> Antigen, Antibodies, ELISA, Western Blot > Primary Antibody > Polyclonal Antibodies > HSP90B1 Antibody (Center)Brand |
Leading Biology | Catalog Number |
APR07831G |
Product Type |
Polyclonal Antibodies | Field of Research |
|
Product Overview |
We constantly strive to ensure we provide our customers with the best antibodies. As a result of this work we offer this antibody in purified format.
We are in the process of updating our datasheets. If you have any questions regarding this update, please feel free to contact our technical support team.
This product is a high quality HSP90B1 antibody (Center).
|
||
Molecular Weight |
92469 Da
|
||
Cellular Localization |
Antigen Cellular Localization:
Endoplasmic reticulum lumen. Melanosome. Note=Identified by mass spectrometry in melanosome fractions from stage I to stage IV
|
||
Host |
Rabbit
|
||
Species Reactivity |
Human
|
||
Immunogen |
460-487 aa
|
||
Target |
This HSP90B1 antibody is generated from rabbits immunized with a KLH conjugated synthetic peptide between 460-487 amino acids from the Central region of human HSP90B1.
|
||
Isotype |
Rabbit Ig
|
||
Symbol |
GRP94, TRA1
|
||
GeneID |
|||
UniProt ID |
|||
Function |
Molecular chaperone that functions in the processing and transport of secreted proteins. When associated with CNPY3, required for proper folding of Toll-like receptors (By similarity). Functions in endoplasmic reticulum associated degradation (ERAD). Has ATPase activity.
|
||
Summary |
HSP90 proteins are highly conserved molecular chaperonesthat have key roles in signal transduction, protein folding,protein degradation, and morphologic evolution. HSP90 proteinsnormally associate with other cochaperones and play important rolesin folding newly synthesized proteins or stabilizing and refoldingdenatured proteins after stress. HSP90B1 is an endoplasmicreticulum HSP90 protein. Other HSP90 proteins are found in cytosol(see HSP90AA1; MIM 140571) and mitochondria (TRAP1; MIM 606219)(Chen et al., 2005 [PubMed 16269234]).
|
||
Form |
Purified polyclonal antibody supplied in PBS with 0.09% (W/V) sodium azide. This antibody is purified through a protein A column, followed by peptide affinity purification. |
||
Storage & Stability |
Store at +4°C short term. For long-term storage, aliquot and store at -20°C or below. Stable for 12 months at -20°C. Avoid repeated freeze-thaw cycles.
|
||
Applications |
