> Antigen, Antibodies, ELISA, Western Blot > Primary Antibody > Polyclonal Antibodies > p16INK4a Antibody (C-term E119)Brand |
Leading Biology | Catalog Number |
APR03602G |
Product Type |
Polyclonal Antibodies | Field of Research |
|
Product Overview |
We constantly strive to ensure we provide our customers with the best antibodies. As a result of this work we offer this antibody in purified format.
We are in the process of updating our datasheets. If you have any questions regarding this update, please feel free to contact our technical support team.
This product is a high quality p16INK4a Antibody (C-term E119).
|
||
Molecular Weight |
16533 Da
|
||
Cellular Localization |
Antigen Cellular Localization:
Cytoplasm. Nucleus
|
||
Host |
Rabbit
|
||
Species Reactivity |
Human
|
||
Immunogen |
104-131 aa
|
||
Target |
This p16INK4a antibody is generated from rabbits immunized with a KLH conjugated synthetic peptide between 104-131 amino acids from the C-terminal region of human p16INK4a.
|
||
Isotype |
Rabbit Ig
|
||
Symbol |
CDKN2, MTS1
|
||
GeneID |
|||
UniProt ID |
|||
Function |
Acts as a negative regulator of the proliferation of normal cells by interacting strongly with CDK4 and CDK6. This inhibits their ability to interact with cyclins D and to phosphorylate the retinoblastoma protein.
|
||
Summary |
This gene generates several transcript variants whichdiffer in their first exons. At least three alternatively splicedvariants encoding distinct proteins have been reported, two ofwhich encode structurally related isoforms known to function asinhibitors of CDK4 kinase. The remaining transcript includes analternate first exon located 20 Kb upstream of the remainder of thegene; this transcript contains an alternate open reading frame(ARF) that specifies a protein which is structurally unrelated tothe products of the other variants. This ARF product functions as astabilizer of the tumor suppressor protein p53 as it can interactwith, and sequester, MDM1, a protein responsible for thedegradation of p53. In spite of the structural and functionaldifferences, the CDK inhibitor isoforms and the ARF product encodedby this gene, through the regulatory roles of CDK4 and p53 in cellcycle G1 progression, share a common functionality in cell cycle G1control. This gene is frequently mutated or deleted in a widevariety of tumors, and is known to be an important tumor suppressorgene.
|
||
Storage & Stability |
Store at +4°C short term. For long-term storage, aliquot and store at -20°C or below. Stable for 12 months at -20°C. Avoid repeated freeze-thaw cycles.
|
||
Applications |
WB, IHC-P, IF, FC, E
|
||
Dilution |
WB~~1:1000
IHC-P~~1:50~100
FC~~1:10~50
IF~~1:10~50
|
||
Images |
Western blot analysis of lysate from A2058 cell line, using p16INK4a Antibody (C-term E119) (APR03602G). APR03602G was diluted at 1:1000 at each lane. A goat anti-rabbit IgG H&L(HRP) at 1:5000 dilution was used as the secondary antibody. Lysate at 35ug.
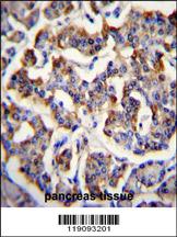
p16INK4a Antibody (C-term E119) (Cat. APR03602G)immunohistochemistry analysis in formalin fixed and paraffin embedded human pancreas tissue followed by peroxidase conjugation of the secondary antibody and DAB staining.This data demonstrates the use of p16INK4a Antibody (C-term E119) for immunohistochemistry. Clinical relevance has not been evaluated.
p16INK4a Antibody (C-term E119) (Cat. APR03602G) flow cytometric analysis of Hela cells (right histogram) compared to a negative control cell (left histogram).FITC-conjugated goat-anti-rabbit secondary antibodies were used for the analysis. |
||
Specification |
|||
Quantity |
|
||
| Select | Brand | Catalog No. | Product Name | Pack Size | Type | Field of Research | Specification | Quantity | Price(USD) | |
| 1 | Leading Biology | APR03440G | ITGA11 Antibody (N-term) | 100 μl | Polyclonal Antibodies |
|
$495.00 | Add Ask | ||
| 2 | Leading Biology | APR04537G | CMIP Antibody (C-term) | 100 μl | Polyclonal Antibodies |
|
$495.00 | Add Ask | ||
| 3 | Leading Biology | APR12422G | Human H4 Histamine Receptor (extracellular) Antibody | 50 μl | Polyclonal Antibodies |
|
$695.00 | Add Ask | ||
| 4 | Leading Biology | APR03844G | UBE2W Antibody (C-term) | 100 μl | Polyclonal Antibodies |
|
$495.00 | Add Ask | ||
| 5 | Leading Biology | APR04349G | HECTD2 Antibody (N-term) | 100 μl | Polyclonal Antibodies |
|
$495.00 | Add Ask | ||
| 6 | Leading Biology | APR03502G | IGHG1 Antibody (Center) | 100 μl | Polyclonal Antibodies |
|
$495.00 | Add Ask |
Leading Biology Inc.
2600 Hilltop DR, Building G, B Suite C138
Richmond, CA, 94806
Tel: 1-661-524(LBI)-0262
Email: info@leadingbiology.com
Complete this form and click send to ask us a question, request a quote or simply say hello.

You have 0 item in your cart

You have 0 item in your inquiry list