> Antigen, Antibodies, ELISA, Western Blot > Primary Antibody > Polyclonal Antibodies > IL-1F10 AntibodyBrand |
Leading Biology | Catalog Number |
APR06849G |
Product Type |
Polyclonal Antibodies | Field of Research |
|
Product Overview |
We constantly strive to ensure we provide our customers with the best antibodies. As a result of this work we offer this antibody in purified format.
We are in the process of updating our datasheets. If you have any questions regarding this update, please feel free to contact our technical support team.
This product is a high quality IL-1F10 Antibody.
|
||
Molecular Weight |
Predicted: 17 kDa Observed: 20 kDa
|
||
Cellular Localization |
Antigen Cellular Localization:
Secreted.
|
||
Host |
Rabbit
|
||
Species Reactivity |
Human
|
||
Target |
IL1F10; IL-1F10 antibody is human, mouse and rat reactive. Two isoforms of IL-1F10 exist.
|
||
Isotype |
IgG
|
||
Symbol |
FIL1T, IL1HY2, IL38
|
||
GeneID |
|||
UniProt ID |
|||
Function |
Cytokine with immunomodulatory activity. Alone, does not induce cytokine production, but reduces IL22 and IL17A production by T-cells in response to heat-killed Candida albicans. Reduces IL36G-induced production of IL8 by peripheral blood mononuclear cells. Increases IL6 production by dendritic cells stimulated by bacterial lipopolysaccharides (LPS). Ligand for IL-36R/IL1RL2.
|
||
Summary |
The cytokine IL-1 is responsible for initiating a variety of activities through the activation of transcription factors, NF-kappa B and AP-1, thereby promoting host response to injury or infection (1). IL-1F10 (Interleukin-1 family member 10), also known as FIL1T, IL1HY2 or FKSG75, is highly expressed in the skin, spleen and proliferating B-cells of the tonsil (2). IL-1F10 binds soluble IL-1 receptor type 1, and is one of nine Interleukin 1 families clustered on chromosome 2, where it is thought to participate in the regulation of adapted and innate immune responses (3). IL-1F10 and IL-1RN polymorphisms may play an important role in the susceptibility to developing rheumatoid arthritis (4).
|
||
Storage & Stability |
Store at +4°C short term. For long-term storage, aliquot and store at -20°C or below. Stable for 12 months at -20°C. Avoid repeated freeze-thaw cycles.
|
||
Applications |
WB, IHC-P, E
|
||
Images |
Western blot analysis of IL-1F10 in human liver tissue lysate with IL-1F10 antibody at 1 μg/ml in (A) the absence and (B) the presence of blocking peptide.
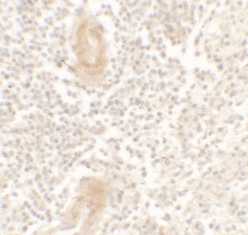
Immunohistochemistry of IL-1F10 in human spleen tissue with IL-1F10 antibody at 5 μg/mL. |
||
Specification |
|||
Quantity |
|
||
| Select | Brand | Catalog No. | Product Name | Pack Size | Type | Field of Research | Specification | Quantity | Price(USD) | |
| 1 | Leading Biology | APR03440G | ITGA11 Antibody (N-term) | 100 μl | Polyclonal Antibodies |
|
$495.00 | Add Ask | ||
| 2 | Leading Biology | APR04537G | CMIP Antibody (C-term) | 100 μl | Polyclonal Antibodies |
|
$495.00 | Add Ask | ||
| 3 | Leading Biology | APR12422G | Human H4 Histamine Receptor (extracellular) Antibody | 50 μl | Polyclonal Antibodies |
|
$695.00 | Add Ask | ||
| 4 | Leading Biology | APR03844G | UBE2W Antibody (C-term) | 100 μl | Polyclonal Antibodies |
|
$495.00 | Add Ask | ||
| 5 | Leading Biology | APR04349G | HECTD2 Antibody (N-term) | 100 μl | Polyclonal Antibodies |
|
$495.00 | Add Ask | ||
| 6 | Leading Biology | APR03502G | IGHG1 Antibody (Center) | 100 μl | Polyclonal Antibodies |
|
$495.00 | Add Ask |
Leading Biology Inc.
2600 Hilltop DR, Building G, B Suite C138
Richmond, CA, 94806
Tel: 1-661-524(LBI)-0262
Email: info@leadingbiology.com
Complete this form and click send to ask us a question, request a quote or simply say hello.

You have 0 item in your cart

You have 0 item in your inquiry list