> Antigen, Antibodies, ELISA, Western Blot > Primary Antibody > Polyclonal Antibodies > SSPN Antibody (N-term)Brand |
Leading Biology | Catalog Number |
AMM07987G |
Product Type |
Polyclonal Antibodies | Field of Research |
|
Product Overview |
We constantly strive to ensure we provide our customers with the best antibodies. As a result of this work we offer this antibody in purified format.
We are in the process of updating our datasheets. If you have any questions regarding this update, please feel free to contact our technical support team.
This product is a high quality SSPN antibody (N-term).
|
||
Molecular Weight |
26618 Da
|
||
Cellular Localization |
Antigen Cellular Localization:
Cell membrane; Multi-pass membrane protein. Cell membrane, sarcolemma. Cell junction, synapse, postsynaptic cell membrane; Multi-pass membrane protein Note=Also found in myotendinous junctions and in the postsynaptic membrane of neuromuscular junctions.
|
||
Host |
Rabbit
|
||
Species Reactivity |
Human
|
||
Immunogen |
6-34 aa
|
||
Target |
This SSPN antibody is generated from rabbits immunized with a KLH conjugated synthetic peptide between 6-34 amino acids from the N-terminal region of human SSPN.
|
||
Isotype |
Rabbit Ig
|
||
Symbol |
KRAG
|
||
GeneID |
|||
UniProt ID |
|||
Function |
Component of the dystrophin-glycoprotein complex (DGC), a complex that spans the muscle plasma membrane and forms a link between the F-actin cytoskeleton and the extracellular matrix. Preferentially associates with the sarcoglycan subcomplex of the DGC.
|
||
Summary |
Component of the dystrophin-glycoprotein complex (DGC), a complex that spans the muscle plasma membrane and forms a link between the F-actin cytoskeleton and the extracellular matrix. Preferentially associates with the sarcoglycan subcomplex of the DGC.
|
||
Form |
Purified polyclonal antibody supplied in PBS with 0.09% (W/V) sodium azide. This antibody is purified through a protein A column, followed by peptide affinity purification. |
||
Storage & Stability |
Store at +4°C short term. For long-term storage, aliquot and store at -20°C or below. Stable for 12 months at -20°C. Avoid repeated freeze-thaw cycles.
|
||
Applications |
WB, IHC-P, E
|
||
Dilution |
IHC-P~~1:25
WB~~1:1000
|
||
Synonyms |
Sarcospan, K-ras oncogene-associated protein, Kirsten-ras-associated protein, SSPN, KRAG
|
||
Images |
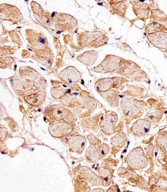
Immunohistochemical analysis of paraffin-embedded H. heart section using SSPN Antibody (N-term)( AP20496A). AP20496A was diluted at 1:25 dilution. A undiluted biotinylated goat polyvalent antibody was used as the secondary, followed by DAB staining.
SSPN Antibody (N-term) (Cat. AMM07987G) western blot analysis in K562,MDA-MB453 cell line lysates (35ug/lane).This demonstrates the SSPN antibody detected the SSPN protein (arrow). |
||
Specification |
|||
Quantity |
|
||
| Select | Brand | Catalog No. | Product Name | Pack Size | Type | Field of Research | Specification | Quantity | Price(USD) | |
| 1 | Leading Biology | APR03440G | ITGA11 Antibody (N-term) | 100 μl | Polyclonal Antibodies |
|
$495.00 | Add Ask | ||
| 2 | Leading Biology | APR04537G | CMIP Antibody (C-term) | 100 μl | Polyclonal Antibodies |
|
$495.00 | Add Ask | ||
| 3 | Leading Biology | APR12422G | Human H4 Histamine Receptor (extracellular) Antibody | 50 μl | Polyclonal Antibodies |
|
$695.00 | Add Ask | ||
| 4 | Leading Biology | APR03844G | UBE2W Antibody (C-term) | 100 μl | Polyclonal Antibodies |
|
$495.00 | Add Ask | ||
| 5 | Leading Biology | APR04349G | HECTD2 Antibody (N-term) | 100 μl | Polyclonal Antibodies |
|
$495.00 | Add Ask | ||
| 6 | Leading Biology | APR03502G | IGHG1 Antibody (Center) | 100 μl | Polyclonal Antibodies |
|
$495.00 | Add Ask |
Leading Biology Inc.
2600 Hilltop DR, Building G, B Suite C138
Richmond, CA, 94806
Tel: 1-661-524(LBI)-0262
Email: info@leadingbiology.com
Complete this form and click send to ask us a question, request a quote or simply say hello.

You have 0 item in your cart

You have 0 item in your inquiry list