> Antigen, Antibodies, ELISA, Western Blot > Primary Antibody > Polyclonal Antibodies > GLIPR1L2 AntibodyBrand |
Leading Biology | Catalog Number |
APR06865G |
Product Type |
Polyclonal Antibodies | Field of Research |
|
Product Overview |
We constantly strive to ensure we provide our customers with the best antibodies. As a result of this work we offer this antibody in purified format.
We are in the process of updating our datasheets. If you have any questions regarding this update, please feel free to contact our technical support team.
This product is a high quality GLIPR1L2 Antibody.
|
||
Molecular Weight |
Predicted: 28, 31, 38 kDa Observed: 28 kDa
|
||
Cellular Localization |
Antigen Cellular Localization:
Membrane; Single-pass membrane protein
|
||
Host |
Rabbit
|
||
Species Reactivity |
Human
|
||
Target |
GLIPR1L2; GLIPR1L2 antibody is human specific. At least two isoforms of GLIPR1L2 are known to exist; this antibody will detect both isoforms. This antibody is predicted to not cross-react with other GLIPR or GLIPR-like proteins.
|
||
Isotype |
IgG
|
||
GeneID |
|||
UniProt ID |
|||
Summary |
The GLIPR1-like 2 protein (GLIPR1L2) gene is part of a p53 target gene cluster that includes the related proteins GLIPR1 and GLIPR1L2 (2). GLIPR1L2 is similar to both the pathogenesis-related protein (PR) superfamily and the cysteine-rich secretory protein (CRISP) family (1). GLIPR1 is a tumor suppressor whose expression is regulated by p53 (3). Deletions of the GLIPR1/GLIPR1L1/GLIPR1L2 gene cluster have been observed in some multiple myeloma samples, suggesting that these proteins may also be involved in the pathogenesis of multiple myeloma (4).
|
||
Storage & Stability |
Store at +4°C short term. For long-term storage, aliquot and store at -20°C or below. Stable for 12 months at -20°C. Avoid repeated freeze-thaw cycles.
|
||
Applications |
WB, IHC-P, IF, E
|
||
Images |
Western blot analysis of GLIPR1L2 in human testis tissue lysate with GLIPR1L2 antibody at 1 μg/ml in (A) the absence and (B) the presence of blocking peptide.
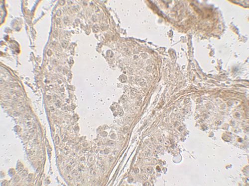
Immunohistochemistry of GLIPR1L2 in human testis tissue with GLIPR1L2 antibody at 5 μg/mL.
Immunofluorescence of GLIPR1L2 in human testis tissue with GLIPR1L2 antibody at 20 μg/mL. |
||
Specification |
|||
Quantity |
|
||
| Select | Brand | Catalog No. | Product Name | Pack Size | Type | Field of Research | Specification | Quantity | Price(USD) | |
| 1 | Leading Biology | APR03440G | ITGA11 Antibody (N-term) | 100 μl | Polyclonal Antibodies |
|
$495.00 | Add Ask | ||
| 2 | Leading Biology | APR04537G | CMIP Antibody (C-term) | 100 μl | Polyclonal Antibodies |
|
$495.00 | Add Ask | ||
| 3 | Leading Biology | APR12422G | Human H4 Histamine Receptor (extracellular) Antibody | 50 μl | Polyclonal Antibodies |
|
$695.00 | Add Ask | ||
| 4 | Leading Biology | APR03844G | UBE2W Antibody (C-term) | 100 μl | Polyclonal Antibodies |
|
$495.00 | Add Ask | ||
| 5 | Leading Biology | APR04349G | HECTD2 Antibody (N-term) | 100 μl | Polyclonal Antibodies |
|
$495.00 | Add Ask | ||
| 6 | Leading Biology | APR03502G | IGHG1 Antibody (Center) | 100 μl | Polyclonal Antibodies |
|
$495.00 | Add Ask |
Leading Biology Inc.
2600 Hilltop DR, Building G, B Suite C138
Richmond, CA, 94806
Tel: 1-661-524(LBI)-0262
Email: info@leadingbiology.com
Complete this form and click send to ask us a question, request a quote or simply say hello.

You have 0 item in your cart

You have 0 item in your inquiry list