> Antigen, Antibodies, ELISA, Western Blot > Primary Antibody > Polyclonal Antibodies > ENOB Antibody (Center)Brand |
Leading Biology | Catalog Number |
APR07706G |
Product Type |
Polyclonal Antibodies | Field of Research |
|
Product Overview |
We constantly strive to ensure we provide our customers with the best antibodies. As a result of this work we offer this antibody in purified format.
We are in the process of updating our datasheets. If you have any questions regarding this update, please feel free to contact our technical support team.
This product is a high quality ENOB antibody (Center).
|
||
Molecular Weight |
46987 Da
|
||
Cellular Localization |
Antigen Cellular Localization:
Cytoplasm. Note=Localized to the Z line. Some colocalization with CKM at M-band (By similarity)
|
||
Host |
Rabbit
|
||
Species Reactivity |
Human
|
||
Immunogen |
237-264 aa
|
||
Target |
This ENOB antibody is generated from rabbits immunized with a KLH conjugated synthetic peptide between 237-264 amino acids from the Central region of human ENOB.
|
||
Isotype |
Rabbit Ig
|
||
GeneID |
|||
UniProt ID |
|||
Function |
Appears to have a function in striated muscle development and regeneration.
|
||
Summary |
ENOB is one of the three enolase isoenzymes found in mammals. This isoenzyme, a homodimer, is found in skeletal muscle cells in the adult. A switch from alpha enolase to beta enolase occurs in muscle tissue during development in rodents. Mutations in its gene can be associated with metabolic myopathies that may result from decreased stability of the enzyme.
|
||
Form |
Purified polyclonal antibody supplied in PBS with 0.09% (W/V) sodium azide. This antibody is prepared by Saturated Ammonium Sulfate (SAS) precipitation followed by dialysis against PBS. |
||
Storage & Stability |
Store at +4°C short term. For long-term storage, aliquot and store at -20°C or below. Stable for 12 months at -20°C. Avoid repeated freeze-thaw cycles.
|
||
Applications |
WB, IHC-P, FC, E
|
||
Dilution |
WB~~1:1000
IHC-P~~1:50~100
FC~~1:10~50
|
||
Synonyms |
Beta-enolase, 2-phospho-D-glycerate hydro-lyase, Enolase 3, Muscle-specific enolase, MSE, Skeletal muscle enolase, ENO3
|
||
Images |
ENOB Antibody (Center) (Cat. APR07706G) western blot analysis in RD cell line and mouse skeletal muscle,rat skeletal muscle lysates (35ug/lane).This demonstrates the ENOB antibody detected the ENOB protein (arrow).
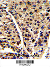
Formalin-fixed and paraffin-embedded human hepatocarcinoma reacted with ENOB Antibody (Center), which was peroxidase-conjugated to the secondary antibody, followed by DAB staining. This data demonstrates the use of this antibody for immunohistochemistry; clinical relevance has not been evaluated.
ENOB Antibody (Center) (Cat. APR07706G) flow cytometry analysis of HepG2 cells (bottom histogram) compared to a negative control cell (top histogram). FITC-conjugated goat-anti-rabbit secondary antibodies were used for the analysis. |
||
Specification |
|||
Quantity |
|
||
| Select | Brand | Catalog No. | Product Name | Pack Size | Type | Field of Research | Specification | Quantity | Price(USD) | |
| 1 | Leading Biology | APR03440G | ITGA11 Antibody (N-term) | 100 μl | Polyclonal Antibodies |
|
$495.00 | Add Ask | ||
| 2 | Leading Biology | APR04537G | CMIP Antibody (C-term) | 100 μl | Polyclonal Antibodies |
|
$495.00 | Add Ask | ||
| 3 | Leading Biology | APR12422G | Human H4 Histamine Receptor (extracellular) Antibody | 50 μl | Polyclonal Antibodies |
|
$695.00 | Add Ask | ||
| 4 | Leading Biology | APR03844G | UBE2W Antibody (C-term) | 100 μl | Polyclonal Antibodies |
|
$495.00 | Add Ask | ||
| 5 | Leading Biology | APR04349G | HECTD2 Antibody (N-term) | 100 μl | Polyclonal Antibodies |
|
$495.00 | Add Ask | ||
| 6 | Leading Biology | APR03502G | IGHG1 Antibody (Center) | 100 μl | Polyclonal Antibodies |
|
$495.00 | Add Ask |
Leading Biology Inc.
2600 Hilltop DR, Building G, B Suite C138
Richmond, CA, 94806
Tel: 1-661-524(LBI)-0262
Email: info@leadingbiology.com
Complete this form and click send to ask us a question, request a quote or simply say hello.

You have 0 item in your cart

You have 0 item in your inquiry list