> Antigen, Antibodies, ELISA, Western Blot > Primary Antibody > Polyclonal Antibodies > Bfl-1 AntibodyBrand |
Leading Biology | Catalog Number |
APR06414G |
Product Type |
Polyclonal Antibodies | Field of Research |
|
Product Overview |
We constantly strive to ensure we provide our customers with the best antibodies. As a result of this work we offer this antibody in purified format.
We are in the process of updating our datasheets. If you have any questions regarding this update, please feel free to contact our technical support team.
This product is a high quality Bfl-1 Antibody.
|
||
Molecular Weight |
Predicted: 19 kDa Observed: 29 kDa
|
||
Cellular Localization |
Antigen Cellular Localization:
Cytoplasm.
|
||
Host |
Rabbit
|
||
Species Reactivity |
Human, Mouse
|
||
Target |
BCL2A1; At least two isoforms of Bfl-1 are known to exist; this antibody will only detect the larger isoform.
|
||
Isotype |
IgG
|
||
Symbol |
BCL2L5, BFL1, GRS, HBPA1
|
||
GeneID |
|||
UniProt ID |
|||
Function |
Retards apoptosis induced by IL-3 deprivation. May function in the response of hemopoietic cells to external signals and in maintaining endothelial survival during infection (By similarity).
|
||
Summary |
Bfl-1 Antibody: Apoptosis plays a major role in normal organism development, tissue homeostasis, and removal of damaged cells and is caused by caspase activation. Proteins that comprise the Bcl-2 family appear to control the activation of these enzymes. One such member is multi-domain antiapoptotic protein Bfl-1, which is overexpressed in stomach and other cancers. Bfl-1 can interact with Bax and suppress apoptosis by inhibiting the release of cytochrome c and caspase-3 activation. It is upregulated in cisplatin-resistant human bladder tumors, suggesting that its expression may be important for cisplatin resistance and inhibition of apoptosis in cancer cells.
|
||
Storage & Stability |
Store at +4°C short term. For long-term storage, aliquot and store at -20°C or below. Stable for 12 months at -20°C. Avoid repeated freeze-thaw cycles.
|
||
Applications |
WB, IHC-P, IF, E
|
||
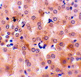
Images |
Western blot analysis of Bfl-1 in human kidney tissue lysate with Bfl-1 antibody at (A) 0.5, (B) 1 and (C) 2 μg/mL.
Immunohistochemistry of Bfl-1 in mouse kidney tissue with Bfl-1 antibody at 10 μg/mL.
Immunofluorescence of Bfl-1 in Mouse Kidney tissue with Bfl-1 antibody at 20 μg/mL. |
||
Specification |
|||
Quantity |
|
||
| Select | Brand | Catalog No. | Product Name | Pack Size | Type | Field of Research | Specification | Quantity | Price(USD) | |
| 1 | Leading Biology | APR03440G | ITGA11 Antibody (N-term) | 100 μl | Polyclonal Antibodies |
|
$495.00 | Add Ask | ||
| 2 | Leading Biology | APR04537G | CMIP Antibody (C-term) | 100 μl | Polyclonal Antibodies |
|
$495.00 | Add Ask | ||
| 3 | Leading Biology | APR12422G | Human H4 Histamine Receptor (extracellular) Antibody | 50 μl | Polyclonal Antibodies |
|
$695.00 | Add Ask | ||
| 4 | Leading Biology | APR03844G | UBE2W Antibody (C-term) | 100 μl | Polyclonal Antibodies |
|
$495.00 | Add Ask | ||
| 5 | Leading Biology | APR04349G | HECTD2 Antibody (N-term) | 100 μl | Polyclonal Antibodies |
|
$495.00 | Add Ask | ||
| 6 | Leading Biology | APR03502G | IGHG1 Antibody (Center) | 100 μl | Polyclonal Antibodies |
|
$495.00 | Add Ask |
Leading Biology Inc.
2600 Hilltop DR, Building G, B Suite C138
Richmond, CA, 94806
Tel: 1-661-524(LBI)-0262
Email: info@leadingbiology.com
Complete this form and click send to ask us a question, request a quote or simply say hello.

You have 0 item in your cart

You have 0 item in your inquiry list