> Antigen, Antibodies, ELISA, Western Blot > Primary Antibody > Polyclonal Antibodies > RHAMM AntibodyBrand |
Leading Biology | Catalog Number |
APR06690G |
Product Type |
Polyclonal Antibodies | Field of Research |
|
Product Overview |
We constantly strive to ensure we provide our customers with the best antibodies. As a result of this work we offer this antibody in purified format.
We are in the process of updating our datasheets. If you have any questions regarding this update, please feel free to contact our technical support team.
This product is a high quality RHAMM Antibody.
|
||
Molecular Weight |
84100 Da
|
||
Cellular Localization |
Antigen Cellular Localization:
Cell surface. Cytoplasm.
|
||
Host |
Rabbit
|
||
Species Reactivity |
Human, Mouse, Rat
|
||
Target |
HMMR;
|
||
Isotype |
IgG
|
||
Symbol |
IHABP, RHAMM
|
||
GeneID |
|||
UniProt ID |
|||
Function |
Involved in cell motility. When hyaluronan binds to HMMR, the phosphorylation of a number of proteins, including PTK2/FAK1 occurs. May also be involved in cellular transformation and metastasis formation, and in regulating extracellular- regulated kinase (ERK) activity.
|
||
Summary |
RHAMM Antibody: The hyaluronan-mediated motility receptor, also known as RHAMM, was initially identified as a soluble protein that could be released by sub-confluent migrating cells, promoting cell motility and invasion via interactions with hyaluronan (HA) and the cell surface. While RHAMM is normally poorly expressed in most normal tissues and is not required for embryonic development or normal cell homeostasis functions, its expression is increased during wound repair in response to hypoxia and fibrogenic factors. However, its overexpression is transforming in multiple types of cancers and is required for maintaining RAS transformation. RHAMM associates with BRCA1 and BARD1, attenuating the mitotic-spindle-promoting activity of RHAMM, which may contribute to tumor progression by promoting genomic instability.
|
||
Storage & Stability |
Store at +4°C short term. For long-term storage, aliquot and store at -20°C or below. Stable for 12 months at -20°C. Avoid repeated freeze-thaw cycles.
|
||
Applications |
WB, IHC-P, IF, E
|
||
Images |
Western blot analysis of RHAMM in rat stomach tissue lysate with RHAMM antibody at 1 μg/mL.
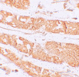
Immunohistochemistry of RHAMM in human stomach tissue with RHAMM antibody at 2.5 μg/mL.
Immunofluorescence of RHAMM in human stomach tissue with RHAM antibody at 20 μg/mL. |
||
Specification |
|||
Quantity |
|
||
| Select | Brand | Catalog No. | Product Name | Pack Size | Type | Field of Research | Specification | Quantity | Price(USD) | |
| 1 | Leading Biology | APR03440G | ITGA11 Antibody (N-term) | 100 μl | Polyclonal Antibodies |
|
$495.00 | Add Ask | ||
| 2 | Leading Biology | APR04537G | CMIP Antibody (C-term) | 100 μl | Polyclonal Antibodies |
|
$495.00 | Add Ask | ||
| 3 | Leading Biology | APR12422G | Human H4 Histamine Receptor (extracellular) Antibody | 50 μl | Polyclonal Antibodies |
|
$695.00 | Add Ask | ||
| 4 | Leading Biology | APR03844G | UBE2W Antibody (C-term) | 100 μl | Polyclonal Antibodies |
|
$495.00 | Add Ask | ||
| 5 | Leading Biology | APR04349G | HECTD2 Antibody (N-term) | 100 μl | Polyclonal Antibodies |
|
$495.00 | Add Ask | ||
| 6 | Leading Biology | APR03502G | IGHG1 Antibody (Center) | 100 μl | Polyclonal Antibodies |
|
$495.00 | Add Ask |
Leading Biology Inc.
2600 Hilltop DR, Building G, B Suite C138
Richmond, CA, 94806
Tel: 1-661-524(LBI)-0262
Email: info@leadingbiology.com
Complete this form and click send to ask us a question, request a quote or simply say hello.

You have 0 item in your cart

You have 0 item in your inquiry list