> Antigen, Antibodies, ELISA, Western Blot > Primary Antibody > Polyclonal Antibodies > CRISP2 AntibodyBrand |
Leading Biology | Catalog Number |
APR06657G |
Product Type |
Polyclonal Antibodies | Field of Research |
|
Product Overview |
We constantly strive to ensure we provide our customers with the best antibodies. As a result of this work we offer this antibody in purified format.
We are in the process of updating our datasheets. If you have any questions regarding this update, please feel free to contact our technical support team.
This product is a high quality CRISP2 Antibody.
|
||
Molecular Weight |
27259 Da
|
||
Cellular Localization |
Antigen Cellular Localization:
Secreted.
|
||
Host |
Rabbit
|
||
Species Reactivity |
Human
|
||
Target |
CRISP2;
|
||
Isotype |
IgG
|
||
Symbol |
GAPDL5, TPX1
|
||
GeneID |
|||
UniProt ID |
|||
Function |
May regulate some ion channels' activity and therebye regulate calcium fluxes during sperm capacitation.
|
||
Summary |
CRISP2 Antibody: The cysteine-rich secretory proteins (CRISP) family is a group of four proteins that are strongly expressed in the male reproductive tract and have been implicated in having roles in male fertility. CRISP2, also known as TPX1, has been implicated in the adhesion between spermatids and Sertoli cells, and with CRISP1, is thought to be involved in sperm-egg fusion. CRISP2 has been shown to regulate the Ca2+ influx through ryanodine receptors (RYR) and may influence the acrosome reaction or sperm motility. CRISP2 has also been shown to bind to the mitogen-activated protein kinase kinase kinase 11 (MAP3K11) and localizes to the developing acrosome, suggesting this CRISP2-MAP3K11 complex may have a role in acrosome development.
|
||
Storage & Stability |
Store at +4°C short term. For long-term storage, aliquot and store at -20°C or below. Stable for 12 months at -20°C. Avoid repeated freeze-thaw cycles.
|
||
Applications |
WB, IHC-P, IF, E
|
||
Images |
Western blot analysis of CRISP2 in human testis tissue lysate with CRISP2 antibody at (A) 0.5 and (B) 1 μg/mL.
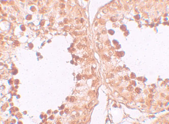
Immunohistochemistry of CRISP2 in human testis tissue with CRISP2 antibody at 10 μg/mL.
Immunofluorescence of CRISP in human testis tissue with CRISP antibody at 20 μg/mL. |
||
Specification |
|||
Quantity |
|
||
| Select | Brand | Catalog No. | Product Name | Pack Size | Type | Field of Research | Specification | Quantity | Price(USD) | |
| 1 | Leading Biology | APR03440G | ITGA11 Antibody (N-term) | 100 μl | Polyclonal Antibodies |
|
$495.00 | Add Ask | ||
| 2 | Leading Biology | APR04537G | CMIP Antibody (C-term) | 100 μl | Polyclonal Antibodies |
|
$495.00 | Add Ask | ||
| 3 | Leading Biology | APR12422G | Human H4 Histamine Receptor (extracellular) Antibody | 50 μl | Polyclonal Antibodies |
|
$695.00 | Add Ask | ||
| 4 | Leading Biology | APR03844G | UBE2W Antibody (C-term) | 100 μl | Polyclonal Antibodies |
|
$495.00 | Add Ask | ||
| 5 | Leading Biology | APR04349G | HECTD2 Antibody (N-term) | 100 μl | Polyclonal Antibodies |
|
$495.00 | Add Ask | ||
| 6 | Leading Biology | APR03502G | IGHG1 Antibody (Center) | 100 μl | Polyclonal Antibodies |
|
$495.00 | Add Ask |
Leading Biology Inc.
2600 Hilltop DR, Building G, B Suite C138
Richmond, CA, 94806
Tel: 1-661-524(LBI)-0262
Email: info@leadingbiology.com
Complete this form and click send to ask us a question, request a quote or simply say hello.

You have 0 item in your cart

You have 0 item in your inquiry list