> Antigen, Antibodies, ELISA, Western Blot > Primary Antibody > Polyclonal Antibodies > FGFRL1 Antibody (N-term)Brand |
Leading Biology | Catalog Number |
APR15978G |
Product Type |
Polyclonal Antibodies | Field of Research |
|
Product Overview |
We constantly strive to ensure we provide our customers with the best antibodies. As a result of this work we offer this antibody in purified format.
We are in the process of updating our datasheets. If you have any questions regarding this update, please feel free to contact our technical support team.
This product is a high quality FGFRL1 antibody (N-term).
|
||
Molecular Weight |
54537 Da
|
||
Cellular Localization |
Antigen Cellular Localization:
Membrane; Single-pass type I membrane protein Note=Predominantly localized in the plasma membrane but also detected in the Golgi and in secretory vesicles
|
||
Host |
Rabbit
|
||
Species Reactivity |
Human
|
||
Immunogen |
131-160 aa
|
||
Target |
This FGFRL1 antibody is generated from rabbits immunized with a KLH conjugated synthetic peptide between 131-160 amino acids from the N-terminal region of human FGFRL1.
|
||
Isotype |
Rabbit Ig
|
||
Symbol |
FGFR5, FHFR
|
||
GeneID |
|||
UniProt ID |
|||
Function |
Has a negative effect on cell proliferation.
|
||
Summary |
The protein encoded by this gene is a member of thefibroblast growth factor receptor (FGFR) family, where amino acidsequence is highly conserved between members and throughoutevolution. FGFR family members differ from one another in theirligand affinities and tissue distribution. A full-lengthrepresentative protein would consist of an extracellular region,composed of three immunoglobulin-like domains, a single hydrophobicmembrane-spanning segment and a cytoplasmic tyrosine kinase domain.The extracellular portion of the protein interacts with fibroblastgrowth factors, setting in motion a cascade of downstream signals,ultimately influencing mitogenesis and differentiation. A markeddifference between this gene product and the other family membersis its lack of a cytoplasmic tyrosine kinase domain. The result isa transmembrane receptor that could interact with other familymembers and potentially inhibit signaling. Multiple alternativelyspliced transcript variants encoding the same isoform have beenfound for this gene.
|
||
Form |
Purified polyclonal antibody supplied in PBS with 0.09% (W/V) sodium azide. This antibody is purified through a protein A column, followed by peptide affinity purification. |
||
Storage & Stability |
Store at +4°C short term. For long-term storage, aliquot and store at -20°C or below. Stable for 12 months at -20°C. Avoid repeated freeze-thaw cycles.
|
||
Applications |
IHC-P, WB, E
|
||
Dilution |
IHC-P~~1:10~50
WB~~1:1000
|
||
Synonyms |
Fibroblast growth factor receptor-like 1, FGF receptor-like protein 1, FGF homologous factor receptor, FGFR-like protein, Fibroblast growth factor receptor 5, FGFR-5, FGFRL1, FGFR5, FHFR
|
||
Images |
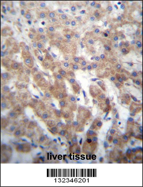
FGFRL1 Antibody (N-term) (Cat. APR15978G)immunohistochemistry analysis in formalin fixed and paraffin embedded human liver tissue followed by peroxidase conjugation of the secondary antibody and DAB staining.This data demonstrates the use of FGFRL1 Antibody (N-term) for immunohistochemistry. Clinical relevance has not been evaluated.
FGFRL1 Antibody (N-term) (Cat. APR15978G) western blot analysis in A549,HepG2,Y79 cell line lysates (35ug/lane).This demonstrates the FGFRL1 antibody detected the FGFRL1 protein (arrow). |
||
Specification |
|||
Quantity |
|
||
| Select | Brand | Catalog No. | Product Name | Pack Size | Type | Field of Research | Specification | Quantity | Price(USD) | |
| 1 | Leading Biology | APR03440G | ITGA11 Antibody (N-term) | 100 μl | Polyclonal Antibodies |
|
$495.00 | Add Ask | ||
| 2 | Leading Biology | APR04537G | CMIP Antibody (C-term) | 100 μl | Polyclonal Antibodies |
|
$495.00 | Add Ask | ||
| 3 | Leading Biology | APR12422G | Human H4 Histamine Receptor (extracellular) Antibody | 50 μl | Polyclonal Antibodies |
|
$695.00 | Add Ask | ||
| 4 | Leading Biology | APR03844G | UBE2W Antibody (C-term) | 100 μl | Polyclonal Antibodies |
|
$495.00 | Add Ask | ||
| 5 | Leading Biology | APR04349G | HECTD2 Antibody (N-term) | 100 μl | Polyclonal Antibodies |
|
$495.00 | Add Ask | ||
| 6 | Leading Biology | APR03502G | IGHG1 Antibody (Center) | 100 μl | Polyclonal Antibodies |
|
$495.00 | Add Ask |
Leading Biology Inc.
2600 Hilltop DR, Building G, B Suite C138
Richmond, CA, 94806
Tel: 1-661-524(LBI)-0262
Email: info@leadingbiology.com
Complete this form and click send to ask us a question, request a quote or simply say hello.

You have 0 item in your cart

You have 0 item in your inquiry list