> Antigen, Antibodies, ELISA, Western Blot > Primary Antibody > Polyclonal Antibodies > Acetyl-CoA Carboxylase / ACC Antibody (C-Terminus)Brand |
Leading Biology | Catalog Number |
APG01482G |
Product Type |
Polyclonal Antibodies | Field of Research |
|
Product Overview |
We constantly strive to ensure we provide our customers with the best antibodies. As a result of this work we offer this antibody in purified format.
We are in the process of updating our datasheets. If you have any questions regarding this update, please feel free to contact our technical support team.
This product is a high quality Acetyl-CoA Carboxylase / ACC antibody (C-Terminus).
|
||
Molecular Weight |
266kDa
|
||
Cellular Localization |
Antigen Cellular Localization:
Cytoplasm.
|
||
Host |
Rabbit
|
||
Species Reactivity |
Human, Mouse, Rat, Rabbit, Sheep, Horse, Bovine, Dog
|
||
Target |
Region between residue 2333 and the C-terminus (residue 2383) of human acetyl-Coenzyme A carboxylase alpha using the numbering given in entry NP_942131.1 (GeneID 31).
|
||
Symbol |
ACAC, ACC1, ACCA
|
||
GeneID |
|||
UniProt ID |
|||
Function |
Catalyzes the rate-limiting reaction in the biogenesis of long-chain fatty acids. Carries out three functions: biotin carboxyl carrier protein, biotin carboxylase and carboxyltransferase.
|
||
Summary |
Catalyzes the rate-limiting reaction in the biogenesis of long-chain fatty acids. Carries out three functions: biotin carboxyl carrier protein, biotin carboxylase and carboxyltransferase.
|
||
Form |
Liquid. In PBS containing 0.02% sodium azide. |
||
Storage & Stability |
Store at +4°C short term. For long-term storage, aliquot and store at -20°C or below. Stable for 12 months at -20°C. Avoid repeated freeze-thaw cycles.
|
||
Applications |
WB, IHC-P
|
||
Dilution |
IHC-P (5 μg/ml), WB (1:2000-1:10000),
|
||
Synonyms |
Acetyl-CoA carboxylase 1, ACC1, 6.4.1.2, ACC-alpha, Biotin carboxylase, 6.3.4.14, ACACA, ACAC, ACC1, ACCA
|
||
Images |
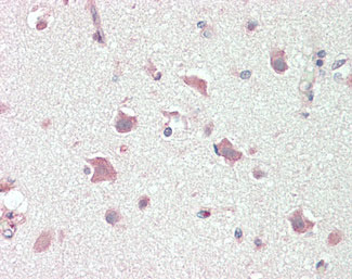
Anti-Acetyl-CoA Carboxylase / ACC antibody IHC staining of human brain, cortex. |
||
Specification |
|||
Quantity |
|
||
| Select | Brand | Catalog No. | Product Name | Pack Size | Type | Field of Research | Specification | Quantity | Price(USD) | |
| 1 | Leading Biology | APR03440G | ITGA11 Antibody (N-term) | 100 μl | Polyclonal Antibodies |
|
$495.00 | Add Ask | ||
| 2 | Leading Biology | APR04537G | CMIP Antibody (C-term) | 100 μl | Polyclonal Antibodies |
|
$495.00 | Add Ask | ||
| 3 | Leading Biology | APR12422G | Human H4 Histamine Receptor (extracellular) Antibody | 50 μl | Polyclonal Antibodies |
|
$695.00 | Add Ask | ||
| 4 | Leading Biology | APR03844G | UBE2W Antibody (C-term) | 100 μl | Polyclonal Antibodies |
|
$495.00 | Add Ask | ||
| 5 | Leading Biology | APR04349G | HECTD2 Antibody (N-term) | 100 μl | Polyclonal Antibodies |
|
$495.00 | Add Ask | ||
| 6 | Leading Biology | APR03502G | IGHG1 Antibody (Center) | 100 μl | Polyclonal Antibodies |
|
$495.00 | Add Ask |
Leading Biology Inc.
2600 Hilltop DR, Building G, B Suite C138
Richmond, CA, 94806
Tel: 1-661-524(LBI)-0262
Email: info@leadingbiology.com
Complete this form and click send to ask us a question, request a quote or simply say hello.

You have 0 item in your cart

You have 0 item in your inquiry list