> Antigen, Antibodies, ELISA, Western Blot > Primary Antibody > Polyclonal Antibodies > GRK6 AntibodyBrand |
Leading Biology | Catalog Number |
APR06866G |
Product Type |
Polyclonal Antibodies | Field of Research |
|
Product Overview |
We constantly strive to ensure we provide our customers with the best antibodies. As a result of this work we offer this antibody in purified format.
We are in the process of updating our datasheets. If you have any questions regarding this update, please feel free to contact our technical support team.
This product is a high quality GRK6 Antibody.
|
||
Molecular Weight |
Predicted: 63 kDa Observed: 63 kDa
|
||
Cellular Localization |
Antigen Cellular Localization:
Membrane; Lipid-anchor.
|
||
Host |
Rabbit
|
||
Species Reactivity |
Human, Mouse, Rat
|
||
Target |
GRK6; GRK6 antibody is human, mouse and rat reactive. Multiple isoforms of GRK6 are known to exist. This antibody is predicted to not cross-react with other members of the GRK protein family.
|
||
Isotype |
IgG
|
||
Symbol |
GPRK6
|
||
GeneID |
|||
UniProt ID |
|||
Function |
Specifically phosphorylates the activated forms of G protein-coupled receptors. Such receptor phosphorylation initiates beta-arrestin-mediated receptor desensitization, internalization, and signaling events leading to their desensitization. Seems to be involved in the desensitization of D2-like dopamine receptors in striatum and chemokine receptor CXCR4 which is critical for CXCL12-induced cell chemotaxis (By similarity). Phosphorylates rhodopsin (RHO) (in vitro) and a non G-protein-coupled receptor: LRP6 during Wnt signaling (in vitro).
|
||
Summary |
The G protein–coupled receptor kinases (GRKs) are a versatile family of kinases that play a critical role in cancer metastasis through their regulation of G-protein coupled receptors (GPCRs) involved in growth factor mediated cell migration (1,2). Phosphorylation of receptors by GRKs appears to be strictly dependent on the receptor being in its agonist-activated state (1). GRK6 is one of 7 members of the GRK serine/threonine kinase subfamily, which has been shown to modulate the Wnt signaling pathway via phosphorylation of LRP6 (3,4), and the insulin-like growth factor signaling pathway (4). GRK6 may also play a role in immune system function (5).
|
||
Storage & Stability |
Store at +4°C short term. For long-term storage, aliquot and store at -20°C or below. Stable for 12 months at -20°C. Avoid repeated freeze-thaw cycles.
|
||
Applications |
WB, IHC-P, IF, E
|
||
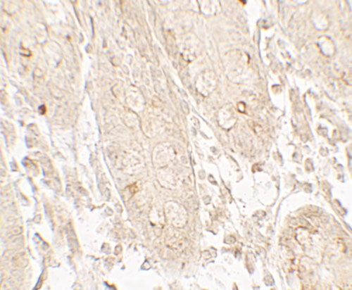
Images |
Western blot analysis of GRK6 in rat small intestine tissue lysate with GRK6 antibody at 1 μg/ml.
Immunohistochemistry of GRK6 in human small intestine tissue with GRK6 antibody at 5 μg/mL.
Immunofluorescence of GRK6 in human small intestine tissue with GRK6 antibody at 20 μg/mL. |
||
Specification |
|||
Quantity |
|
||
| Select | Brand | Catalog No. | Product Name | Pack Size | Type | Field of Research | Specification | Quantity | Price(USD) | |
| 1 | Leading Biology | APR03440G | ITGA11 Antibody (N-term) | 100 μl | Polyclonal Antibodies |
|
$495.00 | Add Ask | ||
| 2 | Leading Biology | APR04537G | CMIP Antibody (C-term) | 100 μl | Polyclonal Antibodies |
|
$495.00 | Add Ask | ||
| 3 | Leading Biology | APR12422G | Human H4 Histamine Receptor (extracellular) Antibody | 50 μl | Polyclonal Antibodies |
|
$695.00 | Add Ask | ||
| 4 | Leading Biology | APR03844G | UBE2W Antibody (C-term) | 100 μl | Polyclonal Antibodies |
|
$495.00 | Add Ask | ||
| 5 | Leading Biology | APR04349G | HECTD2 Antibody (N-term) | 100 μl | Polyclonal Antibodies |
|
$495.00 | Add Ask | ||
| 6 | Leading Biology | APR03502G | IGHG1 Antibody (Center) | 100 μl | Polyclonal Antibodies |
|
$495.00 | Add Ask |
Leading Biology Inc.
2600 Hilltop DR, Building G, B Suite C138
Richmond, CA, 94806
Tel: 1-661-524(LBI)-0262
Email: info@leadingbiology.com
Complete this form and click send to ask us a question, request a quote or simply say hello.

You have 0 item in your cart

You have 0 item in your inquiry list