> Antigen, Antibodies, ELISA, Western Blot > Primary Antibody > Polyclonal Antibodies > ATAD3B AntibodyBrand |
Leading Biology | Catalog Number |
APR15078G |
Product Type |
Polyclonal Antibodies | Field of Research |
|
Product Overview |
We constantly strive to ensure we provide our customers with the best antibodies. As a result of this work we offer this antibody in purified format.
We are in the process of updating our datasheets. If you have any questions regarding this update, please feel free to contact our technical support team.
This product is a high quality ATAD3B antibody.
|
||
Molecular Weight |
72573 Da
|
||
Cellular Localization |
Antigen Cellular Localization:
Mitochondrion inner membrane; Peripheral membrane protein. Note=Has been found to co-purify with nucleoids (PubMed:22453275). Since it does not face the mitochondrial matrix, the association with nucleoids could be mediated by ATAD3A.
|
||
Host |
Rabbit
|
||
Species Reactivity |
Human
|
||
Target |
ATAD3B; ATAD3B antibody is predicted to not cross-react with other ATAD protein family members. At least three isoforms of ATAD3B are known to exist.
|
||
Isotype |
IgG
|
||
Symbol |
KIAA1273, TOB3
|
||
GeneID |
|||
UniProt ID |
|||
Function |
May play a role in a mitochondrial network organization typical for stem cells, characterized by reduced mitochondrial metabolism, low mtDNA copies and fragmentated mitochondrial network. may act by suppressing ATAD3A function, interfering with ATAD3A interaction with matrix nucleoid complexes.
|
||
Summary |
ATAD3B Antibody: ATAD3B is a member of the AAA ATPase family, a family of proteins that catalyze ATP into ADP and are involved in several cellular functions such as cell-cycle regulation, protein proteolysis and transport. The AAA ATPase family is characterized by a highly conserved AAA motif containing Walker homology sequences and imparting ATPase activity. Mitochondrial membrane proteins ATAD3A/B contribute to the stabilization of nucleoids and may participate in the transformation pathway and the chemosensitivity of oligodendrogliomas. The gene encoding ATAD3A/B/C maps to human chromosome 1 and has been suggested to be an anti-apoptotic marker.
|
||
Form |
Liquid |
||
Storage & Stability |
Store at +4°C short term. For long-term storage, aliquot and store at -20°C or below. Stable for 12 months at -20°C. Avoid repeated freeze-thaw cycles.
|
||
Applications |
WB, IHC-P, E
|
||
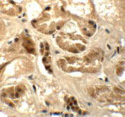
Images |
Western blot analysis of ATAD3B in human kidney tissue lysate with ATAD3B antibody at (A) 1 and (B) 2 μg/mL .
Immunohistochemistry of ATAD3B in human kidney tissue with ATAD3B antibody at 5 μg/mL. |
||
Specification |
|||
Quantity |
|
||
| Select | Brand | Catalog No. | Product Name | Pack Size | Type | Field of Research | Specification | Quantity | Price(USD) | |
| 1 | Leading Biology | APR03440G | ITGA11 Antibody (N-term) | 100 μl | Polyclonal Antibodies |
|
$495.00 | Add Ask | ||
| 2 | Leading Biology | APR04537G | CMIP Antibody (C-term) | 100 μl | Polyclonal Antibodies |
|
$495.00 | Add Ask | ||
| 3 | Leading Biology | APR12422G | Human H4 Histamine Receptor (extracellular) Antibody | 50 μl | Polyclonal Antibodies |
|
$695.00 | Add Ask | ||
| 4 | Leading Biology | APR03844G | UBE2W Antibody (C-term) | 100 μl | Polyclonal Antibodies |
|
$495.00 | Add Ask | ||
| 5 | Leading Biology | APR04349G | HECTD2 Antibody (N-term) | 100 μl | Polyclonal Antibodies |
|
$495.00 | Add Ask | ||
| 6 | Leading Biology | APR03502G | IGHG1 Antibody (Center) | 100 μl | Polyclonal Antibodies |
|
$495.00 | Add Ask |
Leading Biology Inc.
2600 Hilltop DR, Building G, B Suite C138
Richmond, CA, 94806
Tel: 1-661-524(LBI)-0262
Email: info@leadingbiology.com
Complete this form and click send to ask us a question, request a quote or simply say hello.

You have 0 item in your cart

You have 0 item in your inquiry list