> Antigen, Antibodies, ELISA, Western Blot > Primary Antibody > Polyclonal Antibodies > MPP7 Antibody (N-term)Brand |
Leading Biology | Catalog Number |
APR17468G |
Product Type |
Polyclonal Antibodies | Field of Research |
|
Product Overview |
We constantly strive to ensure we provide our customers with the best antibodies. As a result of this work we offer this antibody in purified format.
We are in the process of updating our datasheets. If you have any questions regarding this update, please feel free to contact our technical support team.
This product is a high quality MPP7 antibody (N-term).
|
||
Molecular Weight |
65524 Da
|
||
Cellular Localization |
Antigen Cellular Localization:
Membrane; Peripheral membrane protein. Cell junction, tight junction. Cell junction, adherens junction
|
||
Host |
Rabbit
|
||
Species Reactivity |
Human
|
||
Target |
This MPP7 antibody is generated from a rabbit immunized with a KLH conjugated synthetic peptide between 2-36 amino acids from the N-terminal region of human MPP7.
|
||
Isotype |
Rabbit Ig
|
||
GeneID |
|||
UniProt ID |
|||
Function |
Acts as an important adapter that promotes epithelial cell polarity and tight junction formation via its interaction with DLG1. Involved in the assembly of protein complexes at sites of cell-cell contact.
|
||
Summary |
Acts as an important adapter that promotes epithelial cell polarity and tight junction formation via its interaction with DLG1. Involved in the assembly of protein complexes at sites of cell-cell contact.
|
||
Form |
Purified polyclonal antibody supplied in PBS with 0.09% (W/V) sodium azide. This antibody is purified through a protein A column, followed by peptide affinity purification. |
||
Storage & Stability |
Store at +4°C short term. For long-term storage, aliquot and store at -20°C or below. Stable for 12 months at -20°C. Avoid repeated freeze-thaw cycles.
|
||
Applications |
WB, FC, IHC-P, E
|
||
Dilution |
IHC-P~~1:25
FC~~1:25
WB~~1:1000
|
||
Synonyms |
MAGUK p55 subfamily member 7, MPP7
|
||
Images |
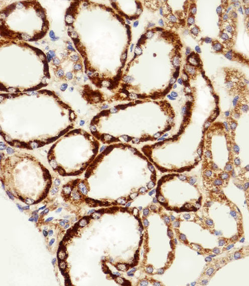
Immunohistochemical analysis of paraffin-embedded H. kidney section using MPP7 Antibody (N-term)( APR17468G). APR17468G was diluted at 1:100 dilution. A peroxidase-conjugated goat anti-rabbit IgG at 1:400 dilution was used as the secondary antibody, followed by DAB staining.
Flow cytometric analysis of Hela cells using MPP7 Antibody (N-term)(green, APR17468G) compared to an isotype control of rabbit IgG(blue). APR17468G was diluted at 1:25 dilution. An Alexa Fluor? 488 goat anti-rabbit lgG at 1:400 dilution was used as the secondary antibody.
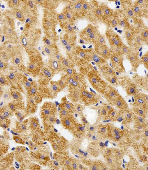
Immunohistochemical analysis of paraffin-embedded H. liver section using MPP7 Antibody (N-term)( APR17468G). APR17468G was diluted at 1:100 dilution. A peroxidase-conjugated goat anti-rabbit IgG at 1:400 dilution was used as the secondary antibody, followed by DAB staining. |
||
Specification |
|||
Quantity |
|
||
| Select | Brand | Catalog No. | Product Name | Pack Size | Type | Field of Research | Specification | Quantity | Price(USD) | |
| 1 | Leading Biology | APR03440G | ITGA11 Antibody (N-term) | 100 μl | Polyclonal Antibodies |
|
$495.00 | Add Ask | ||
| 2 | Leading Biology | APR04537G | CMIP Antibody (C-term) | 100 μl | Polyclonal Antibodies |
|
$495.00 | Add Ask | ||
| 3 | Leading Biology | APR12422G | Human H4 Histamine Receptor (extracellular) Antibody | 50 μl | Polyclonal Antibodies |
|
$695.00 | Add Ask | ||
| 4 | Leading Biology | APR03844G | UBE2W Antibody (C-term) | 100 μl | Polyclonal Antibodies |
|
$495.00 | Add Ask | ||
| 5 | Leading Biology | APR04349G | HECTD2 Antibody (N-term) | 100 μl | Polyclonal Antibodies |
|
$495.00 | Add Ask | ||
| 6 | Leading Biology | APR03502G | IGHG1 Antibody (Center) | 100 μl | Polyclonal Antibodies |
|
$495.00 | Add Ask |
Leading Biology Inc.
2600 Hilltop DR, Building G, B Suite C138
Richmond, CA, 94806
Tel: 1-661-524(LBI)-0262
Email: info@leadingbiology.com
Complete this form and click send to ask us a question, request a quote or simply say hello.

You have 0 item in your cart

You have 0 item in your inquiry list