IHC-P, WB, FC, E
|
||
Dilution |
WB~~1:1000
IHC-P~~1:10~50
FC~~1:10~50
|
||
Synonyms |
Endoplasmin, 94 kDa glucose-regulated protein, GRP-94, Heat shock protein 90 kDa beta member 1, Tumor rejection antigen 1, gp96 homolog, HSP90B1, GRP94, TRA1
|
||
Images |
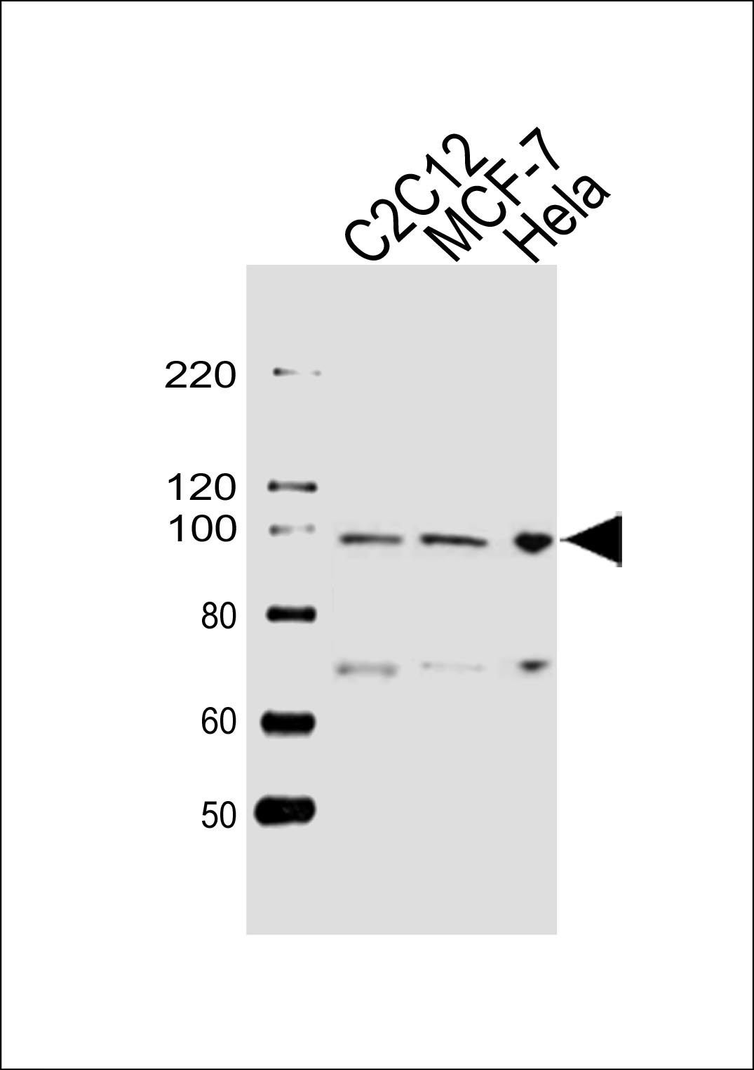
Western blot analysis of lysates from C2C12, MCF-7, Hela cell line (from left to right), using HSP90B1 Antibody (Center)( APR07831G). APR07831G was diluted at 1:1000 at each lane. A goat anti-rabbit IgG H&L(HRP) at 1:10000 dilution was used as the secondary antibody. Lysates at 20ug per lane.
HSP90B1 Antibody (Center) (Cat. APR07831G)immunohistochemistry analysis in formalin fixed and paraffin embedded human stomach tissue followed by peroxidase conjugation of the secondary antibody and DAB staining.This data demonstrates the use of HSP90B1 Antibody (Center) for immunohistochemistry. Clinical relevance has not been evaluated.
HSP90B1 Antibody (Center) (Cat. APR07831G) flow cytometric analysis of A549 cells (right histogram) compared to a negative control cell (left histogram).FITC-conjugated goat-anti-rabbit secondary antibodies were used for the analysis. |
||
Specification |
|||
Quantity |
|
||
| Select | Brand | Catalog No. | Product Name | Pack Size | Type | Field of Research | Specification | Quantity | Price(USD) | |
| 1 | Leading Biology | APR03440G | ITGA11 Antibody (N-term) | 100 μl | Polyclonal Antibodies |
|
$495.00 | Add Ask | ||
| 2 | Leading Biology | APR04537G | CMIP Antibody (C-term) | 100 μl | Polyclonal Antibodies |
|
$495.00 | Add Ask | ||
| 3 | Leading Biology | APR12422G | Human H4 Histamine Receptor (extracellular) Antibody | 50 μl | Polyclonal Antibodies |
|
$695.00 | Add Ask | ||
| 4 | Leading Biology | APR03844G | UBE2W Antibody (C-term) | 100 μl | Polyclonal Antibodies |
|
$495.00 | Add Ask | ||
| 5 | Leading Biology | APR04349G | HECTD2 Antibody (N-term) | 100 μl | Polyclonal Antibodies |
|
$495.00 | Add Ask | ||
| 6 | Leading Biology | APR03502G | IGHG1 Antibody (Center) | 100 μl | Polyclonal Antibodies |
|
$495.00 | Add Ask |
Leading Biology Inc.
2600 Hilltop DR, Building G, B Suite C138
Richmond, CA, 94806
Tel: 1-661-524(LBI)-0262
Email: info@leadingbiology.com
Complete this form and click send to ask us a question, request a quote or simply say hello.

You have 0 item in your cart

You have 0 item in your inquiry list