> Antigen, Antibodies, ELISA, Western Blot > Primary Antibody > Polyclonal Antibodies > MAGEB2 Antibody (N-term)Brand |
Leading Biology | Catalog Number |
APR05704G |
Product Type |
Polyclonal Antibodies | Field of Research |
|
Product Overview |
We constantly strive to ensure we provide our customers with the best antibodies. As a result of this work we offer this antibody in purified format.
We are in the process of updating our datasheets. If you have any questions regarding this update, please feel free to contact our technical support team.
This product is a high quality MAGEB2 Antibody (N-term).
|
||
Molecular Weight |
35277 Da
|
||
Host |
Rabbit
|
||
Species Reactivity |
Human
|
||
Immunogen |
4-33 aa
|
||
Target |
This MAGEB2 antibody is generated from rabbits immunized with a KLH conjugated synthetic peptide between 4-33 amino acids from the N-terminal region of human MAGEB2.
|
||
Isotype |
Rabbit Ig
|
||
GeneID |
|||
UniProt ID |
|||
Function |
May enhance ubiquitin ligase activity of RING-type zinc finger-containing E3 ubiquitin-protein ligases. Proposed to act through recruitment and/or stabilization of the Ubl-conjugating enzyme (E2) at the E3:substrate complex.
|
||
Summary |
MAGEB2 is a member of the MAGEB gene family. The members of this family have their entire coding sequences located in the last exon, and the encoded proteins show 50 to 68% sequence identity to each other. The promoters and first exons of the MAGEB genes show considerable variability, suggesting that the existence of this gene family enables the same function to be expressed under different transcriptional controls. This gene is localized in the DSS (dosage-sensitive sex reversal) critical region. It is expressed in testis and placenta, and in a significant fraction of tumors of various histological types. The MAGEB genes are clustered on chromosome Xp22-p21.
|
||
Storage & Stability |
Store at +4°C short term. For long-term storage, aliquot and store at -20°C or below. Stable for 12 months at -20°C. Avoid repeated freeze-thaw cycles.
|
||
Applications |
WB, IHC-P, E
|
||
Dilution |
WB~~1:1000
IHC-P~~1:50~100
|
||
Images |
Western blot analysis of MAGEB2(arrow) using rabbit polyclonal MAGEB2 Antibody (Cat.APR05704G). 293 cell lysates (2 ug/lane) either nontransfected (Lane 1) or transiently transfected with the MAGEB2 gene (Lane 2)(Origene Technologies).
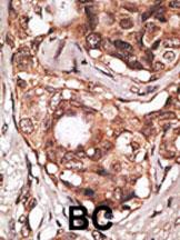
Formalin-fixed and paraffin-embedded human cancer tissue reacted with the primary antibody, which was peroxidase-conjugated to the secondary antibody, followed by DAB staining. This data demonstrates the use of this antibody for immunohistochemistry; clinical relevance has not been evaluated. BC = breast carcinoma; HC = hepatocarcinoma. |
||
Specification |
|||
Quantity |
|
||
| Select | Brand | Catalog No. | Product Name | Pack Size | Type | Field of Research | Specification | Quantity | Price(USD) | |
| 1 | Leading Biology | APR03440G | ITGA11 Antibody (N-term) | 100 μl | Polyclonal Antibodies |
|
$495.00 | Add Ask | ||
| 2 | Leading Biology | APR04537G | CMIP Antibody (C-term) | 100 μl | Polyclonal Antibodies |
|
$495.00 | Add Ask | ||
| 3 | Leading Biology | APR12422G | Human H4 Histamine Receptor (extracellular) Antibody | 50 μl | Polyclonal Antibodies |
|
$695.00 | Add Ask | ||
| 4 | Leading Biology | APR03844G | UBE2W Antibody (C-term) | 100 μl | Polyclonal Antibodies |
|
$495.00 | Add Ask | ||
| 5 | Leading Biology | APR04349G | HECTD2 Antibody (N-term) | 100 μl | Polyclonal Antibodies |
|
$495.00 | Add Ask | ||
| 6 | Leading Biology | APR03502G | IGHG1 Antibody (Center) | 100 μl | Polyclonal Antibodies |
|
$495.00 | Add Ask |
Leading Biology Inc.
2600 Hilltop DR, Building G, B Suite C138
Richmond, CA, 94806
Tel: 1-661-524(LBI)-0262
Email: info@leadingbiology.com
Complete this form and click send to ask us a question, request a quote or simply say hello.

You have 0 item in your cart

You have 0 item in your inquiry list