> Antigen, Antibodies, ELISA, Western Blot > Primary Antibody > Polyclonal Antibodies > NTRK3 / TRKC Antibody (aa1-429)Brand |
Leading Biology | Catalog Number |
APG01004G |
Product Type |
Polyclonal Antibodies | Field of Research |
|
Product Overview |
We constantly strive to ensure we provide our customers with the best antibodies. As a result of this work we offer this antibody in purified format.
We are in the process of updating our datasheets. If you have any questions regarding this update, please feel free to contact our technical support team.
This product is a high quality NTRK3 / TRKC Antibody (aa1-429).
|
||
Molecular Weight |
94kDa
|
||
Cellular Localization |
Antigen Cellular Localization:
Membrane; Single-pass type I membrane protein
|
||
Host |
Goat
|
||
Species Reactivity |
Human, Mouse, Rat
|
||
Target |
Recognizes rat TrkC, Mr 145kD and an additional band at ~100kD. Species cross reactivity human and mouse.
|
||
Symbol |
TRKC
|
||
GeneID |
|||
UniProt ID |
|||
Function |
Receptor for neurotrophin-3 (NT-3). This is a tyrosine- protein kinase receptor. Known substrates for the trk receptors are SHC1, PI-3 kinase, and PLCG1. The different isoforms do not have identical signaling properties.
|
||
Summary |
Receptor for neurotrophin-3 (NT-3). This is a tyrosine- protein kinase receptor. Known substrates for the trk receptors are SHC1, PI-3 kinase, and PLCG1. The different isoforms do not have identical signaling properties.
|
||
Storage & Stability |
Store at +4°C short term. For long-term storage, aliquot and store at -20°C or below. Stable for 12 months at -20°C. Avoid repeated freeze-thaw cycles.
|
||
Applications |
WB, IHC-P
|
||
Dilution |
IHC-P (2.5 μg/ml), WB (0.5-2 μg/ml),
|
||
Images |
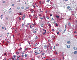
Anti-NTRK3 / TRKC antibody IHC of adrenal medulla. |
||
Specification |
|||
Quantity |
|
||
| Select | Brand | Catalog No. | Product Name | Pack Size | Type | Field of Research | Specification | Quantity | Price(USD) | |
| 1 | Leading Biology | APR03440G | ITGA11 Antibody (N-term) | 100 μl | Polyclonal Antibodies |
|
$495.00 | Add Ask | ||
| 2 | Leading Biology | APR04537G | CMIP Antibody (C-term) | 100 μl | Polyclonal Antibodies |
|
$495.00 | Add Ask | ||
| 3 | Leading Biology | APR12422G | Human H4 Histamine Receptor (extracellular) Antibody | 50 μl | Polyclonal Antibodies |
|
$695.00 | Add Ask | ||
| 4 | Leading Biology | APR03844G | UBE2W Antibody (C-term) | 100 μl | Polyclonal Antibodies |
|
$495.00 | Add Ask | ||
| 5 | Leading Biology | APR04349G | HECTD2 Antibody (N-term) | 100 μl | Polyclonal Antibodies |
|
$495.00 | Add Ask | ||
| 6 | Leading Biology | APR03502G | IGHG1 Antibody (Center) | 100 μl | Polyclonal Antibodies |
|
$495.00 | Add Ask |
Leading Biology Inc.
2600 Hilltop DR, Building G, B Suite C138
Richmond, CA, 94806
Tel: 1-661-524(LBI)-0262
Email: info@leadingbiology.com
Complete this form and click send to ask us a question, request a quote or simply say hello.

You have 0 item in your cart

You have 0 item in your inquiry list