> Antigen, Antibodies, ELISA, Western Blot > Primary Antibody > Polyclonal Antibodies > IL-1RL2 AntibodyBrand |
Leading Biology | Catalog Number |
APR06848G |
Product Type |
Polyclonal Antibodies | Field of Research |
|
Product Overview |
We constantly strive to ensure we provide our customers with the best antibodies. As a result of this work we offer this antibody in purified format.
We are in the process of updating our datasheets. If you have any questions regarding this update, please feel free to contact our technical support team.
This product is a high quality IL-1RL2 Antibody.
|
||
Molecular Weight |
Predicted: 61 kDa Observed: 55 kDa
|
||
Cellular Localization |
Antigen Cellular Localization:
Membrane; Single-pass type I membrane protein
|
||
Host |
Rabbit
|
||
Species Reactivity |
Human, Mouse, Rat
|
||
Target |
IL1RL2; IL-1RL2 antibody is human, mouse and rat reactive. At least three isoforms of IL-1RL2 are known to exist; this antibody will detect all three isoforms. IL-1RL2 antibody is predicted to not cross-react with IL-1R or IL-1RL1.
|
||
Isotype |
IgG
|
||
Symbol |
IL1RRP2
|
||
GeneID |
|||
UniProt ID |
|||
Function |
Receptor for interleukin-36 (IL36A, IL36B and IL36G). After binding to interleukin-36 associates with the coreceptor IL1RAP to form the interleukin-36 receptor complex which mediates interleukin-36-dependent activation of NF-kappa-B, MAPK and other pathways (By similarity). The IL-36 signaling system is thought to be present in epithelial barriers and to take part in local inflammatory response; it is similar to the IL-1 system. Seems to be involved in skin inflammatory response by induction of the IL- 23/IL-17/IL-22 pathway.
|
||
Summary |
IL-1RL2 is a member of the interleukin 1 receptor family, but it is incapable of binding to interleukin 1 alpha and interleukin 1 beta with high affinity (1). Together with IL-1RAcP, it can bind members of the IL-36 cytokine family, leading to activation of the NF-kappaB pathway (2). IL-1RL2 can also bind to IL-1F10, resulting in a decreased product of Th17 cytokines in response to immunological or LPS challenge, suggesting that one potential role of IL-1RL2 may be to modulate the immune and inflammation response (3).
|
||
Storage & Stability |
Store at +4°C short term. For long-term storage, aliquot and store at -20°C or below. Stable for 12 months at -20°C. Avoid repeated freeze-thaw cycles.
|
||
Applications |
WB, IHC-P, IF, E
|
||
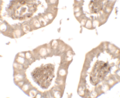
Images |
Western blot analysis of IL-1RL2 in human small intestine lysate with IL-1RL2 antibody at (A) 1 and (B) 2 μg/ml.
Immunohistochemistry of IL-1RL2 in human small intestine tissue with IL-1RL2 antibody at 5 μg/mL.
Immunofluorescence of IL-1RL2 in human small intestine tissue with IL-1RL2 antibody at 20 μg/mL. |
||
Specification |
|||
Quantity |
|
||
| Select | Brand | Catalog No. | Product Name | Pack Size | Type | Field of Research | Specification | Quantity | Price(USD) | |
| 1 | Leading Biology | APR03440G | ITGA11 Antibody (N-term) | 100 μl | Polyclonal Antibodies |
|
$495.00 | Add Ask | ||
| 2 | Leading Biology | APR04537G | CMIP Antibody (C-term) | 100 μl | Polyclonal Antibodies |
|
$495.00 | Add Ask | ||
| 3 | Leading Biology | APR12422G | Human H4 Histamine Receptor (extracellular) Antibody | 50 μl | Polyclonal Antibodies |
|
$695.00 | Add Ask | ||
| 4 | Leading Biology | APR03844G | UBE2W Antibody (C-term) | 100 μl | Polyclonal Antibodies |
|
$495.00 | Add Ask | ||
| 5 | Leading Biology | APR04349G | HECTD2 Antibody (N-term) | 100 μl | Polyclonal Antibodies |
|
$495.00 | Add Ask | ||
| 6 | Leading Biology | APR03502G | IGHG1 Antibody (Center) | 100 μl | Polyclonal Antibodies |
|
$495.00 | Add Ask |
Leading Biology Inc.
2600 Hilltop DR, Building G, B Suite C138
Richmond, CA, 94806
Tel: 1-661-524(LBI)-0262
Email: info@leadingbiology.com
Complete this form and click send to ask us a question, request a quote or simply say hello.

You have 0 item in your cart

You have 0 item in your inquiry list