> Antigen, Antibodies, ELISA, Western Blot > Primary Antibody > Polyclonal Antibodies > I23O2 Antibody (C-term)Brand |
Leading Biology | Catalog Number |
APR07910G |
Product Type |
Polyclonal Antibodies | Field of Research |
|
Product Overview |
We constantly strive to ensure we provide our customers with the best antibodies. As a result of this work we offer this antibody in purified format.
We are in the process of updating our datasheets. If you have any questions regarding this update, please feel free to contact our technical support team.
This product is a high quality I23O2 antibody (C-term).
|
||
Molecular Weight |
45424 Da
|
||
Host |
Rabbit
|
||
Species Reactivity |
Human
|
||
Immunogen |
267-295 aa
|
||
Target |
This I23O2 antibody is generated from rabbits immunized with a KLH conjugated synthetic peptide between 267-295 amino acids from the C-terminal region of human I23O2.
|
||
Isotype |
Rabbit Ig
|
||
Symbol |
INDOL1
|
||
GeneID |
|||
UniProt ID |
|||
Function |
Catalyzes the first and rate-limiting step in the kynurenine pathway of tryptophan catabolism.
|
||
Summary |
Along with the enzymes encoded by the INDO (MIM 147435)and TDO2 (MIM 191070) genes, the enzyme encoded by the INDOL1 genemetabolizes tryptophan in the kynurenine pathway (Ball et al., 2007[PubMed 17499941]).
|
||
Form |
Purified polyclonal antibody supplied in PBS with 0.09% (W/V) sodium azide. This antibody is purified through a protein A column, followed by peptide affinity purification. |
||
Storage & Stability |
Store at +4°C short term. For long-term storage, aliquot and store at -20°C or below. Stable for 12 months at -20°C. Avoid repeated freeze-thaw cycles.
|
||
Applications |
WB, IHC-P, E
|
||
Dilution |
IHC-P~~1:10~50
WB~~1:1000
|
||
Synonyms |
Indoleamine 2, 3-dioxygenase 2, IDO-2, 11311-, Indoleamine 2, 3-dioxygenase-like protein 1, Indoleamine-pyrrole 2, 3-dioxygenase-like protein 1, IDO2, INDOL1
|
||
Images |
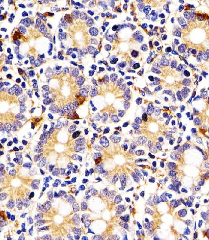
APR07910G staining I23O2 in Human small intestine tissue sections by Immunohistochemistry (IHC-P - paraformaldehyde-fixed, paraffin-embedded sections). Tissue was fixed with formaldehyde and blocked with 3% BSA for 0. 5 hour at room temperature; antigen retrieval was by heat mediation with a citrate buffer (pH6). Samples were incubated with primary antibody (1/25) for 1 hours at 37°C. A undiluted biotinylated goat polyvalent antibody was used as the secondary antibody.
Anti-I23O2 Antibody (C-term) at 1:4000 dilution + human brain lysate Lysates/proteins at 20 μg per lane. Secondary Goat Anti-Rabbit IgG, (H+L), Peroxidase conjugated at 1/10000 dilution. Predicted band size : 45 kDa Blocking/Dilution buffer: 5% NFDM/TBST.
Anti-I23O2 Antibody (C-term)at 1:2000 dilution + human kidney lysates Lysates/proteins at 20 μg per lane. Secondary Goat Anti-Rabbit IgG, (H+L), Peroxidase conjugated at 1/10000 dilution Predicted band size : 45 kDa Blocking/Dilution buffer: 5% NFDM/TBST. |
||
Specification |
|||
Quantity |
|
||
| Select | Brand | Catalog No. | Product Name | Pack Size | Type | Field of Research | Specification | Quantity | Price(USD) | |
| 1 | Leading Biology | APR03440G | ITGA11 Antibody (N-term) | 100 μl | Polyclonal Antibodies |
|
$495.00 | Add Ask | ||
| 2 | Leading Biology | APR04537G | CMIP Antibody (C-term) | 100 μl | Polyclonal Antibodies |
|
$495.00 | Add Ask | ||
| 3 | Leading Biology | APR12422G | Human H4 Histamine Receptor (extracellular) Antibody | 50 μl | Polyclonal Antibodies |
|
$695.00 | Add Ask | ||
| 4 | Leading Biology | APR03844G | UBE2W Antibody (C-term) | 100 μl | Polyclonal Antibodies |
|
$495.00 | Add Ask | ||
| 5 | Leading Biology | APR04349G | HECTD2 Antibody (N-term) | 100 μl | Polyclonal Antibodies |
|
$495.00 | Add Ask | ||
| 6 | Leading Biology | APR03502G | IGHG1 Antibody (Center) | 100 μl | Polyclonal Antibodies |
|
$495.00 | Add Ask |
Leading Biology Inc.
2600 Hilltop DR, Building G, B Suite C138
Richmond, CA, 94806
Tel: 1-661-524(LBI)-0262
Email: info@leadingbiology.com
Complete this form and click send to ask us a question, request a quote or simply say hello.

You have 0 item in your cart

You have 0 item in your inquiry list