> Antigen, Antibodies, ELISA, Western Blot > Primary Antibody > Polyclonal Antibodies > FOXD3 AntibodyBrand |
Leading Biology | Catalog Number |
APR11944G |
Product Type |
Polyclonal Antibodies | Field of Research |
|
Product Overview |
We constantly strive to ensure we provide our customers with the best antibodies. As a result of this work we offer this antibody in purified format.
We are in the process of updating our datasheets. If you have any questions regarding this update, please feel free to contact our technical support team.
This product is a high quality FOXD3 antibody.
|
||
Molecular Weight |
48 KDa
|
||
Cellular Localization |
Antigen Cellular Localization:
Nucleus.
|
||
Host |
Rabbit
|
||
Species Reactivity |
Human, Mouse
|
||
Immunogen |
230-258 aa
|
||
Symbol |
HFH2
|
||
GeneID |
|||
UniProt ID |
|||
Function |
Binds to the consensus sequence 5'-A[AT]T[AG]TTTGTTT-3' and acts as a transcriptional repressor. Also acts as a transcriptional activator. Promotes development of neural crest cells from neural tube progenitors. Restricts neural progenitor cells to the neural crest lineage while suppressing interneuron differentiation. Required for maintenance of pluripotent cells in the pre-implantation and peri-implantation stages of embryogenesis.
|
||
Summary |
Binds to the consensus sequence 5'-A[AT]T[AG]TTTGTTT-3' and acts as a transcriptional repressor. Also acts as a transcriptional activator. Promotes development of neural crest cells from neural tube progenitors. Restricts neural progenitor cells to the neural crest lineage while suppressing interneuron differentiation. Required for maintenance of pluripotent cells in the pre-implantation and peri-implantation stages of embryogenesis.
|
||
Form |
Rabbit IgG in phosphate buffered saline (without Mg2+ and Ca2+), pH 7.4, 150mM NaCl, 0.02% sodium azide and 50% glycerol. |
||
Storage & Stability |
Store at +4°C short term. For long-term storage, aliquot and store at -20°C or below. Stable for 12 months at -20°C. Avoid repeated freeze-thaw cycles.
|
||
Applications |
WB, IHC
|
||
Dilution |
WB~~ 1:1000
IHC~~1:50~100
|
||
Synonyms |
Forkhead box protein D3, HNF3/FH transcription factor genesis, FOXD3, HFH2
|
||
Images |
Western blot analysis of lysate from Ramos cell line,using FOXD3 Antibody, was diluted at 1:1000. A goat anti-rabbit IgG H&L(HRP) at 1:5000 dilution was used as the secondary antibody.Lysate at 35ug.
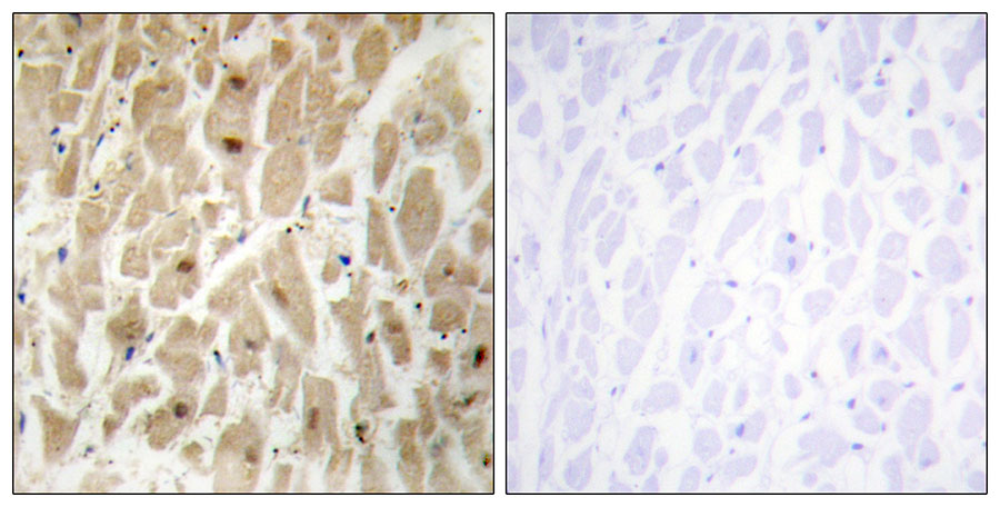
Immunohistochemistry analysis of paraffin-embedded human heart tissue using FOXD3 antibody. |
||
Specification |
|||
Quantity |
|
||
| Select | Brand | Catalog No. | Product Name | Pack Size | Type | Field of Research | Specification | Quantity | Price(USD) | |
| 1 | Leading Biology | APR03440G | ITGA11 Antibody (N-term) | 100 μl | Polyclonal Antibodies |
|
$495.00 | Add Ask | ||
| 2 | Leading Biology | APR04537G | CMIP Antibody (C-term) | 100 μl | Polyclonal Antibodies |
|
$495.00 | Add Ask | ||
| 3 | Leading Biology | APR12422G | Human H4 Histamine Receptor (extracellular) Antibody | 50 μl | Polyclonal Antibodies |
|
$695.00 | Add Ask | ||
| 4 | Leading Biology | APR03844G | UBE2W Antibody (C-term) | 100 μl | Polyclonal Antibodies |
|
$495.00 | Add Ask | ||
| 5 | Leading Biology | APR04349G | HECTD2 Antibody (N-term) | 100 μl | Polyclonal Antibodies |
|
$495.00 | Add Ask | ||
| 6 | Leading Biology | APR03502G | IGHG1 Antibody (Center) | 100 μl | Polyclonal Antibodies |
|
$495.00 | Add Ask |
Leading Biology Inc.
2600 Hilltop DR, Building G, B Suite C138
Richmond, CA, 94806
Tel: 1-661-524(LBI)-0262
Email: info@leadingbiology.com
Complete this form and click send to ask us a question, request a quote or simply say hello.

You have 0 item in your cart

You have 0 item in your inquiry list