> Antigen, Antibodies, ELISA, Western Blot > Primary Antibody > Polyclonal Antibodies > SLAMF9 AntibodyBrand |
Leading Biology | Catalog Number |
APR06689G |
Product Type |
Polyclonal Antibodies | Field of Research |
|
Product Overview |
We constantly strive to ensure we provide our customers with the best antibodies. As a result of this work we offer this antibody in purified format.
We are in the process of updating our datasheets. If you have any questions regarding this update, please feel free to contact our technical support team.
This product is a high quality SLAMF9 Antibody.
|
||
Molecular Weight |
32436 Da
|
||
Cellular Localization |
Antigen Cellular Localization:
Membrane; Single-pass type I membrane protein
|
||
Host |
Rabbit
|
||
Species Reactivity |
Human, Mouse, Rat
|
||
Target |
SLAMF9; SLAMF9 antibody is predicted to not cross-react with other SLAM protein family members.
|
||
Isotype |
IgG
|
||
Symbol |
CD2F10
|
||
GeneID |
|||
UniProt ID |
|||
Function |
May play a role in the immune response.
|
||
Summary |
SLAMF9 Antibody: The SLAM (signalling lymphocyte activation molecule) family is a novel group of receptors on T cells in modulating the immune response. SLAMF9, also known as CD2F-10 or CD84 homolog, is a 289 amino acid type I transmembrane protein that shares 58% identity with the mouse protein. The SLAMF9 protein is predominantly expressed in hematopoietic tissues and contains an extracellular region with only two N-linked glycosylation sites, a 20-residue transmembrane region and a highly positively charged 30-residue cytoplasmic tail, suggesting a role for SLAMF9 as an adhesion molecule. SLAMF9 is thought to function in the immune response as a coreceptor for lymphocyte activation.
|
||
Storage & Stability |
Store at +4°C short term. For long-term storage, aliquot and store at -20°C or below. Stable for 12 months at -20°C. Avoid repeated freeze-thaw cycles.
|
||
Applications |
WB, IHC-P, IF, E
|
||
Images |
Western blot analysis of SLAMF9 in mouse kidney tissue lysate with SLAMF9 antibody at (A) 1 and (B) 2 μg/mL.
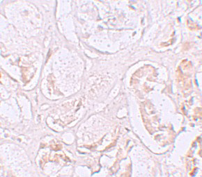
Immunohistochemistry of SLAMF9 in human kidney tissue with SLAMF9 antibody at 2.5 μg/mL.
Immunofluorescence of SLAMF9 in human kidney tissue with SLAMF9 antibody at 20 μg/mL. |
||
Specification |
|||
Quantity |
|
||
| Select | Brand | Catalog No. | Product Name | Pack Size | Type | Field of Research | Specification | Quantity | Price(USD) | |
| 1 | Leading Biology | APR03440G | ITGA11 Antibody (N-term) | 100 μl | Polyclonal Antibodies |
|
$495.00 | Add Ask | ||
| 2 | Leading Biology | APR04537G | CMIP Antibody (C-term) | 100 μl | Polyclonal Antibodies |
|
$495.00 | Add Ask | ||
| 3 | Leading Biology | APR12422G | Human H4 Histamine Receptor (extracellular) Antibody | 50 μl | Polyclonal Antibodies |
|
$695.00 | Add Ask | ||
| 4 | Leading Biology | APR03844G | UBE2W Antibody (C-term) | 100 μl | Polyclonal Antibodies |
|
$495.00 | Add Ask | ||
| 5 | Leading Biology | APR04349G | HECTD2 Antibody (N-term) | 100 μl | Polyclonal Antibodies |
|
$495.00 | Add Ask | ||
| 6 | Leading Biology | APR03502G | IGHG1 Antibody (Center) | 100 μl | Polyclonal Antibodies |
|
$495.00 | Add Ask |
Leading Biology Inc.
2600 Hilltop DR, Building G, B Suite C138
Richmond, CA, 94806
Tel: 1-661-524(LBI)-0262
Email: info@leadingbiology.com
Complete this form and click send to ask us a question, request a quote or simply say hello.

You have 0 item in your cart

You have 0 item in your inquiry list