> Antigen, Antibodies, ELISA, Western Blot > Primary Antibody > Polyclonal Antibodies > CFTR AntibodyBrand |
Leading Biology | Catalog Number |
APG02556G |
Product Type |
Polyclonal Antibodies | Field of Research |
|
Product Overview |
We constantly strive to ensure we provide our customers with the best antibodies. As a result of this work we offer this antibody in purified format.
We are in the process of updating our datasheets. If you have any questions regarding this update, please feel free to contact our technical support team.
This product is a high quality CFTR antibody.
|
||
Molecular Weight |
168142 Da
|
||
Host |
Rabbit
|
||
Species Reactivity |
Human, Rat
|
||
Target |
Peptide (C)KEETEEEVQDTRL, corresponding to amino acid residues 1468-1480 of human CFTR (Accession #P13569).????Cytoplasmic, C-terminal part.
|
||
GeneID |
|||
UniProt ID |
|||
Summary |
The cystic fibrosis transmembrane conductance regulator (CFTR) is the most dominant Cl- channel in several epithelial tissues, especially in lung and colon. Remarkably, CFTR is a member of the ATP-binding cassette (ABC) transporter superfamily that uses ATP hydrolyzation as the driving force for the translocation of a wide variety of substrates including sugars, amino acids, proteins and hydrophobic compounds, across cellular membranes. The CFTR is unique among ABC transporters in that it is a cAMP-regulated Cl- channel. It shares the superfamily topology of 12 transmembrane domains with two nucleotide-binding domains (NBDs) and a regulatory (R) domain in the large third intracytoplasmic loop that is phosphorylated in multiple sites by PKA. Mutations in the CFTR gene cause channel dysfunction in several ways, ranging from complete loss of surface expression to diminished Cl- secretion. Defects in the CFTR gene cause cystic fibrosis (CF), the most common genetic disease among Caucasians, as well as a form of male sterility.Regulation of the CFTR channel is accomplished through the activation of surface receptors that couple to adenyl cyclase, raise cAMP cellular levels and thus activate PKA. This has been demonstrated for the adenosine and ß2 adrenergic receptor and the vasopressin hormone among others.Besides enhanced Cl- conductance, activation of CFTR also leads to the regulation of other ion channels. The best-studied case is its interaction with the epithelial Na+ channels (ENaC), although it can probably regulate other ion channels as well (Kir1.1 for example). The mechanism by which CFTR regulates other ion channels is not clear, but it may involve protein-protein interactions via molecules that interact with its C-terminal PDZ binding motif, such as the NHERF adaptor protein.Abgent is pleased to offer a newly developed Anti-CFTR antibody (#AG1308) raised against a highly specific epitope located at the C-terminus domain of the human channel. The antibody has been tested in western andimmunohistochemistry applications and will also detect CFTR from rat and mouse samples.
|
||
Form |
Affinity purified antibody, Liquid |
||
Storage & Stability |
Store at +4°C short term. For long-term storage, aliquot and store at -20°C or below. Stable for 12 months at -20°C. Avoid repeated freeze-thaw cycles.
|
||
Applications |
WB
|
||
Dilution |
WB~~1:200-1:2000
|
||
Synonyms |
Cystic fibrosis transmembrane conductance regulator, CFTR, ATP-binding cassette sub-family C member 7, Channel conductance-controlling ATPase, cAMP-dependent chloride channel, CFTR, ABCC7
|
||
Images |
Western blot analysis of rat lung membranes: 1. Anti-CFTR antibody ( APG02556G), (1:200). 2. Anti-CFTR antibody, preincubated with the control peptide antigen.
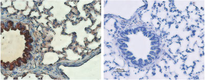
Expression of CFTR in rat lungs Immunohistochemical staining of rat lungs sections using Anti-CFTR antibody ( APG02556G) (left panel). Strong staining of bronchial epithelial cells (red) and lighter staining of alveolar cells (red-brown) is apparent. There is also positive staining of macrophages while smooth muscle and endothelium are negative. Counterstain of cell nuclei appears blue. A negative control is shown in the right panel. |
||
Specification |
|||
Quantity |
|
||
| Select | Brand | Catalog No. | Product Name | Pack Size | Type | Field of Research | Specification | Quantity | Price(USD) | |
| 1 | Leading Biology | APR03440G | ITGA11 Antibody (N-term) | 100 μl | Polyclonal Antibodies |
|
$495.00 | Add Ask | ||
| 2 | Leading Biology | APR04537G | CMIP Antibody (C-term) | 100 μl | Polyclonal Antibodies |
|
$495.00 | Add Ask | ||
| 3 | Leading Biology | APR12422G | Human H4 Histamine Receptor (extracellular) Antibody | 50 μl | Polyclonal Antibodies |
|
$695.00 | Add Ask | ||
| 4 | Leading Biology | APR03844G | UBE2W Antibody (C-term) | 100 μl | Polyclonal Antibodies |
|
$495.00 | Add Ask | ||
| 5 | Leading Biology | APR04349G | HECTD2 Antibody (N-term) | 100 μl | Polyclonal Antibodies |
|
$495.00 | Add Ask | ||
| 6 | Leading Biology | APR03502G | IGHG1 Antibody (Center) | 100 μl | Polyclonal Antibodies |
|
$495.00 | Add Ask |
Leading Biology Inc.
2600 Hilltop DR, Building G, B Suite C138
Richmond, CA, 94806
Tel: 1-661-524(LBI)-0262
Email: info@leadingbiology.com
Complete this form and click send to ask us a question, request a quote or simply say hello.

You have 0 item in your cart

You have 0 item in your inquiry list