> Antigen, Antibodies, ELISA, Western Blot > Primary Antibody > Polyclonal Antibodies > CD105 Antibody (aa26-176)Brand |
Leading Biology | Catalog Number |
APR02489G |
Product Type |
Polyclonal Antibodies | Field of Research |
|
Product Overview |
We constantly strive to ensure we provide our customers with the best antibodies. As a result of this work we offer this antibody in purified format.
We are in the process of updating our datasheets. If you have any questions regarding this update, please feel free to contact our technical support team.
This product is a high quality CD105 Antibody (aa26-176).
|
||
Molecular Weight |
71kDa
|
||
Cellular Localization |
Antigen Cellular Localization:
Membrane; Single-pass type I membrane protein
|
||
Host |
Rabbit
|
||
Species Reactivity |
Human
|
||
Target |
Recognizes human CD105.
|
||
Symbol |
END
|
||
GeneID |
|||
UniProt ID |
|||
Function |
Major glycoprotein of vascular endothelium. Involved in the regulation of angiogenesis. May play a critical role in the binding of endothelial cells to integrins and/or other RGD receptors. Acts as TGF-beta coreceptor and is involved in the TGF- beta/BMP signaling cascade. Required for GDF2/BMP9 signaling through SMAD1 in endothelial cells and modulates TGF-beta1 signaling through SMAD3.
|
||
Summary |
Major glycoprotein of vascular endothelium. Involved in the regulation of angiogenesis. May play a critical role in the binding of endothelial cells to integrins and/or other RGD receptors. Acts as TGF-beta coreceptor and is involved in the TGF- beta/BMP signaling cascade. Required for GDF2/BMP9 signaling through SMAD1 in endothelial cells and modulates TGF-beta1 signaling through SMAD3.
|
||
Storage & Stability |
Store at +4°C short term. For long-term storage, aliquot and store at -20°C or below. Stable for 12 months at -20°C. Avoid repeated freeze-thaw cycles.
|
||
Applications |
IHC-P
|
||
Dilution |
IHC-P (1:100)
|
||
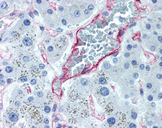
Images |
Anti-ENG / CD105 antibody IHC of human liver. |
||
Specification |
|||
Quantity |
|
||
| Select | Brand | Catalog No. | Product Name | Pack Size | Type | Field of Research | Specification | Quantity | Price(USD) | |
| 1 | Leading Biology | APR03440G | ITGA11 Antibody (N-term) | 100 μl | Polyclonal Antibodies |
|
$495.00 | Add Ask | ||
| 2 | Leading Biology | APR04537G | CMIP Antibody (C-term) | 100 μl | Polyclonal Antibodies |
|
$495.00 | Add Ask | ||
| 3 | Leading Biology | APR12422G | Human H4 Histamine Receptor (extracellular) Antibody | 50 μl | Polyclonal Antibodies |
|
$695.00 | Add Ask | ||
| 4 | Leading Biology | APR03844G | UBE2W Antibody (C-term) | 100 μl | Polyclonal Antibodies |
|
$495.00 | Add Ask | ||
| 5 | Leading Biology | APR04349G | HECTD2 Antibody (N-term) | 100 μl | Polyclonal Antibodies |
|
$495.00 | Add Ask | ||
| 6 | Leading Biology | APR03502G | IGHG1 Antibody (Center) | 100 μl | Polyclonal Antibodies |
|
$495.00 | Add Ask |
Leading Biology Inc.
2600 Hilltop DR, Building G, B Suite C138
Richmond, CA, 94806
Tel: 1-661-524(LBI)-0262
Email: info@leadingbiology.com
Complete this form and click send to ask us a question, request a quote or simply say hello.

You have 0 item in your cart

You have 0 item in your inquiry list