> Antigen, Antibodies, ELISA, Western Blot > Primary Antibody > Polyclonal Antibodies > MACC1 AntibodyBrand |
Leading Biology | Catalog Number |
APR06543G |
Product Type |
Polyclonal Antibodies | Field of Research |
|
Product Overview |
We constantly strive to ensure we provide our customers with the best antibodies. As a result of this work we offer this antibody in purified format.
We are in the process of updating our datasheets. If you have any questions regarding this update, please feel free to contact our technical support team.
This product is a high quality MACC1 Antibody.
|
||
Molecular Weight |
Predicted: 94 kDa Observed: 90 kDa
|
||
Cellular Localization |
Antigen Cellular Localization:
Cytoplasm. Nucleus. Note=Mainly found in the cytoplasm in non-metastasizing tumors
|
||
Host |
Rabbit
|
||
Species Reactivity |
Human, Mouse, Rat
|
||
Target |
MACC1; At least two isoforms of MACC1 are known to exist.
|
||
Isotype |
IgG
|
||
GeneID |
|||
UniProt ID |
|||
Function |
Acts as a transcription activator for MET and as a key regulator of HGF-MET signaling. Promotes cell motility, proliferation and hepatocyte growth factor (HGF)-dependent scattering in vitro and tumor growth and metastasis in vivo.
|
||
Summary |
MACC1 Antibody: Metastasis associated in colon cancer 1 (MACC1) is a key regulator of the hepatocyte growth factor (HGF)-HGF receptor (MET) pathway, which is involved in cellular growth, epithelial-mesenchymal transition, angiogenesis, cell motility, invasiveness, and metastasis. MACC1 protein consists of four domains: ZU5, SH3, and two C-terminal death domains (DD). Expression of MACC1 was found significantly upregulated in malignant tissues (colon cancer of all stages as well as liver and lung metastases) compared to normal tissues or adenomas. MACC1 represents an early and crucial prognostic indicator for colon cancer metastasis that is independent of age, sex, tumor infiltration, nodal status, and lymph vessel invasion. Besides its involvement in signal transduction with the MET receptor, MACC1 also links MET signaling and apoptosis. MACC1 may also be an important therapeutic target for colorectal cancer treatment.
|
||
Storage & Stability |
Store at +4°C short term. For long-term storage, aliquot and store at -20°C or below. Stable for 12 months at -20°C. Avoid repeated freeze-thaw cycles.
|
||
Applications |
WB, IHC-P, IF, E
|
||
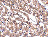
Images |
Western blot analysis of MACC1 in mouse liver tissue lysate with MACC1 antibody at (A) 1 and (B) 2 μg/mL.
Immunohistochemistry of MACC1 in human liver tissue with MACC1 antibody at 2.5 μg/mL.
Immunofluorescence of MACC1 in Human Liver cells with MACC1 antibody at 20 μg/mL. |
||
Specification |
|||
Quantity |
|
||
| Select | Brand | Catalog No. | Product Name | Pack Size | Type | Field of Research | Specification | Quantity | Price(USD) | |
| 1 | Leading Biology | APR03440G | ITGA11 Antibody (N-term) | 100 μl | Polyclonal Antibodies |
|
$495.00 | Add Ask | ||
| 2 | Leading Biology | APR04537G | CMIP Antibody (C-term) | 100 μl | Polyclonal Antibodies |
|
$495.00 | Add Ask | ||
| 3 | Leading Biology | APR12422G | Human H4 Histamine Receptor (extracellular) Antibody | 50 μl | Polyclonal Antibodies |
|
$695.00 | Add Ask | ||
| 4 | Leading Biology | APR03844G | UBE2W Antibody (C-term) | 100 μl | Polyclonal Antibodies |
|
$495.00 | Add Ask | ||
| 5 | Leading Biology | APR04349G | HECTD2 Antibody (N-term) | 100 μl | Polyclonal Antibodies |
|
$495.00 | Add Ask | ||
| 6 | Leading Biology | APR03502G | IGHG1 Antibody (Center) | 100 μl | Polyclonal Antibodies |
|
$495.00 | Add Ask |
Leading Biology Inc.
2600 Hilltop DR, Building G, B Suite C138
Richmond, CA, 94806
Tel: 1-661-524(LBI)-0262
Email: info@leadingbiology.com
Complete this form and click send to ask us a question, request a quote or simply say hello.

You have 0 item in your cart

You have 0 item in your inquiry list