> Antigen, Antibodies, ELISA, Western Blot > Primary Antibody > Polyclonal Antibodies > MAGEA4 Antibody (N-term)Brand |
Leading Biology | Catalog Number |
APR05703G |
Product Type |
Polyclonal Antibodies | Field of Research |
|
Product Overview |
We constantly strive to ensure we provide our customers with the best antibodies. As a result of this work we offer this antibody in purified format.
We are in the process of updating our datasheets. If you have any questions regarding this update, please feel free to contact our technical support team.
This product is a high quality MAGEA4 Antibody (N-term).
|
||
Molecular Weight |
34899 Da
|
||
Host |
Rabbit
|
||
Species Reactivity |
Human
|
||
Immunogen |
9-38 aa
|
||
Target |
This MAGEA4 antibody is generated from rabbits immunized with a KLH conjugated synthetic peptide between 9-38 amino acids from the N-terminal region of human MAGEA4.
|
||
Isotype |
Rabbit Ig
|
||
Symbol |
MAGE4
|
||
GeneID |
|||
UniProt ID |
|||
Function |
Not known, though may play a role in embryonal development and tumor transformation or aspects of tumor progression.
|
||
Summary |
MAGEA4 is a member of the MAGEA gene family. The members of this family encode proteins with 50 to 80% sequence identity to each other. The promoters and first exons of the MAGEA genes show considerable variability, suggesting that the existence of this gene family enables the same function to be expressed under different transcriptional controls. The MAGEA genes are clustered at chromosomal location Xq28. They have been implicated in somehereditary disorders, such as dyskeratosis congenita.
|
||
Storage & Stability |
Store at +4°C short term. For long-term storage, aliquot and store at -20°C or below. Stable for 12 months at -20°C. Avoid repeated freeze-thaw cycles.
|
||
Applications |
WB, IHC-P, E
|
||
Dilution |
WB~~1:1000
IHC-P~~1:50~100
|
||
Images |
The anti-MAGE-A4 Pab (Cat. APR05703G) is used in Western blot to detect MAGE-A4 in A375 cell lysate.
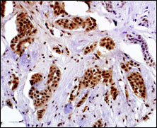
Immunostaining of paraformldehyde-fixed and paraffin-embedded human breast carcinoma with MAGE-A4 antibody APR05703G (1:50 dilution), followed by reacting with biotin-conjugated secondary antibody, ABC solution and developing with DAB. Cancerous cells show nuclear staining of MAGE-A4. Magnification: 40X. Data courtesy of Dr. Mi Hou, Karolinska?Institutet and University Hospital, Sweden.
Formalin-fixed and paraffin-embedded human breast carcinoma tissue reacted with MAGEA4 antibody (N-term) (Cat.APR05703G), which was peroxidase-conjugated to the secondary antibody, followed by DAB staining. This data demonstrates the use of this antibody for immunohistochemistry; clinical relevance has not been evaluated. |
||
Specification |
|||
Quantity |
|
||
| Select | Brand | Catalog No. | Product Name | Pack Size | Type | Field of Research | Specification | Quantity | Price(USD) | |
| 1 | Leading Biology | APR03440G | ITGA11 Antibody (N-term) | 100 μl | Polyclonal Antibodies |
|
$495.00 | Add Ask | ||
| 2 | Leading Biology | APR04537G | CMIP Antibody (C-term) | 100 μl | Polyclonal Antibodies |
|
$495.00 | Add Ask | ||
| 3 | Leading Biology | APR12422G | Human H4 Histamine Receptor (extracellular) Antibody | 50 μl | Polyclonal Antibodies |
|
$695.00 | Add Ask | ||
| 4 | Leading Biology | APR03844G | UBE2W Antibody (C-term) | 100 μl | Polyclonal Antibodies |
|
$495.00 | Add Ask | ||
| 5 | Leading Biology | APR04349G | HECTD2 Antibody (N-term) | 100 μl | Polyclonal Antibodies |
|
$495.00 | Add Ask | ||
| 6 | Leading Biology | APR03502G | IGHG1 Antibody (Center) | 100 μl | Polyclonal Antibodies |
|
$495.00 | Add Ask |
Leading Biology Inc.
2600 Hilltop DR, Building G, B Suite C138
Richmond, CA, 94806
Tel: 1-661-524(LBI)-0262
Email: info@leadingbiology.com
Complete this form and click send to ask us a question, request a quote or simply say hello.

You have 0 item in your cart

You have 0 item in your inquiry list