> Antigen, Antibodies, ELISA, Western Blot > Primary Antibody > Polyclonal Antibodies > DISP1 AntibodyBrand |
Leading Biology | Catalog Number |
APR11735G |
Product Type |
Polyclonal Antibodies | Field of Research |
|
Product Overview |
We constantly strive to ensure we provide our customers with the best antibodies. As a result of this work we offer this antibody in purified format.
We are in the process of updating our datasheets. If you have any questions regarding this update, please feel free to contact our technical support team.
This product is a high quality DISP1 antibody.
|
||
Molecular Weight |
170934 Da
|
||
Cellular Localization |
Antigen Cellular Localization:
Membrane; Multi-pass membrane protein
|
||
Host |
Rabbit
|
||
Species Reactivity |
Human, Mouse
|
||
Target |
DISP1; At least two isoforms of DISP1 are known to exist; this antibody will detect both isoforms. DISP1 antibody is predicted to not cross-react with EMX1.
|
||
Isotype |
IgG
|
||
Symbol |
DISPA
|
||
GeneID |
|||
UniProt ID |
|||
Function |
Functions in hedgehog (Hh) signaling. Regulates the release and extracellular accumulation of cholesterol-modified hedgehog proteins and is hence required for effective production of the Hh signal (By similarity).
|
||
Summary |
DISP1 Antibody: DISP1 is the mammalian homolog of the Drosophila Dispatched segment-polarity gene and a key regulator of the Hedgehog (Hh) signaling pathway during embryonic development. DISP1 is required to move Shh from site of synthesis during embryogenesis; mutations in the gene result in lethality at mid-gestation and prevents specification of ventral cell types in the neural tube. Recent results have shown that DISP1 mediates the basolateral secretion of Shh and regulates growth of mammalian long bones through the control of Ihh.
|
||
Form |
Liquid |
||
Storage & Stability |
Store at +4°C short term. For long-term storage, aliquot and store at -20°C or below. Stable for 12 months at -20°C. Avoid repeated freeze-thaw cycles.
|
||
Applications |
WB, IHC-P, IF, E
|
||
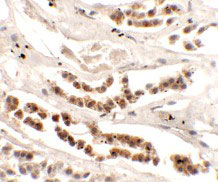
Images |
Western blot analysis of DISP1 in 3T3 cell lysate with DISP1 antibody at 1 μg/mL.
Immunohistochemistry of DISP1 in human kidney tissue with DISP1 antibody at 2.5 μg/mL.
Immunofluorescence of DISP1 in human kidney tissue with DISP1 antibody at 20 μg/mL. |
||
Specification |
|||
Quantity |
|
||
| Select | Brand | Catalog No. | Product Name | Pack Size | Type | Field of Research | Specification | Quantity | Price(USD) | |
| 1 | Leading Biology | APR03440G | ITGA11 Antibody (N-term) | 100 μl | Polyclonal Antibodies |
|
$495.00 | Add Ask | ||
| 2 | Leading Biology | APR04537G | CMIP Antibody (C-term) | 100 μl | Polyclonal Antibodies |
|
$495.00 | Add Ask | ||
| 3 | Leading Biology | APR12422G | Human H4 Histamine Receptor (extracellular) Antibody | 50 μl | Polyclonal Antibodies |
|
$695.00 | Add Ask | ||
| 4 | Leading Biology | APR03844G | UBE2W Antibody (C-term) | 100 μl | Polyclonal Antibodies |
|
$495.00 | Add Ask | ||
| 5 | Leading Biology | APR04349G | HECTD2 Antibody (N-term) | 100 μl | Polyclonal Antibodies |
|
$495.00 | Add Ask | ||
| 6 | Leading Biology | APR03502G | IGHG1 Antibody (Center) | 100 μl | Polyclonal Antibodies |
|
$495.00 | Add Ask |
Leading Biology Inc.
2600 Hilltop DR, Building G, B Suite C138
Richmond, CA, 94806
Tel: 1-661-524(LBI)-0262
Email: info@leadingbiology.com
Complete this form and click send to ask us a question, request a quote or simply say hello.

You have 0 item in your cart

You have 0 item in your inquiry list