> Antigen, Antibodies, ELISA, Western Blot > Primary Antibody > Polyclonal Antibodies > FXYD7 AntibodyBrand |
Leading Biology | Catalog Number |
APR16050G |
Product Type |
Polyclonal Antibodies | Field of Research |
|
Product Overview |
We constantly strive to ensure we provide our customers with the best antibodies. As a result of this work we offer this antibody in purified format.
We are in the process of updating our datasheets. If you have any questions regarding this update, please feel free to contact our technical support team.
This product is a high quality FXYD7 antibody.
|
||
Molecular Weight |
8524 Da
|
||
Cellular Localization |
Antigen Cellular Localization:
Membrane; Single-pass membrane protein
|
||
Host |
Rabbit
|
||
Species Reactivity |
Human, Mouse, Rat
|
||
Target |
FXYD7; FXYD7 antibody is human, mouse and rat reactive. FXYDY7 antibody is predicted to not react with other members of the FXDY protein family
|
||
Isotype |
IgG
|
||
GeneID |
|||
UniProt ID |
|||
Summary |
FXYD7 Antibody: FXYD7 is a member of a family of small membrane proteins that share a 35-amino acid signature sequence domain, beginning with the sequence PFXYD and containing seven invariant and six highly conserved amino acids. The FXYD proteins are tissue-specific regulators of Na, K-ATPase, with FXYD7 initially identified as a brain-specific member. FXYD7 interacts with Na, K-ATPase through its transmembrane domain and is thought to influence the affinity of Na, K-ATPase for external K+ and Na+ ions. Other members of the FXDY family have similar functions: FXYD2 regulates the properties of Na, K-ATPase, while FXYD1 (phospholemman), FXYD3 (MAT-8), FXYD4 (CHIF), and FXYD5 (RIC) have been shown to induce channel activity in experimental expression systems.
|
||
Form |
Liquid |
||
Storage & Stability |
Store at +4°C short term. For long-term storage, aliquot and store at -20°C or below. Stable for 12 months at -20°C. Avoid repeated freeze-thaw cycles.
|
||
Applications |
WB, IHC-P, IF, E
|
||
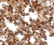
Images |
Western blot analysis of FXYD7 in human lung tissue lysate with FXYD7 antibody at 1 μg/mL.
Immunohistochemistry of FXYD7 in rat lung tissue with FXYD7 antibody at 2.5 μg/mL.
Immunofluorescence of FXYD4 in rat lung tissue with FXYD4 antibody at 20 μg/mL. |
||
Specification |
|||
Quantity |
|
||
| Select | Brand | Catalog No. | Product Name | Pack Size | Type | Field of Research | Specification | Quantity | Price(USD) | |
| 1 | Leading Biology | APR03440G | ITGA11 Antibody (N-term) | 100 μl | Polyclonal Antibodies |
|
$495.00 | Add Ask | ||
| 2 | Leading Biology | APR04537G | CMIP Antibody (C-term) | 100 μl | Polyclonal Antibodies |
|
$495.00 | Add Ask | ||
| 3 | Leading Biology | APR12422G | Human H4 Histamine Receptor (extracellular) Antibody | 50 μl | Polyclonal Antibodies |
|
$695.00 | Add Ask | ||
| 4 | Leading Biology | APR03844G | UBE2W Antibody (C-term) | 100 μl | Polyclonal Antibodies |
|
$495.00 | Add Ask | ||
| 5 | Leading Biology | APR04349G | HECTD2 Antibody (N-term) | 100 μl | Polyclonal Antibodies |
|
$495.00 | Add Ask | ||
| 6 | Leading Biology | APR03502G | IGHG1 Antibody (Center) | 100 μl | Polyclonal Antibodies |
|
$495.00 | Add Ask |
Leading Biology Inc.
2600 Hilltop DR, Building G, B Suite C138
Richmond, CA, 94806
Tel: 1-661-524(LBI)-0262
Email: info@leadingbiology.com
Complete this form and click send to ask us a question, request a quote or simply say hello.

You have 0 item in your cart

You have 0 item in your inquiry list