> Antigen, Antibodies, ELISA, Western Blot > Primary Antibody > Polyclonal Antibodies > IL18 Antibody (C-term)Brand |
Leading Biology | Catalog Number |
APR07981G |
Product Type |
Polyclonal Antibodies | Field of Research |
|
Product Overview |
We constantly strive to ensure we provide our customers with the best antibodies. As a result of this work we offer this antibody in purified format.
We are in the process of updating our datasheets. If you have any questions regarding this update, please feel free to contact our technical support team.
This product is a high quality IL18 antibody (C-term).
|
||
Molecular Weight |
22326 Da
|
||
Cellular Localization |
Antigen Cellular Localization:
Secreted.
|
||
Host |
Rabbit
|
||
Species Reactivity |
Human
|
||
Target |
This IL18 antibody is generated from a rabbit immunized with a KLH conjugated synthetic peptide between 155-188 amino acids from the C-terminal region of human IL18.
|
||
Isotype |
Rabbit Ig
|
||
Symbol |
IGIF, IL1F4
|
||
GeneID |
|||
UniProt ID |
|||
Function |
Augments natural killer cell activity in spleen cells and stimulates interferon gamma production in T-helper type I cells.
|
||
Summary |
Augments natural killer cell activity in spleen cells and stimulates interferon gamma production in T-helper type I cells.
|
||
Form |
Purified polyclonal antibody supplied in PBS with 0.09% (W/V) sodium azide. This antibody is purified through a protein A column, followed by peptide affinity purification. |
||
Storage & Stability |
Store at +4°C short term. For long-term storage, aliquot and store at -20°C or below. Stable for 12 months at -20°C. Avoid repeated freeze-thaw cycles.
|
||
Applications |
WB, FC, IF, IHC-P, E
|
||
Dilution |
IHC-P~~1:25
IF~~1:25
FC~~1:25
WB~~1:1000
|
||
Synonyms |
Interleukin-18, IL-18, Iboctadekin, Interferon gamma-inducing factor, IFN-gamma-inducing factor, Interleukin-1 gamma, IL-1 gamma, IL18, IGIF, IL1F4
|
||
Images |
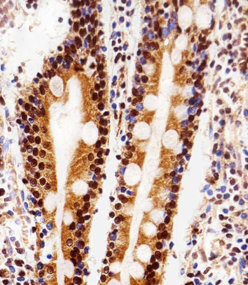
Immunohistochemical analysis of paraffin-embedded H. small intestine section using IL18 Antibody (C-term)( APR07981G). APR07981G was diluted at 1:100 dilution. A peroxidase-conjugated goat anti-rabbit IgG at 1:400 dilution was used as the secondary antibody, followed by DAB staining.
Fluorescent image of U251 cells stained with IL18 Antibody (C-term) ( APR07981G). APR07981G was diluted at 1:25 dilution. An Alexa Fluor 488-conjugated goat anti-rabbit lgG at 1:400 dilution was used as the secondary antibody (green). Cytoplasmic actin was counterstained with Alexa Fluor? 555 conjugated with Phalloidin (red).
Flow cytometric analysis of Hela cells using IL18 Antibody (C-term)(green, APR07981G) compared to an isotype control of rabbit IgG(blue). APR07981G was diluted at 1:25 dilution. An Alexa Fluor? 488 goat anti-rabbit lgG at 1:400 dilution was used as the secondary antibody. |
||
Specification |
|||
Quantity |
|
||
| Select | Brand | Catalog No. | Product Name | Pack Size | Type | Field of Research | Specification | Quantity | Price(USD) | |
| 1 | Leading Biology | APR03440G | ITGA11 Antibody (N-term) | 100 μl | Polyclonal Antibodies |
|
$495.00 | Add Ask | ||
| 2 | Leading Biology | APR04537G | CMIP Antibody (C-term) | 100 μl | Polyclonal Antibodies |
|
$495.00 | Add Ask | ||
| 3 | Leading Biology | APR12422G | Human H4 Histamine Receptor (extracellular) Antibody | 50 μl | Polyclonal Antibodies |
|
$695.00 | Add Ask | ||
| 4 | Leading Biology | APR03844G | UBE2W Antibody (C-term) | 100 μl | Polyclonal Antibodies |
|
$495.00 | Add Ask | ||
| 5 | Leading Biology | APR04349G | HECTD2 Antibody (N-term) | 100 μl | Polyclonal Antibodies |
|
$495.00 | Add Ask | ||
| 6 | Leading Biology | APR03502G | IGHG1 Antibody (Center) | 100 μl | Polyclonal Antibodies |
|
$495.00 | Add Ask |
Leading Biology Inc.
2600 Hilltop DR, Building G, B Suite C138
Richmond, CA, 94806
Tel: 1-661-524(LBI)-0262
Email: info@leadingbiology.com
Complete this form and click send to ask us a question, request a quote or simply say hello.

You have 0 item in your cart

You have 0 item in your inquiry list