> Antigen, Antibodies, ELISA, Western Blot > Primary Antibody > Polyclonal Antibodies > NPAS3 Antibody (Internal)Brand |
Leading Biology | Catalog Number |
AMM06772G |
Product Type |
Polyclonal Antibodies | Field of Research |
|
Product Overview |
We constantly strive to ensure we provide our customers with the best antibodies. As a result of this work we offer this antibody in purified format.
We are in the process of updating our datasheets. If you have any questions regarding this update, please feel free to contact our technical support team.
This product is a high quality NPAS3 antibody (Internal).
|
||
Molecular Weight |
101kDa
|
||
Cellular Localization |
Antigen Cellular Localization:
Nucleus {ECO:0000255|PROSITE- ProRule:PRU00981, ECO:0000269|PubMed:12746393}
|
||
Host |
Rabbit
|
||
Species Reactivity |
Human, Mouse, Rat
|
||
Target |
28 amino acid peptide from near the center of human NPAS3.
|
||
Symbol |
BHLHE12, MOP6, PASD6
|
||
GeneID |
|||
UniProt ID |
|||
Function |
May play a broad role in neurogenesis. May control regulatory pathways relevant to schizophrenia and to psychotic illness (By similarity).
|
||
Summary |
May play a broad role in neurogenesis. May control regulatory pathways relevant to schizophrenia and to psychotic illness (By similarity).
|
||
Form |
Liquid |
||
Storage & Stability |
Store at +4°C short term. For long-term storage, aliquot and store at -20°C or below. Stable for 12 months at -20°C. Avoid repeated freeze-thaw cycles.
|
||
Applications |
WB, IHC-P, IF
|
||
Dilution |
IHC-P (10 μg/ml)
|
||
Synonyms |
Neuronal PAS domain-containing protein 3, Neuronal PAS3, Basic-helix-loop-helix-PAS protein MOP6, Class E basic helix-loop-helix protein 12, bHLHe12, Member of PAS protein 6, PAS domain-containing protein 6, NPAS3, BHLHE12, MOP6, PASD6
|
||
Images |
Immunofluorescence of NPAS3 in Human Brain cells with NPAS3 antibody at 20 ug/ml.
Western blot of NPAS3 in rat brain tissue lysate with NPAS3 antibody at (A) 0.5, (B) 1 and (C) 2...
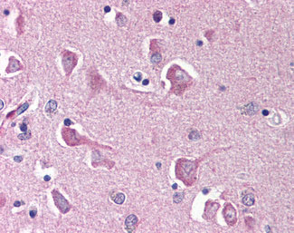
Anti-NPAS3 antibody IHC of human brain, cortex. |
||
Specification |
|||
Quantity |
|
||
| Select | Brand | Catalog No. | Product Name | Pack Size | Type | Field of Research | Specification | Quantity | Price(USD) | |
| 1 | Leading Biology | APR03440G | ITGA11 Antibody (N-term) | 100 μl | Polyclonal Antibodies |
|
$495.00 | Add Ask | ||
| 2 | Leading Biology | APR04537G | CMIP Antibody (C-term) | 100 μl | Polyclonal Antibodies |
|
$495.00 | Add Ask | ||
| 3 | Leading Biology | APR12422G | Human H4 Histamine Receptor (extracellular) Antibody | 50 μl | Polyclonal Antibodies |
|
$695.00 | Add Ask | ||
| 4 | Leading Biology | APR03844G | UBE2W Antibody (C-term) | 100 μl | Polyclonal Antibodies |
|
$495.00 | Add Ask | ||
| 5 | Leading Biology | APR04349G | HECTD2 Antibody (N-term) | 100 μl | Polyclonal Antibodies |
|
$495.00 | Add Ask | ||
| 6 | Leading Biology | APR03502G | IGHG1 Antibody (Center) | 100 μl | Polyclonal Antibodies |
|
$495.00 | Add Ask |
Leading Biology Inc.
2600 Hilltop DR, Building G, B Suite C138
Richmond, CA, 94806
Tel: 1-661-524(LBI)-0262
Email: info@leadingbiology.com
Complete this form and click send to ask us a question, request a quote or simply say hello.

You have 0 item in your cart

You have 0 item in your inquiry list