> Antigen, Antibodies, ELISA, Western Blot > Primary Antibody > Polyclonal Antibodies > Periphilin AntibodyBrand |
Leading Biology | Catalog Number |
APR06740G |
Product Type |
Polyclonal Antibodies | Field of Research |
|
Product Overview |
We constantly strive to ensure we provide our customers with the best antibodies. As a result of this work we offer this antibody in purified format.
We are in the process of updating our datasheets. If you have any questions regarding this update, please feel free to contact our technical support team.
This product is a high quality Periphilin Antibody.
|
||
Molecular Weight |
52737 Da
|
||
Cellular Localization |
Antigen Cellular Localization:
Nucleus. Cytoplasm. Note=In undifferentiated keratinocytes expressed in speckle-type nuclear granules and at the nuclear membrane, but in the differentiated keratinocytes colocalized with periplakin at the cell periphery and at cell-cell junctions
|
||
Host |
Rabbit
|
||
Species Reactivity |
Human, Mouse
|
||
Target |
PPHLN1;
|
||
Isotype |
IgG
|
||
GeneID |
|||
UniProt ID |
|||
Function |
Involved in epithelial differentiation and contributes to epidermal integrity and barrier formation.
|
||
Summary |
Periphilin Antibody: Periphilin, known as PPHLN1 or gastric cancer antigen Ga50, plays a role in epithelial differentiation and contributes to epidermal integrity and barrier formation. It interacts with periplakin, a known precursor of the cornified cell envelope. Periphilin 1 is ubiquitously expressed and localizes to nucleus and cytoplasm. Existing as eight alternatively spliced isoforms, Periphilin is highly insoluble and contains a putative nuclear localization signal (NLS) within its N-terminal half, a prerequisite for the formation of insoluble complexes and a possible caspase recognition sequence and a potential nuclear export signal. Periphilin may play an important role in the nervous system.
|
||
Storage & Stability |
Store at +4°C short term. For long-term storage, aliquot and store at -20°C or below. Stable for 12 months at -20°C. Avoid repeated freeze-thaw cycles.
|
||
Applications |
WB, IHC-P, IF, E
|
||
Images |
Western blot analysis of Periphilin in mouse colon tissue lysate with Periphilin antibody at 1 μg/mL in (A) the absence and (B) the presence of blocking peptide.
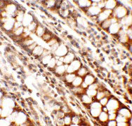
Immunohistochemistry of Periphilin in human colon tissue with Periphilin antibody at 2.5 μg/mL.
Immunofluorescence of Periphilin in human colon tissue with Periphilin antibody at 5 μg/mL. |
||
Specification |
|||
Quantity |
|
||
| Select | Brand | Catalog No. | Product Name | Pack Size | Type | Field of Research | Specification | Quantity | Price(USD) | |
| 1 | Leading Biology | APR03440G | ITGA11 Antibody (N-term) | 100 μl | Polyclonal Antibodies |
|
$495.00 | Add Ask | ||
| 2 | Leading Biology | APR04537G | CMIP Antibody (C-term) | 100 μl | Polyclonal Antibodies |
|
$495.00 | Add Ask | ||
| 3 | Leading Biology | APR12422G | Human H4 Histamine Receptor (extracellular) Antibody | 50 μl | Polyclonal Antibodies |
|
$695.00 | Add Ask | ||
| 4 | Leading Biology | APR03844G | UBE2W Antibody (C-term) | 100 μl | Polyclonal Antibodies |
|
$495.00 | Add Ask | ||
| 5 | Leading Biology | APR04349G | HECTD2 Antibody (N-term) | 100 μl | Polyclonal Antibodies |
|
$495.00 | Add Ask | ||
| 6 | Leading Biology | APR03502G | IGHG1 Antibody (Center) | 100 μl | Polyclonal Antibodies |
|
$495.00 | Add Ask |
Leading Biology Inc.
2600 Hilltop DR, Building G, B Suite C138
Richmond, CA, 94806
Tel: 1-661-524(LBI)-0262
Email: info@leadingbiology.com
Complete this form and click send to ask us a question, request a quote or simply say hello.

You have 0 item in your cart

You have 0 item in your inquiry list