> Antigen, Antibodies, ELISA, Western Blot > Primary Antibody > Polyclonal Antibodies > ACTA1/α-actin Antibody (C-term)Brand |
Leading Biology | Catalog Number |
AMM08742G |
Product Type |
Polyclonal Antibodies | Field of Research |
|
Product Overview |
We constantly strive to ensure we provide our customers with the best antibodies. As a result of this work we offer this antibody in purified format.
We are in the process of updating our datasheets. If you have any questions regarding this update, please feel free to contact our technical support team.
This product is a high quality ACTA1/α-actin antibody (C-term).
|
||
Molecular Weight |
H=42;M=42;Rat=42 KDa
|
||
Cellular Localization |
Antigen Cellular Localization:
Cytoplasm, cytoskeleton.
|
||
Host |
Rabbit
|
||
Species Reactivity |
Human
|
||
Immunogen |
346-375 aa
|
||
Target |
This ACTA1/Alpha-actin antibody is generated from rabbits immunized with a KLH conjugated synthetic peptide between 346-375 amino acids from the C-terminal region of human ACTA1/Alpha-actin.
|
||
Symbol |
ACTA
|
||
GeneID |
|||
UniProt ID |
|||
Function |
Actins are highly conserved proteins that are involved in various types of cell motility and are ubiquitously expressed in all eukaryotic cells.
|
||
Summary |
The product encoded by this gene belongs to the actinfamily of proteins, which are highly conserved proteins that play arole in cell motility, structure and integrity. Alpha, beta andgamma actin isoforms have been identified, with alpha actins beinga major constituent of the contractile apparatus, while beta andgamma actins are involved in the regulation of cell motility. Thisactin is an alpha actin that is found in skeletal muscle. Mutationsin this gene cause nemaline myopathy type 3, congenital myopathywith excess of thin myofilaments, congenital myopathy with cores,and congenital myopathy with fiber-type disproportion, diseasesthat lead to muscle fiber defects.
|
||
Form |
Purified polyclonal antibody supplied in PBS with 0.09% (W/V) sodium azide. This antibody is purified through a protein A column, followed by peptide affinity purification. |
||
Storage & Stability |
Store at +4°C short term. For long-term storage, aliquot and store at -20°C or below. Stable for 12 months at -20°C. Avoid repeated freeze-thaw cycles.
|
||
Applications |
WB, IHC-P, IF, FC
|
||
Dilution |
WB~~1:1000
IHC-P~~1:10~50
IF~~1:10~50
FC~~1:10~50
|
||
Synonyms |
ACTA1; ACTA; Actin, alpha skeletal muscle; Alpha-actin-1
|
||
Images |
Western blot analysis of lysates from human placenta tissue lysate,RD cell line (from left to right), using ACTA1/α-actin Antibody (C-term)(Cat. AMM08742G). AMM08742G was diluted at 1:1000 at each lane. A goat anti-rabbit IgG H&L(HRP) at 1:10000 dilution was used as the secondary antibody.
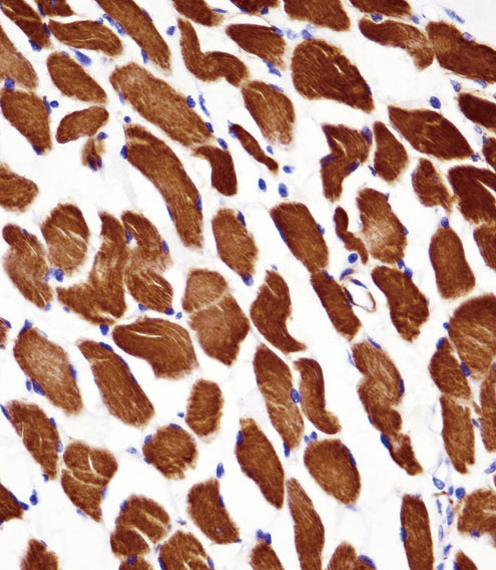
ACTA1/α-actin Antibody (C-term) (AMM08742G)immunohistochemistry analysis in formalin fixed and paraffin embedded human skeletal muscle followed by peroxidase conjugation of the secondary antibody and DAB staining.This data demonstrates the use of ACTA1/α-actin Antibody (C-term) for immunohistochemistry. Clinical relevance has not been evaluated.
Confocal immunofluorescent analysis of ACTA1/α-actin Antibody (C-term)( AMM08742G) with A549 cell followed by Alexa Fluor 488-conjugated goat anti-rabbit lgG (green).DAPI was used to stain the cell nuclear (blue). |
||
Specification |
|||
Quantity |
|
||
| Select | Brand | Catalog No. | Product Name | Pack Size | Type | Field of Research | Specification | Quantity | Price(USD) | |
| 1 | Leading Biology | APR03440G | ITGA11 Antibody (N-term) | 100 μl | Polyclonal Antibodies |
|
$495.00 | Add Ask | ||
| 2 | Leading Biology | APR04537G | CMIP Antibody (C-term) | 100 μl | Polyclonal Antibodies |
|
$495.00 | Add Ask | ||
| 3 | Leading Biology | APR12422G | Human H4 Histamine Receptor (extracellular) Antibody | 50 μl | Polyclonal Antibodies |
|
$695.00 | Add Ask | ||
| 4 | Leading Biology | APR03844G | UBE2W Antibody (C-term) | 100 μl | Polyclonal Antibodies |
|
$495.00 | Add Ask | ||
| 5 | Leading Biology | APR04349G | HECTD2 Antibody (N-term) | 100 μl | Polyclonal Antibodies |
|
$495.00 | Add Ask | ||
| 6 | Leading Biology | APR03502G | IGHG1 Antibody (Center) | 100 μl | Polyclonal Antibodies |
|
$495.00 | Add Ask |
Leading Biology Inc.
2600 Hilltop DR, Building G, B Suite C138
Richmond, CA, 94806
Tel: 1-661-524(LBI)-0262
Email: info@leadingbiology.com
Complete this form and click send to ask us a question, request a quote or simply say hello.

You have 0 item in your cart

You have 0 item in your inquiry list