> Antigen, Antibodies, ELISA, Western Blot > Primary Antibody > Polyclonal Antibodies > IPAF / NLRC4 Antibody (C-Terminus)Brand |
Leading Biology | Catalog Number |
APR08020G |
Product Type |
Polyclonal Antibodies | Field of Research |
|
Product Overview |
We constantly strive to ensure we provide our customers with the best antibodies. As a result of this work we offer this antibody in purified format.
We are in the process of updating our datasheets. If you have any questions regarding this update, please feel free to contact our technical support team.
This product is a high quality IPAF / NLRC4 antibody (C-Terminus).
|
||
Molecular Weight |
116kDa
|
||
Cellular Localization |
Antigen Cellular Localization:
Cytoplasm. Cytoplasm, cytosol. Note=Cytoplasmic filaments
|
||
Host |
Rabbit
|
||
Species Reactivity |
Human
|
||
Target |
synthetic peptide corresponding to amino acids near the C-terminus of human Ipaf
|
||
Symbol |
CARD12, CLAN, CLAN1, IPAF
|
||
GeneID |
|||
UniProt ID |
|||
Function |
Key component of inflammasomes that indirectly senses specific proteins from pathogenic bacteria and fungi and responds by assembling an inflammasome complex that promotes caspase-1 activation, cytokine production and macrophage pyroptosis.
|
||
Summary |
Key component of inflammasomes that indirectly senses specific proteins from pathogenic bacteria and fungi and responds by assembling an inflammasome complex that promotes caspase-1 activation, cytokine production and macrophage pyroptosis.
|
||
Form |
Liquid |
||
Storage & Stability |
Store at +4°C short term. For long-term storage, aliquot and store at -20°C or below. Stable for 12 months at -20°C. Avoid repeated freeze-thaw cycles.
|
||
Applications |
WB, IHC-P, IF, ICC
|
||
Dilution |
IHC-P (5 μg/ml), WB (0.5-2 μg/ml),
|
||
Synonyms |
NLR family CARD domain-containing protein 4, CARD, LRR, and NACHT-containing protein, Clan protein, Caspase recruitment domain-containing protein 12, Ice protease-activating factor, Ipaf, NLRC4, CARD12, CLAN, CLAN1, IPAF
|
||
Images |
Immunocytochemistry of Ipaf in THP-1 cells with Ipaf antibody at 10 ug/ml.
Immunofluorescence of Ipaf in THP1 cells with Ipaf antibody at 10 ug/ml.
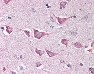
Anti-NLRC4 antibody IHC of human brain, cortex. |
||
Specification |
|||
Quantity |
|
||
| Select | Brand | Catalog No. | Product Name | Pack Size | Type | Field of Research | Specification | Quantity | Price(USD) | |
| 1 | Leading Biology | APR03440G | ITGA11 Antibody (N-term) | 100 μl | Polyclonal Antibodies |
|
$495.00 | Add Ask | ||
| 2 | Leading Biology | APR04537G | CMIP Antibody (C-term) | 100 μl | Polyclonal Antibodies |
|
$495.00 | Add Ask | ||
| 3 | Leading Biology | APR12422G | Human H4 Histamine Receptor (extracellular) Antibody | 50 μl | Polyclonal Antibodies |
|
$695.00 | Add Ask | ||
| 4 | Leading Biology | APR03844G | UBE2W Antibody (C-term) | 100 μl | Polyclonal Antibodies |
|
$495.00 | Add Ask | ||
| 5 | Leading Biology | APR04349G | HECTD2 Antibody (N-term) | 100 μl | Polyclonal Antibodies |
|
$495.00 | Add Ask | ||
| 6 | Leading Biology | APR03502G | IGHG1 Antibody (Center) | 100 μl | Polyclonal Antibodies |
|
$495.00 | Add Ask |
Leading Biology Inc.
2600 Hilltop DR, Building G, B Suite C138
Richmond, CA, 94806
Tel: 1-661-524(LBI)-0262
Email: info@leadingbiology.com
Complete this form and click send to ask us a question, request a quote or simply say hello.

You have 0 item in your cart

You have 0 item in your inquiry list