> Antigen, Antibodies, ELISA, Western Blot > Primary Antibody > Polyclonal Antibodies > SOCS4 Antibody (Center)Brand |
Leading Biology | Catalog Number |
AMM07932G |
Product Type |
Polyclonal Antibodies | Field of Research |
|
Product Overview |
We constantly strive to ensure we provide our customers with the best antibodies. As a result of this work we offer this antibody in purified format.
We are in the process of updating our datasheets. If you have any questions regarding this update, please feel free to contact our technical support team.
This product is a high quality SOCS4 antibody (Center).
|
||
Molecular Weight |
50623 Da
|
||
Host |
Rabbit
|
||
Species Reactivity |
Human
|
||
Immunogen |
227-254 aa
|
||
Target |
This SOCS4 antibody is generated from rabbits immunized with a KLH conjugated synthetic peptide between 227-254 amino acids from the Central region of human SOCS4.
|
||
Isotype |
Rabbit Ig
|
||
Symbol |
SOCS7
|
||
GeneID |
|||
UniProt ID |
|||
Function |
SOCS family proteins form part of a classical negative feedback system that regulates cytokine signal transduction. Substrate-recognition component of a SCF-like ECS (Elongin BC- CUL2/5-SOCS-box protein) E3 ubiquitin-protein ligase complex which mediates the ubiquitination and subsequent proteasomal degradation of target proteins. Inhibits EGF signaling by mediating the degradation of the Tyr-phosphorylated EGF receptor/EGFR.
|
||
Summary |
The protein encoded by this gene contains a SH2 domain anda SOCS BOX domain. The protein thus belongs to the suppressor ofcytokine signaling (SOCS), also known as STAT-induced STATinhibitor (SSI), protein family. SOCS family members are known tobe cytokine-inducible negative regulators of cytokine signaling.Two alternatively spliced transcript variants encoding the sameprotein have been found for this gene.
|
||
Form |
Purified polyclonal antibody supplied in PBS with 0.09% (W/V) sodium azide. This antibody is purified through a protein A column, followed by peptide affinity purification. |
||
Storage & Stability |
Store at +4°C short term. For long-term storage, aliquot and store at -20°C or below. Stable for 12 months at -20°C. Avoid repeated freeze-thaw cycles.
|
||
Applications |
WB, IHC-P, IF, E
|
||
Dilution |
WB~~1:1000
IHC-P~~1:10~50
IF~~1:10~50
|
||
Synonyms |
Suppressor of cytokine signaling 4, SOCS-4, Suppressor of cytokine signaling 7, SOCS-7, SOCS4, SOCS7
|
||
Images |
Western blot analysis of lysate from MCF-7 cell line,using SOCS4 Antibody (Center)(Cat. AMM07932G).AMM07932G was diluted at 1:1000 at each lane. A goat anti-rabbit IgG H&L(HRP) at 1:5000 dilution was used as the secondary antibody.Lysate at 35ug per lane.
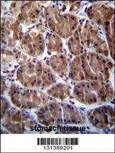
SOCS4 Antibody (Center) (Cat. AMM07932G)immunohistochemistry analysis in formalin fixed and paraffin embedded human stomach tissue followed by peroxidase conjugation of the secondary antibody and DAB staining.This data demonstrates the use of SOCS4 Antibody (Center) for immunohistochemistry. Clinical relevance has not been evaluated.
Confocal immunofluorescent analysis of SOCS4 Antibody (Center)( AMM07932G) with A2058 cell followed by Alexa Fluor 488-conjugated goat anti-rabbit lgG (green). Actin filaments have been labeled with Alexa Fluor 555 phalloidin (red).DAPI was used to stain the cell nuclear (blue). |
||
Specification |
|||
Quantity |
|
||
| Select | Brand | Catalog No. | Product Name | Pack Size | Type | Field of Research | Specification | Quantity | Price(USD) | |
| 1 | Leading Biology | APR03440G | ITGA11 Antibody (N-term) | 100 μl | Polyclonal Antibodies |
|
$495.00 | Add Ask | ||
| 2 | Leading Biology | APR04537G | CMIP Antibody (C-term) | 100 μl | Polyclonal Antibodies |
|
$495.00 | Add Ask | ||
| 3 | Leading Biology | APR12422G | Human H4 Histamine Receptor (extracellular) Antibody | 50 μl | Polyclonal Antibodies |
|
$695.00 | Add Ask | ||
| 4 | Leading Biology | APR03844G | UBE2W Antibody (C-term) | 100 μl | Polyclonal Antibodies |
|
$495.00 | Add Ask | ||
| 5 | Leading Biology | APR04349G | HECTD2 Antibody (N-term) | 100 μl | Polyclonal Antibodies |
|
$495.00 | Add Ask | ||
| 6 | Leading Biology | APR03502G | IGHG1 Antibody (Center) | 100 μl | Polyclonal Antibodies |
|
$495.00 | Add Ask |
Leading Biology Inc.
2600 Hilltop DR, Building G, B Suite C138
Richmond, CA, 94806
Tel: 1-661-524(LBI)-0262
Email: info@leadingbiology.com
Complete this form and click send to ask us a question, request a quote or simply say hello.

You have 0 item in your cart

You have 0 item in your inquiry list