> Antigen, Antibodies, ELISA, Western Blot > Primary Antibody > Polyclonal Antibodies > ME1 AntibodyBrand |
Leading Biology | Catalog Number |
APR08406G |
Product Type |
Polyclonal Antibodies | Field of Research |
|
Product Overview |
We constantly strive to ensure we provide our customers with the best antibodies. As a result of this work we offer this antibody in purified format.
We are in the process of updating our datasheets. If you have any questions regarding this update, please feel free to contact our technical support team.
This product is a high quality ME1 antibody.
|
||
Molecular Weight |
Predicted: 63 kDa Observed: 63 kDa
|
||
Cellular Localization |
Antigen Cellular Localization:
Cytoplasm.
|
||
Host |
Rabbit
|
||
Species Reactivity |
Human, Mouse, Rat
|
||
Target |
ME1; ME1 antibody is human, mouse and rat reactive. ME1 antibody is predicted not to cross-react with ME2.
|
||
Isotype |
IgG
|
||
GeneID |
|||
UniProt ID |
|||
Summary |
ME1, also known as NADP-ME, MES or HUMNDME, may play an important role as a housekeeping protein within the cell (1). ME1 is a 572 amino acid cytoplasmic protein that belongs to the malic enzyme family (2). It is expressed ubiquitously with highest expression in liver and white adipose tissue. ME1 functions as an NADP-dependent enzyme that generates NADPH for fatty acid biosynthesis (3). The activity of this enzyme, the reversible oxidative decarboxylation of malate, links the glycolytic and citric acid cycles (3,4). ME1 is regulated by both thyroid hormone levels and the amount of carbohydrates in the diet (5).
|
||
Form |
Liquid |
||
Storage & Stability |
Store at +4°C short term. For long-term storage, aliquot and store at -20°C or below. Stable for 12 months at -20°C. Avoid repeated freeze-thaw cycles.
|
||
Applications |
WB, IHC-P, E
|
||
Images |
Western blot analysis of ME1 in 293 cell lysate with ME1 antibody at 1 μg/ml.
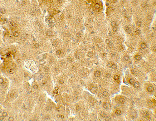
Immunohistochemistry of ME1 in mouse liver tissue with ME1 antibody at 5 μg/mL. |
||
Specification |
|||
Quantity |
|
||
| Select | Brand | Catalog No. | Product Name | Pack Size | Type | Field of Research | Specification | Quantity | Price(USD) | |
| 1 | Leading Biology | APR03440G | ITGA11 Antibody (N-term) | 100 μl | Polyclonal Antibodies |
|
$495.00 | Add Ask | ||
| 2 | Leading Biology | APR04537G | CMIP Antibody (C-term) | 100 μl | Polyclonal Antibodies |
|
$495.00 | Add Ask | ||
| 3 | Leading Biology | APR12422G | Human H4 Histamine Receptor (extracellular) Antibody | 50 μl | Polyclonal Antibodies |
|
$695.00 | Add Ask | ||
| 4 | Leading Biology | APR03844G | UBE2W Antibody (C-term) | 100 μl | Polyclonal Antibodies |
|
$495.00 | Add Ask | ||
| 5 | Leading Biology | APR04349G | HECTD2 Antibody (N-term) | 100 μl | Polyclonal Antibodies |
|
$495.00 | Add Ask | ||
| 6 | Leading Biology | APR03502G | IGHG1 Antibody (Center) | 100 μl | Polyclonal Antibodies |
|
$495.00 | Add Ask |
Leading Biology Inc.
2600 Hilltop DR, Building G, B Suite C138
Richmond, CA, 94806
Tel: 1-661-524(LBI)-0262
Email: info@leadingbiology.com
Complete this form and click send to ask us a question, request a quote or simply say hello.

You have 0 item in your cart

You have 0 item in your inquiry list