> Antigen, Antibodies, ELISA, Western Blot > Primary Antibody > Polyclonal Antibodies > XEDAR AntibodyBrand |
Leading Biology | Catalog Number |
APR06413G |
Product Type |
Polyclonal Antibodies | Field of Research |
|
Product Overview |
We constantly strive to ensure we provide our customers with the best antibodies. As a result of this work we offer this antibody in purified format.
We are in the process of updating our datasheets. If you have any questions regarding this update, please feel free to contact our technical support team.
This product is a high quality XEDAR Antibody.
|
||
Molecular Weight |
32759 Da
|
||
Cellular Localization |
Antigen Cellular Localization:
Membrane; Single-pass type III membrane protein
|
||
Host |
Rabbit
|
||
Species Reactivity |
Human
|
||
Target |
EDA2R;
|
||
Isotype |
IgG
|
||
Symbol |
TNFRSF27, XEDAR
|
||
GeneID |
|||
UniProt ID |
|||
Function |
Receptor for EDA isoform A2, but not for EDA isoform A1. Mediates the activation of the NF-kappa-B and JNK pathways. Activation seems to be mediated by binding to TRAF3 and TRAF6.
|
||
Summary |
XEDAR Antibody: X-linked ectodysplasin-A2 receptor (XEDAR) is a recently isolated member of the tumor necrosis factor receptor family that is highly expressed during embryonic development and binds to ectodysplatin-A2 (EDA-A2). Two predominantly expressed isoforms, XEDAR-s and XEDAR-L, differ by only a 21-amino region at the juxtamembrane region of the cytoplasmic domain. Neither isoform possesses a death domain and both have been shown to act mainly through TRAF3 and TRAF6 to activate the NF-κB and JNK pathways. Cells transfected with XEDAR and treated with EDA-A2 cause the assembly of a secondary complex containing FADD, caspase-8 and caspase-10, leading to the activation caspase-8 and caspase-3, and finally apoptosis. The EDA-A2-induced apoptosis is dependent on caspase-9 activation, as various pharmacological and genetic inhibitors of caspase-8 blocked apoptosis following EDA-A2 treatment.
|
||
Storage & Stability |
Store at +4°C short term. For long-term storage, aliquot and store at -20°C or below. Stable for 12 months at -20°C. Avoid repeated freeze-thaw cycles.
|
||
Applications |
WB, IHC-P, E
|
||
Images |
Western blot analysis of XEDAR in 293 cell lysate with XEDAR antibody at (A) 0.5, (B) 1 and (C) 2 μg/mL.
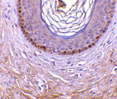
Immunohistochemistry of XEDAR in human skin tissue with XEDAR antibody at 10 μg/mL. |
||
Specification |
|||
Quantity |
|
||
| Select | Brand | Catalog No. | Product Name | Pack Size | Type | Field of Research | Specification | Quantity | Price(USD) | |
| 1 | Leading Biology | APR03440G | ITGA11 Antibody (N-term) | 100 μl | Polyclonal Antibodies |
|
$495.00 | Add Ask | ||
| 2 | Leading Biology | APR04537G | CMIP Antibody (C-term) | 100 μl | Polyclonal Antibodies |
|
$495.00 | Add Ask | ||
| 3 | Leading Biology | APR12422G | Human H4 Histamine Receptor (extracellular) Antibody | 50 μl | Polyclonal Antibodies |
|
$695.00 | Add Ask | ||
| 4 | Leading Biology | APR03844G | UBE2W Antibody (C-term) | 100 μl | Polyclonal Antibodies |
|
$495.00 | Add Ask | ||
| 5 | Leading Biology | APR04349G | HECTD2 Antibody (N-term) | 100 μl | Polyclonal Antibodies |
|
$495.00 | Add Ask | ||
| 6 | Leading Biology | APR03502G | IGHG1 Antibody (Center) | 100 μl | Polyclonal Antibodies |
|
$495.00 | Add Ask |
Leading Biology Inc.
2600 Hilltop DR, Building G, B Suite C138
Richmond, CA, 94806
Tel: 1-661-524(LBI)-0262
Email: info@leadingbiology.com
Complete this form and click send to ask us a question, request a quote or simply say hello.

You have 0 item in your cart

You have 0 item in your inquiry list