> Antigen, Antibodies, ELISA, Western Blot > Primary Antibody > Polyclonal Antibodies > PKP4 Antibody (C-term)Brand |
Leading Biology | Catalog Number |
AMM07218G |
Product Type |
Polyclonal Antibodies | Field of Research |
|
Product Overview |
We constantly strive to ensure we provide our customers with the best antibodies. As a result of this work we offer this antibody in purified format.
We are in the process of updating our datasheets. If you have any questions regarding this update, please feel free to contact our technical support team.
This product is a high quality PKP4 antibody (C-term).
|
||
Molecular Weight |
131868 Da
|
||
Cellular Localization |
Antigen Cellular Localization:
Cell junction, desmosome. Cytoplasm, cytoskeleton, spindle. Midbody. Cell membrane; Peripheral membrane protein. Note=Associated with the pericentrosomal region in interphase and with spindle poles during mitosis. In anaphase, during chromosome segregation, is recruited to the central microtubule bundle, focussed at the spindle midzone and ultimately localizes to the midbody at cytokinesis Constituent of the midbody cytoskeletal matrix. Colocalized with desmoplakin at desmosomal junctional plaques in cultured epithelial cells
|
||
Host |
Rabbit
|
||
Species Reactivity |
Human, Mouse
|
||
Immunogen |
1040-1068 aa
|
||
Target |
This PKP4 antibody is generated from rabbits immunized with a KLH conjugated synthetic peptide between 1040-1068 amino acids from the C-terminal region of human PKP4.
|
||
Isotype |
Rabbit Ig
|
||
GeneID |
|||
UniProt ID |
|||
Function |
Plays a role as a regulator of Rho activity during cytokinesis. May play a role in junctional plaques.
|
||
Summary |
Plays a role as a regulator of Rho activity during cytokinesis. May play a role in junctional plaques.
|
||
Form |
Purified polyclonal antibody supplied in PBS with 0.09% (W/V) sodium azide. This antibody is purified through a protein A column, followed by peptide affinity purification. |
||
Storage & Stability |
Store at +4°C short term. For long-term storage, aliquot and store at -20°C or below. Stable for 12 months at -20°C. Avoid repeated freeze-thaw cycles.
|
||
Applications |
WB, E
|
||
Dilution |
WB~~1:1000
|
||
Synonyms |
Plakophilin-4, p0071, PKP4
|
||
Images |
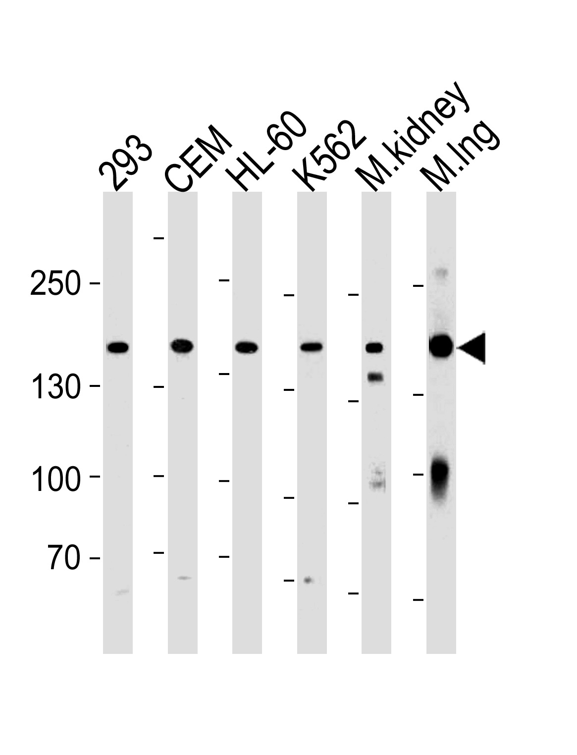
PKP4 Antibody (C-term) (Cat. AMM07218G) western blot analysis in 293,CEM,HL-60,K562 cell line and mouse kidney,lung tissue lysates (35ug/lane).This demonstrates the PKP4 antibody detected the PKP4 protein (arrow). |
||
Specification |
|||
Quantity |
|
||
| Select | Brand | Catalog No. | Product Name | Pack Size | Type | Field of Research | Specification | Quantity | Price(USD) | |
| 1 | Leading Biology | APR03440G | ITGA11 Antibody (N-term) | 100 μl | Polyclonal Antibodies |
|
$495.00 | Add Ask | ||
| 2 | Leading Biology | APR04537G | CMIP Antibody (C-term) | 100 μl | Polyclonal Antibodies |
|
$495.00 | Add Ask | ||
| 3 | Leading Biology | APR12422G | Human H4 Histamine Receptor (extracellular) Antibody | 50 μl | Polyclonal Antibodies |
|
$695.00 | Add Ask | ||
| 4 | Leading Biology | APR03844G | UBE2W Antibody (C-term) | 100 μl | Polyclonal Antibodies |
|
$495.00 | Add Ask | ||
| 5 | Leading Biology | APR04349G | HECTD2 Antibody (N-term) | 100 μl | Polyclonal Antibodies |
|
$495.00 | Add Ask | ||
| 6 | Leading Biology | APR03502G | IGHG1 Antibody (Center) | 100 μl | Polyclonal Antibodies |
|
$495.00 | Add Ask |
Leading Biology Inc.
2600 Hilltop DR, Building G, B Suite C138
Richmond, CA, 94806
Tel: 1-661-524(LBI)-0262
Email: info@leadingbiology.com
Complete this form and click send to ask us a question, request a quote or simply say hello.

You have 0 item in your cart

You have 0 item in your inquiry list