> Antigen, Antibodies, ELISA, Western Blot > Primary Antibody > Polyclonal Antibodies > EMX2 AntibodyBrand |
Leading Biology | Catalog Number |
APG03284G |
Product Type |
Polyclonal Antibodies | Field of Research |
|
Product Overview |
We constantly strive to ensure we provide our customers with the best antibodies. As a result of this work we offer this antibody in purified format.
We are in the process of updating our datasheets. If you have any questions regarding this update, please feel free to contact our technical support team.
This product is a high quality EMX2 antibody.
|
||
Molecular Weight |
28303 Da
|
||
Cellular Localization |
Antigen Cellular Localization:
Nucleus.
|
||
Host |
Rabbit
|
||
Species Reactivity |
Human
|
||
Target |
EMX2; At least two isoforms of EMX2 are known to exist; this antibody will detect both isoforms. EMX2 antibody is predicted to not cross-react with EMX1
|
||
Isotype |
IgG
|
||
GeneID |
|||
UniProt ID |
|||
Function |
Transcription factor, which in cooperation with EMX2, acts to generate the boundary between the roof and archipallium in the developing brain. May function in combinations with OTX1/2 to specify cell fates in the developing central nervous system.
|
||
Summary |
EMX2 Antibody: EMX2, like its closely related homolog EMX1, is a homeobox transcription factor involved in specifying cell fates in the developing central nervous system and participates in the development of olfactory neurons. EMX2 is expressed in the dorsal telencephalon during development in a low rostral-lateral to high caudal-medial gradient and is proposed to pattern the neocortex into defined functional areas. It is also expressed in embryonic and adult olfactory neuroepithelia where it complexes with eukaryotic translation initiation factor 4E (eIF4E) and possibly regulates mRNA transport or translation. In the developing urogenital system, it is expressed in epithelial tissues and is negatively regulated by HOXA10.
|
||
Form |
Liquid |
||
Storage & Stability |
Store at +4°C short term. For long-term storage, aliquot and store at -20°C or below. Stable for 12 months at -20°C. Avoid repeated freeze-thaw cycles.
|
||
Applications |
WB, IHC-P, IF, E
|
||
Images |
Western blot analysis of EMX2 in human lung tissue lysate with EMX2 antibody at (A) 1 and (B) 2 μg/mL.
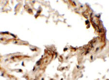
Immunohistochemistry of EMX2 in human lung tissue with EMX2 antibody at 2.5 μg/mL.
Immunofluorescence of EMX2 in human lung tissue with EMX2 antibody at 20 μg/mL. |
||
Specification |
|||
Quantity |
|
||
| Select | Brand | Catalog No. | Product Name | Pack Size | Type | Field of Research | Specification | Quantity | Price(USD) | |
| 1 | Leading Biology | APR03440G | ITGA11 Antibody (N-term) | 100 μl | Polyclonal Antibodies |
|
$495.00 | Add Ask | ||
| 2 | Leading Biology | APR04537G | CMIP Antibody (C-term) | 100 μl | Polyclonal Antibodies |
|
$495.00 | Add Ask | ||
| 3 | Leading Biology | APR12422G | Human H4 Histamine Receptor (extracellular) Antibody | 50 μl | Polyclonal Antibodies |
|
$695.00 | Add Ask | ||
| 4 | Leading Biology | APR03844G | UBE2W Antibody (C-term) | 100 μl | Polyclonal Antibodies |
|
$495.00 | Add Ask | ||
| 5 | Leading Biology | APR04349G | HECTD2 Antibody (N-term) | 100 μl | Polyclonal Antibodies |
|
$495.00 | Add Ask | ||
| 6 | Leading Biology | APR03502G | IGHG1 Antibody (Center) | 100 μl | Polyclonal Antibodies |
|
$495.00 | Add Ask |
Leading Biology Inc.
2600 Hilltop DR, Building G, B Suite C138
Richmond, CA, 94806
Tel: 1-661-524(LBI)-0262
Email: info@leadingbiology.com
Complete this form and click send to ask us a question, request a quote or simply say hello.

You have 0 item in your cart

You have 0 item in your inquiry list