> Antigen, Antibodies, ELISA, Western Blot > Primary Antibody > Polyclonal Antibodies > VAMP4 Antibody (Center)Brand |
Leading Biology | Catalog Number |
AMM08447G |
Product Type |
Polyclonal Antibodies | Field of Research |
|
Product Overview |
We constantly strive to ensure we provide our customers with the best antibodies. As a result of this work we offer this antibody in purified format.
We are in the process of updating our datasheets. If you have any questions regarding this update, please feel free to contact our technical support team.
This product is a high quality VAMP4 antibody (Center).
|
||
Molecular Weight |
16397 Da
|
||
Cellular Localization |
Antigen Cellular Localization:
Golgi apparatus, trans-Golgi network membrane; Single-pass type IV membrane protein. Note=Associated with trans Golgi network (TGN) and newly formed immature secretory granules (ISG). Not found on the mature secretory organelles
|
||
Host |
Rabbit
|
||
Species Reactivity |
Human, Mouse
|
||
Immunogen |
16-45 aa
|
||
Target |
This VAMP4 antibody is generated from rabbits immunized with a KLH conjugated synthetic peptide between 16-45 amino acids from the Central region of human VAMP4.
|
||
Isotype |
Rabbit Ig
|
||
GeneID |
|||
UniProt ID |
|||
Function |
Involved in the pathway that functions to remove an inhibitor (probably synaptotagmin-4) of calcium-triggered exocytosis during the maturation of secretory granules. May be a marker for this sorting pathway that is critical for remodeling the secretory response of granule.
|
||
Form |
Purified polyclonal antibody supplied in PBS with 0.09% (W/V) sodium azide. This antibody is purified through a protein A column, followed by peptide affinity purification. |
||
Storage & Stability |
Store at +4°C short term. For long-term storage, aliquot and store at -20°C or below. Stable for 12 months at -20°C. Avoid repeated freeze-thaw cycles.
|
||
Applications |
WB, IHC-P, E
|
||
Dilution |
WB~~1:1000
IHC-P~~1:10~50
|
||
Synonyms |
Vesicle-associated membrane protein 4, VAMP-4, VAMP4
|
||
Images |
VAMP4 Antibody (Center) (Cat. AMM08447G) western blot analysis in K562 cell line lysates (35ug/lane).This demonstrates the VAMP4 antibody detected the VAMP4 protein (arrow).
VAMP4 Antibody (Center) (Cat. AMM08447G) western blot analysis in mouse liver tissue lysates (35ug/lane).This demonstrates the VAMP4 antibody detected the VAMP4 protein (arrow).
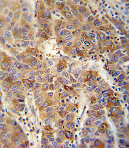
VAMP4 antibody (Center) (Cat. AMM08447G) immunohistochemistry analysis in formalin fixed and paraffin embedded human hepatocarcinoma followed by peroxidase conjugation of the secondary antibody and DAB staining. This data demonstrates the use of the VAMP4 antibody (Center) for immunohistochemistry. Clinical relevance has not been evaluated. |
||
Specification |
|||
Quantity |
|
||
| Select | Brand | Catalog No. | Product Name | Pack Size | Type | Field of Research | Specification | Quantity | Price(USD) | |
| 1 | Leading Biology | APR03440G | ITGA11 Antibody (N-term) | 100 μl | Polyclonal Antibodies |
|
$495.00 | Add Ask | ||
| 2 | Leading Biology | APR04537G | CMIP Antibody (C-term) | 100 μl | Polyclonal Antibodies |
|
$495.00 | Add Ask | ||
| 3 | Leading Biology | APR12422G | Human H4 Histamine Receptor (extracellular) Antibody | 50 μl | Polyclonal Antibodies |
|
$695.00 | Add Ask | ||
| 4 | Leading Biology | APR03844G | UBE2W Antibody (C-term) | 100 μl | Polyclonal Antibodies |
|
$495.00 | Add Ask | ||
| 5 | Leading Biology | APR04349G | HECTD2 Antibody (N-term) | 100 μl | Polyclonal Antibodies |
|
$495.00 | Add Ask | ||
| 6 | Leading Biology | APR03502G | IGHG1 Antibody (Center) | 100 μl | Polyclonal Antibodies |
|
$495.00 | Add Ask |
Leading Biology Inc.
2600 Hilltop DR, Building G, B Suite C138
Richmond, CA, 94806
Tel: 1-661-524(LBI)-0262
Email: info@leadingbiology.com
Complete this form and click send to ask us a question, request a quote or simply say hello.

You have 0 item in your cart

You have 0 item in your inquiry list