> Antigen, Antibodies, ELISA, Western Blot > Primary Antibody > Polyclonal Antibodies > MED23 AntibodyBrand |
Leading Biology | Catalog Number |
APR17350G |
Product Type |
Polyclonal Antibodies | Field of Research |
|
Product Overview |
We constantly strive to ensure we provide our customers with the best antibodies. As a result of this work we offer this antibody in purified format.
We are in the process of updating our datasheets. If you have any questions regarding this update, please feel free to contact our technical support team.
This product is a high quality MED23 antibody.
|
||
Molecular Weight |
156,101,54 KDa
|
||
Cellular Localization |
Antigen Cellular Localization:
Nucleus.
|
||
Host |
Rabbit
|
||
Species Reactivity |
Human, Mouse, Rat
|
||
Immunogen |
21-49 aa
|
||
Symbol |
ARC130, CRSP3, DRIP130, KIAA1216, SUR2
|
||
GeneID |
|||
UniProt ID |
|||
Function |
Required for transcriptional activation subsequent to the assembly of the preinitiation complex (By similarity). Component of the Mediator complex, a coactivator involved in the regulated transcription of nearly all RNA polymerase II-dependent genes. Mediator functions as a bridge to convey information from gene-specific regulatory proteins to the basal RNA polymerase II transcription machinery. Mediator is recruited to promoters by direct interactions with regulatory proteins and serves as a scaffold for the assembly of a functional preinitiation complex with RNA polymerase II and the general transcription factors. Required for transcriptional activation by adenovirus E1A protein. Required for ELK1-dependent transcriptional activation in response to activated Ras signaling.
|
||
Summary |
Required for transcriptional activation subsequent to the assembly of the preinitiation complex (By similarity). Component of the Mediator complex, a coactivator involved in the regulated transcription of nearly all RNA polymerase II-dependent genes. Mediator functions as a bridge to convey information from gene-specific regulatory proteins to the basal RNA polymerase II transcription machinery. Mediator is recruited to promoters by direct interactions with regulatory proteins and serves as a scaffold for the assembly of a functional preinitiation complex with RNA polymerase II and the general transcription factors. Required for transcriptional activation by adenovirus E1A protein. Required for ELK1-dependent transcriptional activation in response to activated Ras signaling.
|
||
Form |
Rabbit IgG in phosphate buffered saline (without Mg2+ and Ca2+), pH 7.4, 150mM NaCl, 0.02% sodium azide and 50% glycerol. |
||
Storage & Stability |
Store at +4°C short term. For long-term storage, aliquot and store at -20°C or below. Stable for 12 months at -20°C. Avoid repeated freeze-thaw cycles.
|
||
Applications |
WB, IF, IHC
|
||
Dilution |
WB~~ 1:1000
IF~~1:100
IHC~~1:50~100
|
||
Synonyms |
Mediator of RNA polymerase II transcription subunit 23, Activator-recruited cofactor 130 kDa component, ARC130, Cofactor required for Sp1 transcriptional activation subunit 3, CRSP complex subunit 3, Mediator complex subunit 23, Protein sur-2 homolog, hSur-2, Transcriptional coactivator CRSP130, Vitamin D3 receptor-interacting protein complex 130 kDa component, DRIP130, MED23, ARC130, CRSP3, DRIP130, KIAA1216, SUR2
|
||
Images |
Western blot analysis of lysate from HeLa cell line,using MED23 Antibody, was diluted at 1:1000. A goat anti-rabbit IgG H&L(HRP) at 1:5000 dilution was used as the secondary antibody.Lysate at 35ug.
Immunofluorescence analysis of A549 cells, using MED23 antibody.
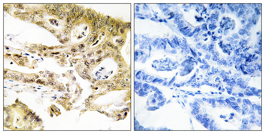
Immunohistochemistry analysis of paraffin-embedded human colon carcinoma tissue, using MED23 antibody. |
||
Specification |
|||
Quantity |
|
||
| Select | Brand | Catalog No. | Product Name | Pack Size | Type | Field of Research | Specification | Quantity | Price(USD) | |
| 1 | Leading Biology | APR03440G | ITGA11 Antibody (N-term) | 100 μl | Polyclonal Antibodies |
|
$495.00 | Add Ask | ||
| 2 | Leading Biology | APR04537G | CMIP Antibody (C-term) | 100 μl | Polyclonal Antibodies |
|
$495.00 | Add Ask | ||
| 3 | Leading Biology | APR12422G | Human H4 Histamine Receptor (extracellular) Antibody | 50 μl | Polyclonal Antibodies |
|
$695.00 | Add Ask | ||
| 4 | Leading Biology | APR03844G | UBE2W Antibody (C-term) | 100 μl | Polyclonal Antibodies |
|
$495.00 | Add Ask | ||
| 5 | Leading Biology | APR04349G | HECTD2 Antibody (N-term) | 100 μl | Polyclonal Antibodies |
|
$495.00 | Add Ask | ||
| 6 | Leading Biology | APR03502G | IGHG1 Antibody (Center) | 100 μl | Polyclonal Antibodies |
|
$495.00 | Add Ask |
Leading Biology Inc.
2600 Hilltop DR, Building G, B Suite C138
Richmond, CA, 94806
Tel: 1-661-524(LBI)-0262
Email: info@leadingbiology.com
Complete this form and click send to ask us a question, request a quote or simply say hello.

You have 0 item in your cart

You have 0 item in your inquiry list