> Antigen, Antibodies, ELISA, Western Blot > Primary Antibody > Polyclonal Antibodies > CTTNBP2NL Antibody (N-term)Brand |
Leading Biology | Catalog Number |
APR15642G |
Product Type |
Polyclonal Antibodies | Field of Research |
|
Product Overview |
We constantly strive to ensure we provide our customers with the best antibodies. As a result of this work we offer this antibody in purified format.
We are in the process of updating our datasheets. If you have any questions regarding this update, please feel free to contact our technical support team.
This product is a high quality CTTNBP2NL antibody (N-term).
|
||
Molecular Weight |
70158 Da
|
||
Cellular Localization |
Antigen Cellular Localization:
Cytoplasm, cytoskeleton. Note=Colocalizes with stress fibers.
|
||
Host |
Rabbit
|
||
Species Reactivity |
Human
|
||
Immunogen |
135-164 aa
|
||
Target |
This CTTNBP2NL antibody is generated from rabbits immunized with a KLH conjugated synthetic peptide between 135-164 amino acids from the N-terminal region of human CTTNBP2NL.
|
||
Isotype |
Rabbit Ig
|
||
Symbol |
KIAA1433
|
||
GeneID |
|||
UniProt ID |
|||
Summary |
CTTNBP2NL may bind to cortactin, which is a monomeric protein located in the cytoplasm of cells that can be activated by external stimuli to promote polymerization and rearrangement of the actin cytoskeleton, especially the actin cortex around the cellular periphery. The striatin-interacting phosphatase and kinase (STRIPAK) complex establishes mutually exclusive interactions with either CTTNBP2 or CTTNBP2NL.
|
||
Form |
Purified polyclonal antibody supplied in PBS with 0.09% (W/V) sodium azide. This antibody is purified through a protein A column, followed by peptide affinity purification. |
||
Storage & Stability |
Store at +4°C short term. For long-term storage, aliquot and store at -20°C or below. Stable for 12 months at -20°C. Avoid repeated freeze-thaw cycles.
|
||
Applications |
WB, IHC-P, E
|
||
Dilution |
WB~~1:1000
IHC-P~~1:10~50
|
||
Synonyms |
CTTNBP2 N-terminal-like protein, CTTNBP2NL, KIAA1433
|
||
Images |
Anti-CTTNBP2NL Antibody (N-term) at 1:1000 dilution + ZR-75-1 whole cell lysate Lysates/proteins at 20 μg per lane. Secondary Goat Anti-Rabbit IgG, (H+L), Peroxidase conjugated at 1/10000 dilution. Predicted band size : 70 kDa Blocking/Dilution buffer: 5% NFDM/TBST.
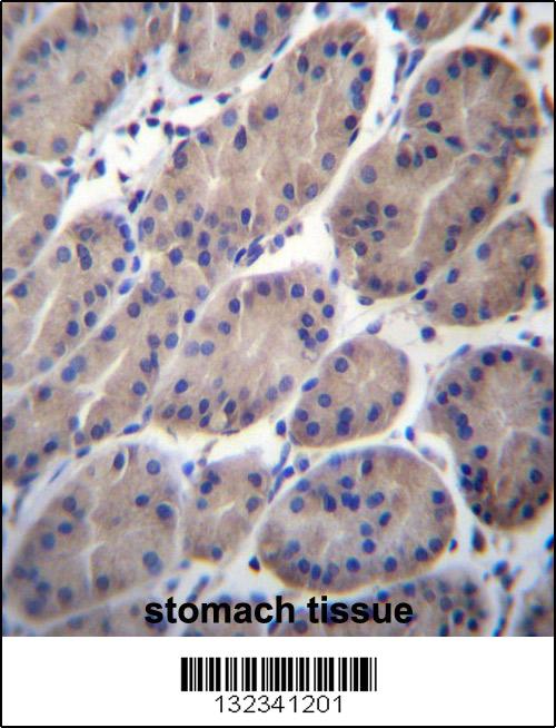
CTTNBP2NL Antibody (N-term) (Cat. APR15642G)immunohistochemistry analysis in formalin fixed and paraffin embedded human stomach tissue followed by peroxidase conjugation of the secondary antibody and DAB staining.This data demonstrates the use of CTTNBP2NL Antibody (N-term) for immunohistochemistry. Clinical relevance has not been evaluated.
CTTNBP2NL Antibody (N-term) (Cat. APR15642G) western blot analysis in MDA-MB453,ZR-75-1,A549 cell line lysates (35ug/lane).This demonstrates the CTTNBP2NL antibody detected the CTTNBP2NL protein (arrow). |
||
Specification |
|||
Quantity |
|
||
| Select | Brand | Catalog No. | Product Name | Pack Size | Type | Field of Research | Specification | Quantity | Price(USD) | |
| 1 | Leading Biology | APR03440G | ITGA11 Antibody (N-term) | 100 μl | Polyclonal Antibodies |
|
$495.00 | Add Ask | ||
| 2 | Leading Biology | APR04537G | CMIP Antibody (C-term) | 100 μl | Polyclonal Antibodies |
|
$495.00 | Add Ask | ||
| 3 | Leading Biology | APR12422G | Human H4 Histamine Receptor (extracellular) Antibody | 50 μl | Polyclonal Antibodies |
|
$695.00 | Add Ask | ||
| 4 | Leading Biology | APR03844G | UBE2W Antibody (C-term) | 100 μl | Polyclonal Antibodies |
|
$495.00 | Add Ask | ||
| 5 | Leading Biology | APR04349G | HECTD2 Antibody (N-term) | 100 μl | Polyclonal Antibodies |
|
$495.00 | Add Ask | ||
| 6 | Leading Biology | APR03502G | IGHG1 Antibody (Center) | 100 μl | Polyclonal Antibodies |
|
$495.00 | Add Ask |
Leading Biology Inc.
2600 Hilltop DR, Building G, B Suite C138
Richmond, CA, 94806
Tel: 1-661-524(LBI)-0262
Email: info@leadingbiology.com
Complete this form and click send to ask us a question, request a quote or simply say hello.

You have 0 item in your cart

You have 0 item in your inquiry list