> Antigen, Antibodies, ELISA, Western Blot > Primary Antibody > Polyclonal Antibodies > TMEM135 AntibodyBrand |
Leading Biology | Catalog Number |
APR10480G |
Product Type |
Polyclonal Antibodies | Field of Research |
|
Product Overview |
We constantly strive to ensure we provide our customers with the best antibodies. As a result of this work we offer this antibody in purified format.
We are in the process of updating our datasheets. If you have any questions regarding this update, please feel free to contact our technical support team.
This product is a high quality TMEM135 antibody.
|
||
Molecular Weight |
Predicted: 50 kDa Observed: 53 kDa
|
||
Cellular Localization |
Antigen Cellular Localization:
Membrane; Multi-pass membrane protein. Peroxisome
|
||
Host |
Rabbit
|
||
Species Reactivity |
Human, Mouse, Rat
|
||
Target |
TMEM135; At least two isoforms of TMEM135 are known to exist; this antibody will detect both isoforms.
|
||
Isotype |
IgG
|
||
GeneID |
|||
UniProt ID |
|||
Function |
May be involved in peroxisome organization.
|
||
Summary |
TMEM135 Antibody: The transmembrane protein 135 (TMEM135), also known as peroxisomal membrane protein 52 (PMP52), was initially identified as a protein that might be critical for adipogenesis and osteoblastogenesis. Further studies have indicated that TMEM135 may be part of a regulatory circuit that plays an important role in fat metabolism and energy expenditure in both C. elegans as well as mammalian organisms. Finally, recent experiments has suggested that TMEM135 may be an additional driver of breast cancer.
|
||
Form |
Liquid |
||
Storage & Stability |
Store at +4°C short term. For long-term storage, aliquot and store at -20°C or below. Stable for 12 months at -20°C. Avoid repeated freeze-thaw cycles.
|
||
Applications |
WB, IHC-P, IF, E
|
||
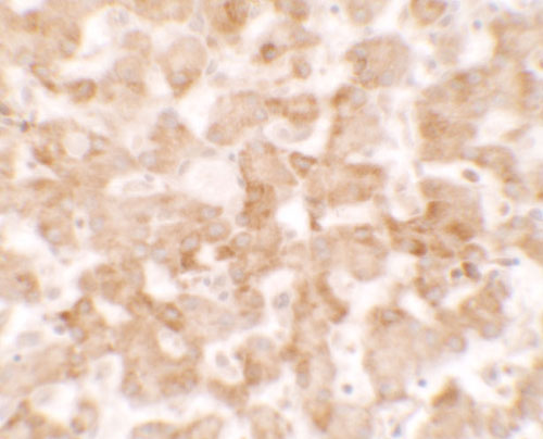
Images |
Western blot analysis of TMEM135 in rat liver tissue lysate with TMEM135 antibody at (A) 1 and (B) 2 μg/mL.
Immunohistochemistry of TMEM135 in human liver tissue with TMEM135 antibody at 2.5 μg/ml.
Immunofluorescence of TMEM135 in human liver tissue with TMEM135 antibody at 20 μg/ml. |
||
Specification |
|||
Quantity |
|
||
| Select | Brand | Catalog No. | Product Name | Pack Size | Type | Field of Research | Specification | Quantity | Price(USD) | |
| 1 | Leading Biology | APR03440G | ITGA11 Antibody (N-term) | 100 μl | Polyclonal Antibodies |
|
$495.00 | Add Ask | ||
| 2 | Leading Biology | APR04537G | CMIP Antibody (C-term) | 100 μl | Polyclonal Antibodies |
|
$495.00 | Add Ask | ||
| 3 | Leading Biology | APR12422G | Human H4 Histamine Receptor (extracellular) Antibody | 50 μl | Polyclonal Antibodies |
|
$695.00 | Add Ask | ||
| 4 | Leading Biology | APR03844G | UBE2W Antibody (C-term) | 100 μl | Polyclonal Antibodies |
|
$495.00 | Add Ask | ||
| 5 | Leading Biology | APR04349G | HECTD2 Antibody (N-term) | 100 μl | Polyclonal Antibodies |
|
$495.00 | Add Ask | ||
| 6 | Leading Biology | APR03502G | IGHG1 Antibody (Center) | 100 μl | Polyclonal Antibodies |
|
$495.00 | Add Ask |
Leading Biology Inc.
2600 Hilltop DR, Building G, B Suite C138
Richmond, CA, 94806
Tel: 1-661-524(LBI)-0262
Email: info@leadingbiology.com
Complete this form and click send to ask us a question, request a quote or simply say hello.

You have 0 item in your cart

You have 0 item in your inquiry list