|
||
Isotype |
IgG
|
||
GeneID |
|||
UniProt ID |
|||
Summary |
ME2 is a homotetrameric, mitochondrial NAD-dependent malic enzyme that catalyzes the oxidative decarboxylation of malate to pyruvate (1). It is related to malic enzyme 1 (ME1), a cytoplasmic NADP-dependent enzyme that generates NADPH for fatty acid biosynthesis (2). The expression of both malic enzymes is reciprocally regulated by p53; this regulation has been shown to modulate metabolism and senescence (3). Certain single-nucleotide polymorphism haplotypes of the ME2 gene have been shown to increase the risk for idiopathic generalized epilepsy (4).
|
||
Form |
Liquid |
||
Storage & Stability |
Store at +4°C short term. For long-term storage, aliquot and store at -20°C or below. Stable for 12 months at -20°C. Avoid repeated freeze-thaw cycles.
|
||
Applications |
WB, IHC-P, IF, E
|
||
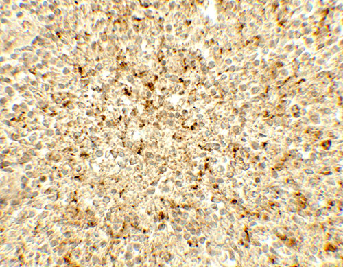
Images |
Western blot analysis of ME2 in human spleen tissue lysate with ME2 antibody at (A) 1 and (B) 2 μg/ml.
Immunohistochemistry of ME2 in human spleen tissue with ME2 antibody at 5 μg/mL.
Immunofluorescence of ME2 in human spleen tissue with ME2 antibody at 20 μg/mL. |
||
Specification |
|||
Quantity |
|
||
| Select | Brand | Catalog No. | Product Name | Pack Size | Type | Field of Research | Specification | Quantity | Price(USD) | |
| 1 | Leading Biology | APR03440G | ITGA11 Antibody (N-term) | 100 μl | Polyclonal Antibodies |
|
$495.00 | Add Ask | ||
| 2 | Leading Biology | APR04537G | CMIP Antibody (C-term) | 100 μl | Polyclonal Antibodies |
|
$495.00 | Add Ask | ||
| 3 | Leading Biology | APR12422G | Human H4 Histamine Receptor (extracellular) Antibody | 50 μl | Polyclonal Antibodies |
|
$695.00 | Add Ask | ||
| 4 | Leading Biology | APR03844G | UBE2W Antibody (C-term) | 100 μl | Polyclonal Antibodies |
|
$495.00 | Add Ask | ||
| 5 | Leading Biology | APR04349G | HECTD2 Antibody (N-term) | 100 μl | Polyclonal Antibodies |
|
$495.00 | Add Ask | ||
| 6 | Leading Biology | APR03502G | IGHG1 Antibody (Center) | 100 μl | Polyclonal Antibodies |
|
$495.00 | Add Ask |
Leading Biology Inc.
2600 Hilltop DR, Building G, B Suite C138
Richmond, CA, 94806
Tel: 1-661-524(LBI)-0262
Email: info@leadingbiology.com
Complete this form and click send to ask us a question, request a quote or simply say hello.

You have 0 item in your cart

You have 0 item in your inquiry list