> Antigen, Antibodies, ELISA, Western Blot > Primary Antibody > Polyclonal Antibodies > NETO1 AntibodyBrand |
Leading Biology | Catalog Number |
AMM06602G |
Product Type |
Polyclonal Antibodies | Field of Research |
|
Product Overview |
We constantly strive to ensure we provide our customers with the best antibodies. As a result of this work we offer this antibody in purified format.
We are in the process of updating our datasheets. If you have any questions regarding this update, please feel free to contact our technical support team.
This product is a high quality NETO1 antibody.
|
||
Molecular Weight |
60191 Da
|
||
Cellular Localization |
Antigen Cellular Localization:
Isoform 2: Cell membrane; Single-pass type I membrane protein. Cell junction, synapse, postsynaptic cell membrane, postsynaptic density. Note=Component of the postsynaptic density (PSD) of excitatory synapses. Isoform 1: Secreted.
|
||
Host |
Rabbit
|
||
Species Reactivity |
Human, Mouse, Rat
|
||
Target |
NETO1; NETO1 antibody is predicted to not cross-react with other NETO protein family members.
|
||
Isotype |
IgG
|
||
Symbol |
BTCL1
|
||
GeneID |
|||
UniProt ID |
|||
Function |
Involved in the development and/or maintenance of neuronal circuitry. Accessory subunit of the neuronal N-methyl-D- aspartate receptor (NMDAR) critical for maintaining the abundance of GRIN2A-containing NMDARs in the postsynaptic density. Regulates long-term NMDA receptor-dependent synaptic plasticity and cognition, at least in the context of spatial learning and memory (By similarity).
|
||
Summary |
NETO1 Antibody: Neuropilin and tolloid-like protein 1 (NETO1) is involved in the development and/or maintenance of neuronal circuitry. It is a type I transmembrane protein that is expressed in the brain and retina. NETO1 contains one LDL-receptor class A domain and two CUB domains and is either membrane-bound or secreted. It has three alternatively spliced isoforms, the first two of which are retina-specific and the third of which is found in both retina and brain tissue. Furthermore, as an accessory subunit of the neuronal N-methyl-D-aspartate receptor (NMDAR), it regulates long-term NMDA receptor-dependent synaptic plasticity and cognition, at least in the context of spatial learning and memory.
|
||
Form |
Liquid |
||
Storage & Stability |
Store at +4°C short term. For long-term storage, aliquot and store at -20°C or below. Stable for 12 months at -20°C. Avoid repeated freeze-thaw cycles.
|
||
Applications |
WB, IHC-P, IF, E
|
||
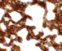
Images |
Western blot analysis of NETO1 in human lung tissue lysate with NETO1 antibody at (A) 1 and (B) 2 μg/mL.
Immunohistochemistry of NETO1 in rat lung tissue with NETO1 antibody at 2.5 μg/mL.
Immunofluorescence of NETO1 in rat lung tissue with NETO1 antibody at 20 μg/mL. |
||
Specification |
|||
Quantity |
|
||
| Select | Brand | Catalog No. | Product Name | Pack Size | Type | Field of Research | Specification | Quantity | Price(USD) | |
| 1 | Leading Biology | APR03440G | ITGA11 Antibody (N-term) | 100 μl | Polyclonal Antibodies |
|
$495.00 | Add Ask | ||
| 2 | Leading Biology | APR04537G | CMIP Antibody (C-term) | 100 μl | Polyclonal Antibodies |
|
$495.00 | Add Ask | ||
| 3 | Leading Biology | APR12422G | Human H4 Histamine Receptor (extracellular) Antibody | 50 μl | Polyclonal Antibodies |
|
$695.00 | Add Ask | ||
| 4 | Leading Biology | APR03844G | UBE2W Antibody (C-term) | 100 μl | Polyclonal Antibodies |
|
$495.00 | Add Ask | ||
| 5 | Leading Biology | APR04349G | HECTD2 Antibody (N-term) | 100 μl | Polyclonal Antibodies |
|
$495.00 | Add Ask | ||
| 6 | Leading Biology | APR03502G | IGHG1 Antibody (Center) | 100 μl | Polyclonal Antibodies |
|
$495.00 | Add Ask |
Leading Biology Inc.
2600 Hilltop DR, Building G, B Suite C138
Richmond, CA, 94806
Tel: 1-661-524(LBI)-0262
Email: info@leadingbiology.com
Complete this form and click send to ask us a question, request a quote or simply say hello.

You have 0 item in your cart

You have 0 item in your inquiry list