> Antigen, Antibodies, ELISA, Western Blot > Primary Antibody > Polyclonal Antibodies > AP3S1 AntibodyBrand |
Leading Biology | Catalog Number |
APR14976G |
Product Type |
Polyclonal Antibodies | Field of Research |
|
Product Overview |
We constantly strive to ensure we provide our customers with the best antibodies. As a result of this work we offer this antibody in purified format.
We are in the process of updating our datasheets. If you have any questions regarding this update, please feel free to contact our technical support team.
This product is a high quality AP3S1 antibody.
|
||
Molecular Weight |
21732 Da
|
||
Cellular Localization |
Antigen Cellular Localization:
Golgi apparatus. Cytoplasmic vesicle membrane; Peripheral membrane protein; Cytoplasmic side Note=Component of the coat surrounding the cytoplasmic face of coated vesicles located at the Golgi complex
|
||
Host |
Rabbit
|
||
Species Reactivity |
Human, Mouse, Rat
|
||
Target |
AP3S1; At least three isoforms of AP3S1 are known to exist; this antibody will detect the two larger isoforms. AP3S1 antibody is predicted to not cross-react with other AP3 protein family members.
|
||
Isotype |
IgG
|
||
Symbol |
CLAPS3
|
||
GeneID |
|||
UniProt ID |
|||
Function |
Part of the AP-3 complex, an adaptor-related complex which is not clathrin-associated. The complex is associated with the Golgi region as well as more peripheral structures. It facilitates the budding of vesicles from the Golgi membrane and may be directly involved in trafficking to lysosomes. In concert with the BLOC-1 complex, AP-3 is required to target cargos into vesicles assembled at cell bodies for delivery into neurites and nerve terminals.
|
||
Summary |
AP3S1 Antibody: AP3S1 belongs to the adaptor complexes 3 (AP3) small subunit family which is not clathrin-associated. The complex is associated with the Golgi region as well as more peripheral structures. It facilitates the budding of vesicles from the Golgi membrane and may be directly involved in trafficking to lysosomes. AP3 is an heterotetramer composed of two large adaptins (AP3D1, AP3B1 or AP3B2), a medium adaptin (AP3M1 or AP3M2) and a small adaptin (APS1 or AP3S2). AP3S1 Interacts with AGAP1 and may play an important role in carcinoma.
|
||
Form |
Liquid |
||
Storage & Stability |
Store at +4°C short term. For long-term storage, aliquot and store at -20°C or below. Stable for 12 months at -20°C. Avoid repeated freeze-thaw cycles.
|
||
Applications |
WB, IHC-P, IF, E
|
||
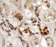
Images |
Western blot analysis of AP3S1 in mouse kidney tissue lysate with AP3S1 antibody at (A) 1 and (B) 2 μg/mL .
Immunohistochemistry of AP3S1 in human kidney tissue with AP3S1 antibody at 2.5 μg/mL.
Immunofluorescence of AP3S1 in human kidney tissue with AP3S1 antibody at 20 μg/mL. |
||
Specification |
|||
Quantity |
|
||
| Select | Brand | Catalog No. | Product Name | Pack Size | Type | Field of Research | Specification | Quantity | Price(USD) | |
| 1 | Leading Biology | APR03440G | ITGA11 Antibody (N-term) | 100 μl | Polyclonal Antibodies |
|
$495.00 | Add Ask | ||
| 2 | Leading Biology | APR04537G | CMIP Antibody (C-term) | 100 μl | Polyclonal Antibodies |
|
$495.00 | Add Ask | ||
| 3 | Leading Biology | APR12422G | Human H4 Histamine Receptor (extracellular) Antibody | 50 μl | Polyclonal Antibodies |
|
$695.00 | Add Ask | ||
| 4 | Leading Biology | APR03844G | UBE2W Antibody (C-term) | 100 μl | Polyclonal Antibodies |
|
$495.00 | Add Ask | ||
| 5 | Leading Biology | APR04349G | HECTD2 Antibody (N-term) | 100 μl | Polyclonal Antibodies |
|
$495.00 | Add Ask | ||
| 6 | Leading Biology | APR03502G | IGHG1 Antibody (Center) | 100 μl | Polyclonal Antibodies |
|
$495.00 | Add Ask |
Leading Biology Inc.
2600 Hilltop DR, Building G, B Suite C138
Richmond, CA, 94806
Tel: 1-661-524(LBI)-0262
Email: info@leadingbiology.com
Complete this form and click send to ask us a question, request a quote or simply say hello.

You have 0 item in your cart

You have 0 item in your inquiry list