> Antigen, Antibodies, ELISA, Western Blot > Primary Antibody > Polyclonal Antibodies > PTER AntibodyBrand |
Leading Biology | Catalog Number |
APR06542G |
Product Type |
Polyclonal Antibodies | Field of Research |
|
Product Overview |
We constantly strive to ensure we provide our customers with the best antibodies. As a result of this work we offer this antibody in purified format.
We are in the process of updating our datasheets. If you have any questions regarding this update, please feel free to contact our technical support team.
This product is a high quality PTER Antibody.
|
||
Molecular Weight |
39018 Da
|
||
Host |
Rabbit
|
||
Species Reactivity |
Human, Mouse, Rat
|
||
Target |
PTER;
|
||
Isotype |
IgG
|
||
GeneID |
|||
UniProt ID |
|||
Summary |
PTER Antibody: PTER is a mammalian homolog to bacterial phosphotriesterases, enzymes that hydrolyze phosphotriester-containing organophosphate pesticides. It is expressed primarily in the proximal renal tubules and the gene has been localized in humans to chromosomal band 10p12 by in situ hybridization. PTER, in addition to FTO, MC4R, and NPC1 has recently been shown to be a new risk loci for early-onset and morbid adult obesity in European populations. At least two isoforms of PTER are known to exist.
|
||
Storage & Stability |
Store at +4°C short term. For long-term storage, aliquot and store at -20°C or below. Stable for 12 months at -20°C. Avoid repeated freeze-thaw cycles.
|
||
Applications |
WB, IHC-P, E
|
||
Images |
Western blot analysis of PTER in human kidney tissue lysate with PTER antibody at (A) 1 and (B) 2 μg/mL.
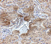
Immunohistochemistry of PTER in mouse kidney tissue with PTER antibody at 2.5 μg/mL. |
||
Specification |
|||
Quantity |
|
||
| Select | Brand | Catalog No. | Product Name | Pack Size | Type | Field of Research | Specification | Quantity | Price(USD) | |
| 1 | Leading Biology | APR03440G | ITGA11 Antibody (N-term) | 100 μl | Polyclonal Antibodies |
|
$495.00 | Add Ask | ||
| 2 | Leading Biology | APR04537G | CMIP Antibody (C-term) | 100 μl | Polyclonal Antibodies |
|
$495.00 | Add Ask | ||
| 3 | Leading Biology | APR12422G | Human H4 Histamine Receptor (extracellular) Antibody | 50 μl | Polyclonal Antibodies |
|
$695.00 | Add Ask | ||
| 4 | Leading Biology | APR03844G | UBE2W Antibody (C-term) | 100 μl | Polyclonal Antibodies |
|
$495.00 | Add Ask | ||
| 5 | Leading Biology | APR04349G | HECTD2 Antibody (N-term) | 100 μl | Polyclonal Antibodies |
|
$495.00 | Add Ask | ||
| 6 | Leading Biology | APR03502G | IGHG1 Antibody (Center) | 100 μl | Polyclonal Antibodies |
|
$495.00 | Add Ask |
Leading Biology Inc.
2600 Hilltop DR, Building G, B Suite C138
Richmond, CA, 94806
Tel: 1-661-524(LBI)-0262
Email: info@leadingbiology.com
Complete this form and click send to ask us a question, request a quote or simply say hello.

You have 0 item in your cart

You have 0 item in your inquiry list