> Antigen, Antibodies, ELISA, Western Blot > Primary Antibody > Polyclonal Antibodies > GIPR Antibody (N-term)Brand |
Leading Biology | Catalog Number |
APR14080G |
Product Type |
Polyclonal Antibodies | Field of Research |
|
Product Overview |
We constantly strive to ensure we provide our customers with the best antibodies. As a result of this work we offer this antibody in purified format.
We are in the process of updating our datasheets. If you have any questions regarding this update, please feel free to contact our technical support team.
This product is a high quality GIPR antibody (N-term).
|
||
Molecular Weight |
53157 Da
|
||
Cellular Localization |
Antigen Cellular Localization:
Cell membrane; Multi-pass membrane protein.
|
||
Host |
Rabbit
|
||
Species Reactivity |
Human
|
||
Immunogen |
7-38 aa
|
||
Target |
This GIPR antibody is generated from rabbits immunized with a KLH conjugated synthetic peptide between 7-38 amino acids from the N-terminal region of human GIPR.
|
||
Isotype |
Rabbit Ig
|
||
GeneID |
|||
UniProt ID |
|||
Function |
This is a receptor for GIP. The activity of this receptor is mediated by G proteins which activate adenylyl cyclase.
|
||
Summary |
GIPR also called glucose-dependent insulinotropic polypeptide, is a 42-amino acid polypeptide synthesized by K cells of the duodenum and small intestine. This protein was originally identified as an activity in gut extracts that inhibited gastric acid secretion and gastrin release, but subsequently was demonstrated to stimulate insulin release potently in the presence of elevated glucose. The insulinotropic effect on pancreatic islet beta-cells was then recognized to be the principal physiologic action of GIP. Together with glucagon-like peptide-1, GIP is largely responsible for the secretion of insulin after eating. The protein is involved in several other facets of the anabolic response.
|
||
Form |
Purified polyclonal antibody supplied in PBS with 0.09% (W/V) sodium azide. This antibody is prepared by Saturated Ammonium Sulfate (SAS) precipitation followed by dialysis against PBS. |
||
Storage & Stability |
Store at +4°C short term. For long-term storage, aliquot and store at -20°C or below. Stable for 12 months at -20°C. Avoid repeated freeze-thaw cycles.
|
||
Applications |
WB, IHC-P, FC, E
|
||
Dilution |
WB~~1:1000
IHC-P~~1:10~50
FC~~1:10~50
|
||
Synonyms |
Gastric inhibitory polypeptide receptor, GIP-R, Glucose-dependent insulinotropic polypeptide receptor, GIPR
|
||
Images |
Western blot analysis of GIPR antibody (N-term) (Cat. APR14080G) in HL60 cell line lysates (35ug/lane). GIPR (arrow) was detected using the purified Pab.
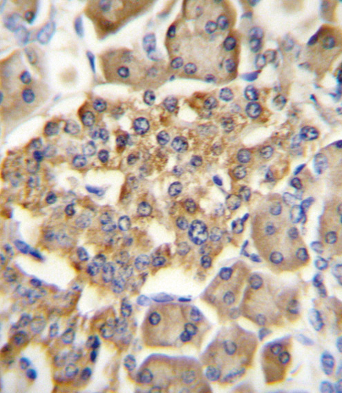
GIPR Antibody (N-term) (Cat. AP7495A)immunohistochemistry analysis in formalin fixed and paraffin embedded human pancreas tissue followed by peroxidase conjugation of the secondary antibody and DAB staining.This data demonstrates the use of GIPR Antibody (N-term) for immunohistochemistry. Clinical relevance has not been evaluated.
GIPR Antibody (Center) (Cat. APR14080G) flow cytometric analysis of MDA-MB231 cells (right histogram) compared to a negative control cell (left histogram).FITC-conjugated goat-anti-rabbit secondary antibodies were used for the analysis. |
||
Specification |
|||
Quantity |
|
||
| Select | Brand | Catalog No. | Product Name | Pack Size | Type | Field of Research | Specification | Quantity | Price(USD) | |
| 1 | Leading Biology | APR03440G | ITGA11 Antibody (N-term) | 100 μl | Polyclonal Antibodies |
|
$495.00 | Add Ask | ||
| 2 | Leading Biology | APR04537G | CMIP Antibody (C-term) | 100 μl | Polyclonal Antibodies |
|
$495.00 | Add Ask | ||
| 3 | Leading Biology | APR12422G | Human H4 Histamine Receptor (extracellular) Antibody | 50 μl | Polyclonal Antibodies |
|
$695.00 | Add Ask | ||
| 4 | Leading Biology | APR03844G | UBE2W Antibody (C-term) | 100 μl | Polyclonal Antibodies |
|
$495.00 | Add Ask | ||
| 5 | Leading Biology | APR04349G | HECTD2 Antibody (N-term) | 100 μl | Polyclonal Antibodies |
|
$495.00 | Add Ask | ||
| 6 | Leading Biology | APR03502G | IGHG1 Antibody (Center) | 100 μl | Polyclonal Antibodies |
|
$495.00 | Add Ask |
Leading Biology Inc.
2600 Hilltop DR, Building G, B Suite C138
Richmond, CA, 94806
Tel: 1-661-524(LBI)-0262
Email: info@leadingbiology.com
Complete this form and click send to ask us a question, request a quote or simply say hello.

You have 0 item in your cart

You have 0 item in your inquiry list